×
Close
Sign Up
Login
Home
SCI Abstract
Library D
Events & Partner
WeMed
MDLA Events Platform
Events
Media Partners
Educational Partner
User Tools
FAQ/USER GUIDE
Language
English
中文/ Chinese
French
Português
Español
Arabic
Russian
Contact Us
×
Close
mdla_1
mdla_2
mdla_3
mdla_4
mdla_5
mdla_6
Categories
Oncology
52506
Global Medical University
5141
Allergy
1792
Anatomy & Morphology
1584
Andrology
379
Anesthesia & Intensive Care
1300
Anesthesiology
5399
Audiology & Speech-Language Pathology
347
Behavioral Sciences
105
Biochemical Research Methods
7243
Biochemistry & Molecular Biology
30077
Biodiversity Conservation
330
Biology
8515
Biophysics
8292
Biotechnology & Applied Microbiology
8662
Cardiac & Cardiovascular Systems
31125
Cardiovascular & Respiratory Systems
1413
Cell & Tissue Engineering
704
Cell Biology
11182
Chemistry, Analytical
4301
Chemistry, Applied
10948
Chemistry, Medicinal
8755
Chemistry, Multidisciplinary
18521
Clinical Immunology & Infectious Disease
423
Clinical Medicine
8962
Clinical Neurology
16636
Clinical Psychology & Psychiatry
1294
Critical Care Medicine
3163
Dentistry, Oral Surgery & Medicine
13544
Dermatology
7485
Developmental Biology
6954
Ecology
633
Education, Scientific Disciplines
2050
Emergency Medicine
4117
Endocrinology, Metabolism & Nutrition
24622
Engineering, Biomedical
3729
Entomology
489
Environmental Medicine & Public Health
4669
Evolutionary Biology
276
Gastroenterology & Hepatology
12236
General & Internal Medicine
7013
Genetics & Heredity
15196
Geriatrics & Gerontology
5075
Gerontology
382
Health Care Sciences & Services
16165
Health Policy & Services
604
Hematology
5578
Immunology
24850
Infectious Diseases
14017
Integrative & Complementary Medicine
2943
Medical Ethics
1239
Medical Informatics
2232
Medical Laboratory Technology
419
Medicine, General & Internal
44379
Medicine, Legal
532
Medicine, Research & Experimental
17792
Microbiology
23387
Mycology
0
Nanoscience & Nanotechnology
5388
Neuroimaging
1365
Neurology
4562
Neurosciences
39861
Nursing
9787
Nutrition & Dietetics
7849
Obstetrics & Gynecology
8277
Ophthalmology
9749
Optics
4279
Orthopedics
11803
Orthopedics, Rehabilitation & Sports Medicine
1828
Otolaryngology
1583
Otorhinolaryngology
4894
Parasitology
1167
Pathology
5148
Pediatrics
21618
Peripheral Vascular Disease
4767
Pharmacology & Pharmacy
35500
Pharmacology/Toxicology
12212
Physiology
8922
Polymer Science
542
Primary Health Care
837
Psychiatry
19132
Psychology
5240
Psychology, Applied
111
Psychology, Biological
390
Psychology, Clinical
811
Psychology, Developmental
273
Psychology, Educational
164
Psychology, Experimental
171
Psychology, Mathematical
0
Psychology, Multidisciplinary
1694
Psychology, Psychoanalysis
30
Psychology, Social
131
Public Health & Health Care Science
2225
Public, Environmental & Occupational Health
27291
Quantum Science & Technology
0
Radiology, Nuclear Medicine & Imaging
12500
Radiology, Nuclear Medicine & Medical Imaging
8264
Rehabilitation
3074
Remote Sensing
0
Reproductive Biology
2872
Reproductive Medicine
1212
Research/Laboratory Medicine & Medical Technology
4029
Respiratory System
7421
Rheumatology
6029
Social Sciences, Biomedical
1178
Substance Abuse
2771
Surgery
33948
Toxicology
4445
Transplantation
938
Tropical Medicine
300
Urology & Nephrology
12890
Veterinary Sciences
35
Virology
2551
Zoology
0
Channels
INDIAN JOURNAL OF SURGICAL ONCOLOGY
552
Pathology Society Understanding disease
52
Asian Journal of Oncology
57
Medrxiv - Oncology
840
AMERICAN JOURNAL OF CLINICAL ONCOLOGY-CANCER CLINICAL TRIALS
217
BONE MARROW TRANSPLANTATION
778
BREAST CANCER RESEARCH
303
BREAST CANCER RESEARCH AND TREATMENT
736
BRITISH JOURNAL OF CANCER
1008
CA-A CANCER JOURNAL FOR CLINICIANS
24
CANCER
419
CANCER AND METASTASIS REVIEWS
221
CANCER CELL INTERNATIONAL
906
CANCER DISCOVERY
156
CANCER MEDICINE
456
CANCER PREVENTION RESEARCH
62
CANCER RESEARCH
277
CANCER RESEARCH AND TREATMENT
20
CANCER SCIENCE
237
CANCERS
4428
CLINICAL CANCER RESEARCH
292
CLINICAL EPIGENETICS
439
CURRENT ONCOLOGY REPORTS
425
CURRENT OPINION IN ONCOLOGY
227
CURRENT TREATMENT OPTIONS IN ONCOLOGY
325
EXPERIMENTAL CELL RESEARCH
799
HEMATOLOGICAL ONCOLOGY
152
INTERNATIONAL JOURNAL OF CANCER
292
JOURNAL FOR IMMUNOTHERAPY OF CANCER
1358
JOURNAL OF CANCER
20
JOURNAL OF CANCER RESEARCH AND CLINICAL ONCOLOGY
978
JOURNAL OF CLINICAL ONCOLOGY
966
JOURNAL OF EXPERIMENTAL & CLINICAL CANCER RESEARCH
777
JOURNAL OF HEMATOLOGY & ONCOLOGY
384
JOURNAL OF NEURO-ONCOLOGY
734
JOURNAL OF PATHOLOGY
39
JOURNAL OF SURGICAL ONCOLOGY
240
LEUKEMIA
757
LIVER CANCER
135
MEDICAL ONCOLOGY
400
MOLECULAR CANCER
472
MOLECULAR CANCER THERAPEUTICS
157
MOLECULAR ONCOLOGY
196
NATURE REVIEWS CANCER
313
NATURE REVIEWS CLINICAL ONCOLOGY
340
NEOPLASIA
294
ONCOGENE
982
ONCOGENESIS
188
ONCOLOGIST
204
ONCOLOGY-NEW YORK
72
ONCOTARGETS AND THERAPY
611
PSYCHO-ONCOLOGY
158
SURGICAL ONCOLOGY-OXFORD
349
THERAPEUTIC ADVANCES IN MEDICAL ONCOLOGY
86
ASIA-PACIFIC JOURNAL OF CLINICAL ONCOLOGY
143
BMC CANCER
1878
CANCER EPIDEMIOLOGY
462
CANCER GENETICS
31
CANCER MANAGEMENT AND RESEARCH
1012
CURRENT ONCOLOGY
803
FRONTIERS IN ONCOLOGY
10028
FUTURE ONCOLOGY
111
GENES CHROMOSOMES & CANCER
50
HEREDITARY CANCER IN CLINICAL PRACTICE
98
INFECTIOUS AGENTS AND CANCER
183
INTEGRATIVE CANCER THERAPIES
69
INTERNATIONAL JOURNAL OF GYNECOLOGICAL CANCER
649
JOURNAL OF BUON
25
JOURNAL OF CANCER RESEARCH AND THERAPEUTICS
294
JOURNAL OF HEPATOCELLULAR CARCINOMA
424
ONCOLOGY
91
ONCOLOGY RESEARCH AND TREATMENT
163
PEDIATRIC BLOOD & CANCER
403
SEMINARS IN ONCOLOGY NURSING
319
TECHNOLOGY IN CANCER RESEARCH & TREATMENT
204
THORACIC CANCER
271
TUMORI J
67
INDIAN JOURNAL OF CANCER
122
JOURNAL OF ONCOLOGY PRACTICE
434
PHOTODIAGNOSIS AND PHOTODYNAMIC THERAPY
965
RADIATION ONCOLOGY
521
WORLD CANCER RESEARCH JOURNAL
137
SOUTH ASIAN JOURNAL OF CANCER
314
BREAST CANCER-BASIC AND CLINICAL RESEARCH
19
CANCER REPORTS
164
CASE REPORTS IN ONCOLOGY
348
CLINICAL CANCER INVESTIGATION JOURNAL
10
CURRENT BREAST CANCER REPORTS
120
CURRENT CANCER THERAPY REVIEWS
16
CURRENT COLORECTAL CANCER REPORTS
28
INTERNATIONAL CANCER CONFERENCE JOURNAL
212
INTERNATIONAL JOURNAL OF SURGERY-ONCOLOGY
18
JMIR CANCER
218
JOURNAL OF GASTROINTESTINAL CANCER
408
JOURNAL OF KIDNEY CANCER AND VHL
94
JOURNAL OF THE EGYPTIAN NATIONAL CANCER INSTITUTE
138
RARE TUMORS
23
REHABILITATION ONCOLOGY
107
MEMO-MAGAZINE OF EUROPEAN MEDICAL ONCOLOGY
241
MIDDLE EAST JOURNAL OF CANCER
200
NATURE CANCER
438
ONCOLOGY AND THERAPY
156
ONCOLOGY REVIEWS
36
ONKOLOGIJA
39
HORMONES & CANCER / DISCOVER ONCOLOGY
235
FAMILIAL CANCER
180
INTERNATIONAL JOURNAL OF CLINICAL ONCOLOGY
539
JOURNAL OF MAMMARY GLAND BIOLOGY AND NEOPLASIA
99
MEDICAL ONCOLOGY
379
PATHOLOGY & ONCOLOGY RESEARCH
21
PSYCHO-ONCOLOGIE
20
STRAHLENTHERAPIE UND ONKOLOGIE
410
SUPPORTIVE CARE IN CANCER
1162
TARGETED ONCOLOGY
248
SCI Abstract
search
ALL
RECOMMENDED
+
Lighting the Way: Green Fluorescence for Safer Airways
The author learned the technique of ICG aerosol for nebulization under the guidance of Dr. T. Subramanyeswar Rao-Indo-Amer...
Indian Journal Of Surgical Oncology
comment
0
thumb_up
0
The INDEPSO-ISPSM Consensus on Peritoneal Malignancies: General Principles of Cytoreductive Surgery and Technical Considerations
In this section of the INDEPSO-ISPSM consensus, we aimed to address some general principles and technical aspects of cytor...
Indian Journal Of Surgical Oncology
comment
0
thumb_up
0
Utility of Bayesian Network Model for Prediction of Binary Outcome: An Exploratory Study of Mortality Prediction Amongst Squamous Cell Carcinomas of Oral Cavity
Bayesian network (BN) models are graphical structures called the directed acyclic graphs, which model the probabilistic de...
Indian Journal Of Surgical Oncology
comment
0
thumb_up
0
Targeted Axillary Dissection for Clinically Node-Positive Breast Cancer Cases that Turn Negative After Neoadjuvant Systemic Therapy Using Charcoal Tattooing
Staging of positive axilla that showed negativity after neo-adjuvant chemotherapy is a subject of controversy. In this sit...
Indian Journal Of Surgical Oncology
comment
0
thumb_up
0
Development of Margin Compromise Ordinal Score (MCOS) Based on Analysis of Various Factors Associated with Margin Compromise in Patients of Carcinoma Rectum Undergoing Restorative Surgery
It’s preferred by patients as well as surgeons to avoid permanent stoma in a patient of Carcinoma Rectum. But this s...
Indian Journal Of Surgical Oncology
comment
0
thumb_up
0
Expanded Endoscopic Endonasal Approach in the Management of Anterior Skull Base Malignancies: Experience from a Quaternary Care Center in India
Malignancies involving the anterior skull base have been managed with open craniofacial resections for many decades and th...
Indian Journal Of Surgical Oncology
comment
0
thumb_up
0
Prognostic and Clinical Significance of the Positive Lymph Node Ratio in Patients Undergoing Radical Resection for Gastric Cancer
Mortality in patients with gastric cancer (GC) remains high. Therefore, accurate postoperative staging is particularly imp...
Indian Journal Of Surgical Oncology
comment
0
thumb_up
0
Adenoid Cystic Carcinoma of Breast—A Narrative Review
Adenoid cystic carcinoma, predominantly a tumour of salivary gland, very rarely affects the breast. Very few cases have be...
Indian Journal Of Surgical Oncology
comment
0
thumb_up
0
Neoplasm within Neoplasm—A Rare Case of Breast Carcinoma with Isolated Metastasis to a Uterine Leiomyoma
The most common sites of metastasis from breast cancer are the bone, lungs, and liver. Metastasis to uterine leiomyomas fr...
Indian Journal Of Surgical Oncology
comment
0
thumb_up
0
Expression of Claspin in Squamous Cell Carcinoma of Cervix and Its Association with p16 Expression and Clinicopathologic Parameters
Cervical cancer is a preventable gynecological malignancy, yet it remains a significant health burden in developing countr...
Indian Journal Of Surgical Oncology
comment
0
thumb_up
0
Evaluation of the Concordance of Cancer Diagnostic Probe Findings During Surgery and Suspected Distortion in Pre-surgical Mammography Based on Pathology
Cancer diagnostic probe stations (CDP) are expensive, and they are better used in patients with suspicious findings in ini...
Indian Journal Of Surgical Oncology
comment
0
thumb_up
0
Landscape and Immuno-Molecular Phenotyping of 301 Eastern Indian Breast Carcinoma Cases– A Comparative Assessment of TNBC Incidence
In the 2022–2024 Globocan data, India alone contributed 15.5% (1.4 million) of the staggering 23.8% of breast carcin...
Indian Journal Of Surgical Oncology
comment
0
thumb_up
0
Selective De-escalation of Axillary Surgery Post Neoadjuvant Chemotherapy in Breast Cancer—Are We Ready?
Newer systemic treatments are driving us towards axillary conservation to reduce morbidity and enhance quality of life wit...
Indian Journal Of Surgical Oncology
comment
0
thumb_up
0
Multivisceral and Vascular Resection for a Locally Advanced Adult Retroperitoneal Rhabdomyosarcoma: Navigating a Clinical Challenge
Rhabdomyosarcomas (RMS) form a major subset of pediatric sarcomas with an incidence of 4.5/million cases/year. Adult RMS i...
Indian Journal Of Surgical Oncology
comment
0
thumb_up
0
Outcome of Level III Axillary Node Dissection in Breast Cancer: 20 years Single Unit Experience in a Comprehensive Cancer Centre in Eastern India
Axillary dissection and radiation to the axilla are known to cause significant morbidity especially in the form of lymphoe...
Indian Journal Of Surgical Oncology
comment
0
thumb_up
0
Prognostic Role of Androgen Receptor in Triple-Negative Breast Cancer: A North Indian Tertiary Care Study
Triple-negative breast cancer (TNBC) is molecularly diverse and lacks known treatment targets. The possible prognostic and...
Indian Journal Of Surgical Oncology
comment
0
thumb_up
0
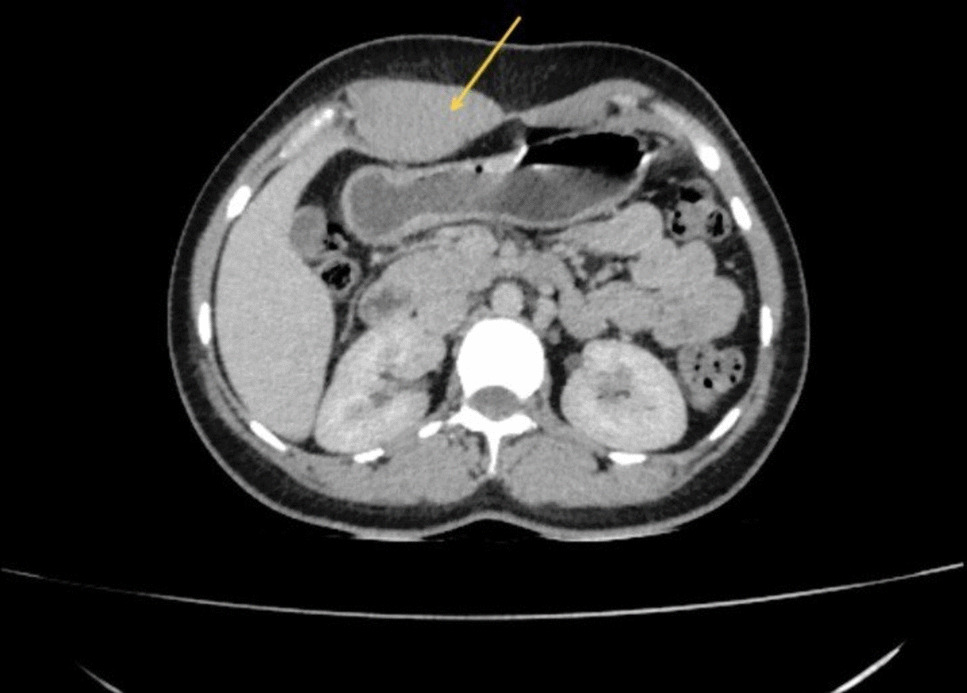
Locally Advanced Gallbladder Cancer (GBC) Presenting as Cholecysto-colo-cutaneous Fistula: A Rare Occurrence
Gallbladder cancer has a high incidence in the Gangetic belt of India. Locally advanced gallbladder cancer presents with v...
Indian Journal Of Surgical Oncology
comment
0
thumb_up
0
Marginal Mandibulectomy in Oral Cavity Cancers — Classification and Indications
Squamous cell carcinoma of the lip and oral cavity (OSCC) is a significant global health issue, particularly in low-income...
Indian Journal Of Surgical Oncology
comment
0
thumb_up
0
The Impact of Baseline Endogenous Testosterone Levels on Risk Stratification in Pathological Organ-Confined Prostate Cancer: Results in 460 Patients Treated with Robot-Assisted Radical Prostatectomy
The objective is to test the role of baseline endogenous testosterone (ET) in discriminating adverse tumor grades and pred...
Indian Journal Of Surgical Oncology
comment
0
thumb_up
0
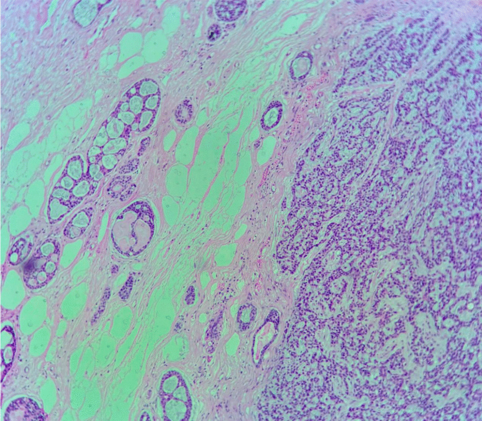
Aggressive Fibromatosis in the Abdominal Wall: A Rare Case of Intramuscular Desmoid Tumor
Desmoid tumors are uncommon soft tissue neoplasms that do not metastasize but are locally aggressive, often causing recurr...
Indian Journal Of Surgical Oncology
comment
0
thumb_up
0
A Rare Case of Axillary Fibroadenoma in Accessory Breast Masquerading Malignancy
Fibroadenoma presenting in the axilla is a rare occurrence often associated with ectopic breast tissue. Accessory breast(s...
Indian Journal Of Surgical Oncology
comment
0
thumb_up
0
Pediatric Atypical Teratoid Rhabdoid Tumor of Central Nervous System: A Case Series with Review of Literature
Atypical teratoid rhabdoid tumor (AT/RT) of the central nervous system (CNS) is the rare, aggressive malignant neoplasm of...
Indian Journal Of Surgical Oncology
comment
0
thumb_up
0
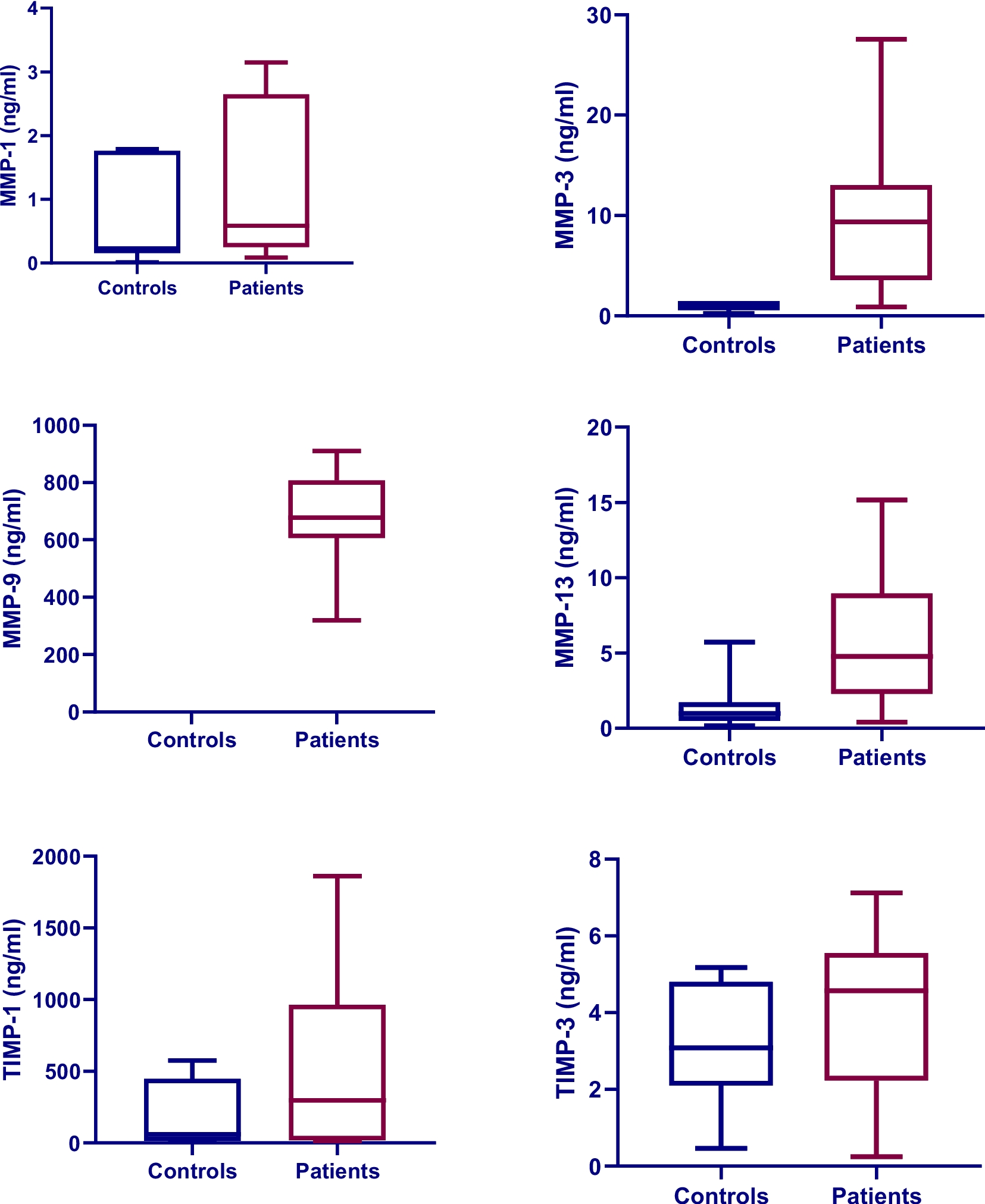
Diagnostic and Prognostic Accuracy of MMPs and TIMPs in Oral Cancer Patients on Enzyme-Linked Immunosorbent Assay (ELISA) as Compared to Immunohistochemistry (IHC)
Oral cancer is one of most common noncommunicable diseases that imposed significant burden on healthcare around the globe ...
Indian Journal Of Surgical Oncology
comment
0
thumb_up
0
Surgical Outcomes and Survival in Pancreatic and Periampullary Cancers: A Single Centre Experience
Pancreatic cancer is an aggressive malignancy with many cases diagnosed at locally advanced stages makin...
Indian Journal Of Surgical Oncology
comment
0
thumb_up
0
Papillary Carcinoma of Thyroglossal Duct Cyst—A Case Series
Carcinoma arising from the thyroglossal duct cysts is a rare entity which results from metaplastic changes in the persiste...
Indian Journal Of Surgical Oncology
comment
0
thumb_up
0
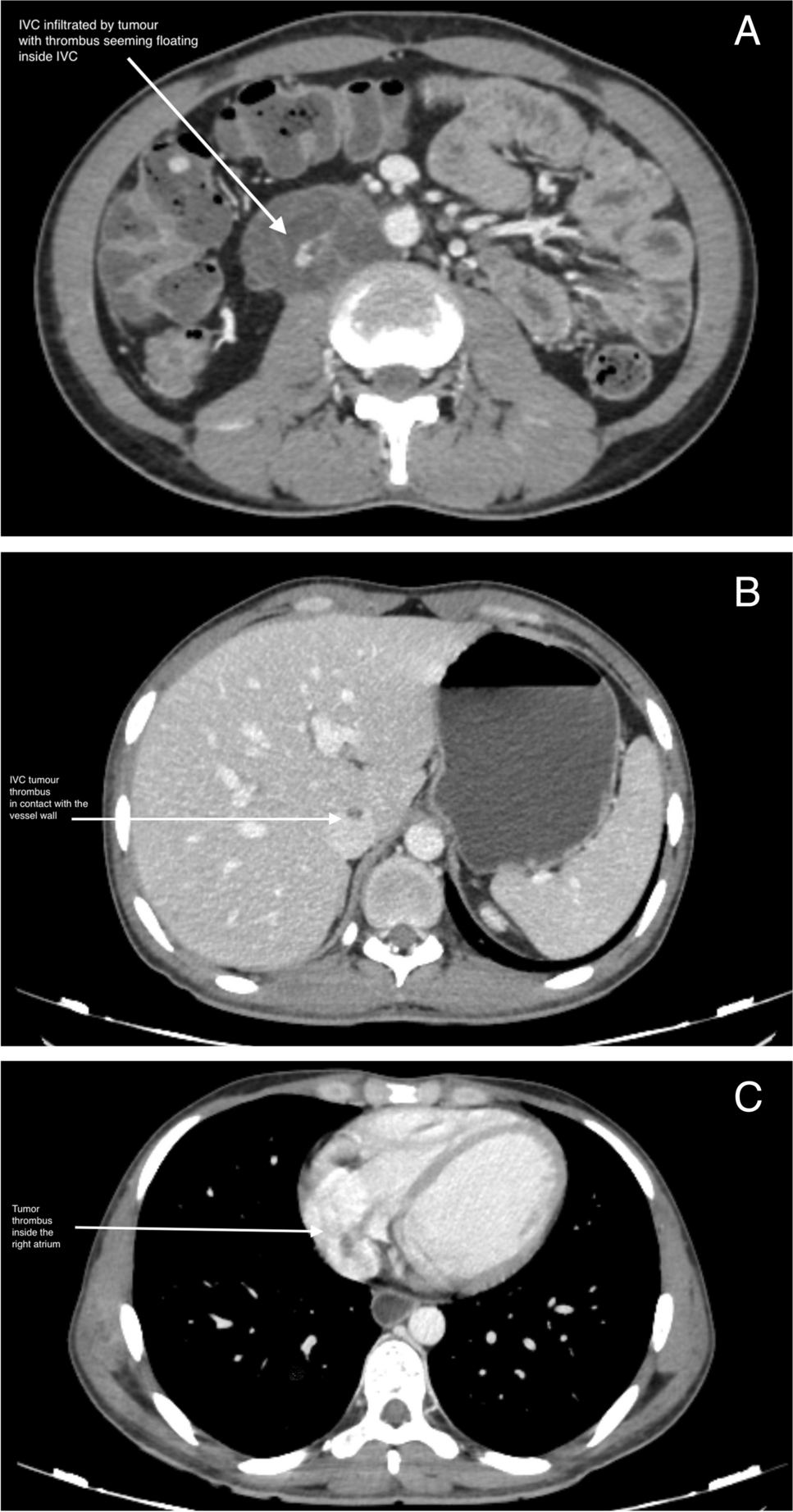
Between the Devil and the Deep Sea—The Cardiac Conundrum: Report of a Contiguous Cavo-Atrial Tumor Thrombus in NSGCT Testis
Testicular cancer is notorious for its myriad presentations. In this case report, we present a 28-year-old gentleman diagn...
Indian Journal Of Surgical Oncology
comment
0
thumb_up
0
Surgically Treated Clear Cell Sarcomas — What Influences Outcomes?
Clear cell sarcoma (CCS) also called as melanoma of soft parts is a rare malignant soft-tissue tumor with melanocytic diff...
Indian Journal Of Surgical Oncology
comment
0
thumb_up
0
The INDEPSO-ISPSM Consensus on Peritoneal Malignancies—Methodology
The numerous international guidelines on cytoreductive surgery (CRS) and hyperthermic intraperitoneal chemotherapy (HIPEC)...
Indian Journal Of Surgical Oncology
comment
0
thumb_up
0
Spectrum of Thoracic Diseases (Benign and Malignant) in North Western India: A Study of 2527 Cases
Thoracic cancers especially lung cancer form a huge burden of morbidity and mortality around the world. The first question...
Indian Journal Of Surgical Oncology
comment
0
thumb_up
0
Mucinous Cystic Neoplasm of Gall Bladder Lacking the Usual Ovarian-Like Mesenchymal Stroma
Bosman FT, Cameiro F, Hruban RH, Theise ND (2010) World Health Organization classification of tumors of the digestive syst...
Indian Journal Of Surgical Oncology
comment
0
thumb_up
0
Load More
Modal title
×
Modal title
×
Share
Login
Global News and Health Forum
Join Now!
Member Login
Remember me
Forgot password?
Or using
Linkedin