×
Close
Sign Up
Login
Home
SCI Abstract
Library D
Events & Partner
WeMed
MDLA Events Platform
Events
Media Partners
Educational Partner
User Tools
FAQ/USER GUIDE
Language
English
中文/ Chinese
French
Português
Español
Arabic
Russian
Contact Us
×
Close
mdla_1
mdla_2
mdla_3
mdla_4
mdla_5
mdla_6
Categories
Anesthesia & Intensive Care
1300
Global Medical University
5141
Allergy
1792
Anatomy & Morphology
1584
Andrology
379
Anesthesiology
5399
Audiology & Speech-Language Pathology
347
Behavioral Sciences
105
Biochemical Research Methods
7243
Biochemistry & Molecular Biology
30077
Biodiversity Conservation
330
Biology
8515
Biophysics
8292
Biotechnology & Applied Microbiology
8662
Cardiac & Cardiovascular Systems
31125
Cardiovascular & Respiratory Systems
1413
Cell & Tissue Engineering
704
Cell Biology
11182
Chemistry, Analytical
4301
Chemistry, Applied
10948
Chemistry, Medicinal
8755
Chemistry, Multidisciplinary
18521
Clinical Immunology & Infectious Disease
423
Clinical Medicine
8962
Clinical Neurology
16636
Clinical Psychology & Psychiatry
1294
Critical Care Medicine
3163
Dentistry, Oral Surgery & Medicine
13544
Dermatology
7485
Developmental Biology
6954
Ecology
633
Education, Scientific Disciplines
2050
Emergency Medicine
4117
Endocrinology, Metabolism & Nutrition
24622
Engineering, Biomedical
3729
Entomology
489
Environmental Medicine & Public Health
4669
Evolutionary Biology
276
Gastroenterology & Hepatology
12236
General & Internal Medicine
7013
Genetics & Heredity
15196
Geriatrics & Gerontology
5075
Gerontology
382
Health Care Sciences & Services
16165
Health Policy & Services
604
Hematology
5578
Immunology
24850
Infectious Diseases
14017
Integrative & Complementary Medicine
2943
Medical Ethics
1239
Medical Informatics
2232
Medical Laboratory Technology
419
Medicine, General & Internal
44379
Medicine, Legal
532
Medicine, Research & Experimental
17792
Microbiology
23387
Mycology
0
Nanoscience & Nanotechnology
5388
Neuroimaging
1365
Neurology
4562
Neurosciences
39861
Nursing
9787
Nutrition & Dietetics
7849
Obstetrics & Gynecology
8277
Oncology
52506
Ophthalmology
9749
Optics
4279
Orthopedics
11803
Orthopedics, Rehabilitation & Sports Medicine
1828
Otolaryngology
1583
Otorhinolaryngology
4894
Parasitology
1167
Pathology
5148
Pediatrics
21618
Peripheral Vascular Disease
4767
Pharmacology & Pharmacy
35500
Pharmacology/Toxicology
12212
Physiology
8922
Polymer Science
542
Primary Health Care
837
Psychiatry
19132
Psychology
5240
Psychology, Applied
111
Psychology, Biological
390
Psychology, Clinical
811
Psychology, Developmental
273
Psychology, Educational
164
Psychology, Experimental
171
Psychology, Mathematical
0
Psychology, Multidisciplinary
1694
Psychology, Psychoanalysis
30
Psychology, Social
131
Public Health & Health Care Science
2225
Public, Environmental & Occupational Health
27291
Quantum Science & Technology
0
Radiology, Nuclear Medicine & Imaging
12500
Radiology, Nuclear Medicine & Medical Imaging
8264
Rehabilitation
3074
Remote Sensing
0
Reproductive Biology
2872
Reproductive Medicine
1212
Research/Laboratory Medicine & Medical Technology
4029
Respiratory System
7421
Rheumatology
6029
Social Sciences, Biomedical
1178
Substance Abuse
2771
Surgery
33948
Toxicology
4445
Transplantation
938
Tropical Medicine
300
Urology & Nephrology
12890
Veterinary Sciences
35
Virology
2551
Zoology
0
Channels
CANADIAN JOURNAL OF ANESTHESIA-JOURNAL CANADIEN D ANESTHESIE
647
ACADEMIC EMERGENCY MEDICINE
182
ANAESTHESIA AND INTENSIVE CARE
25
ANASTHESIOLOGIE & INTENSIVMEDIZIN
86
JOURNAL OF INTENSIVE CARE
161
WESTERN JOURNAL OF EMERGENCY MEDICINE
199
SCI Abstract
search
ALL
RECOMMENDED
+
Canadians’ perceptions about heart donation after death by circulatory criteria: a mixed methods study
Cardiac donation after death determination by circulatory criteria (DCC) can be performed using either direct procurement ...
Canadian Journal Of Anesthesia-journal Canadien D Anesthesie
comment
0
thumb_up
0
Public perception and attitudes towards health care, anesthesia, and climate change: a survey study
Hospitals and especially operating rooms are known to have a significant carbon footprint. With health care moving towards...
Canadian Journal Of Anesthesia-journal Canadien D Anesthesie
comment
0
thumb_up
0
Richard Chisholm, MD, FRCPC
Surrounded by his loving family, Dr. Richard “Rick” Chisholm died peacefully on 15 Ju...
Canadian Journal Of Anesthesia-journal Canadien D Anesthesie
comment
0
thumb_up
0
Association between postpartum depression and chronic postsurgical pain after Cesarean delivery: a secondary analysis of a randomized trial
Psychological factors, such as anxiety, depression, and catastrophizing, may increase the risk of chronic postsurgical pai...
Canadian Journal Of Anesthesia-journal Canadien D Anesthesie
comment
0
thumb_up
0
Postdural puncture headache in obstetrics
In this Continuing Professional Development module, we review the literature on postdural puncture headache (PDPH) in obst...
Canadian Journal Of Anesthesia-journal Canadien D Anesthesie
comment
0
thumb_up
0
An encounter of unusual pressure dynamics during thoracic epidural placement: a “breathing” syringe
Acknowledgements The authors acknowledge the contribution of Deepinder Kumar, BSc, medical st...
Canadian Journal Of Anesthesia-journal Canadien D Anesthesie
comment
0
thumb_up
0
Blood transfusion and acute kidney injury after cardiac surgery: a retrospective observational study
Cardiac surgery-associated acute kidney injury (AKI) is linked to poor outcomes. An observational study from Copenhagen, D...
Canadian Journal Of Anesthesia-journal Canadien D Anesthesie
comment
0
thumb_up
0
Prospective preference assessment for the Ecstasy for Alleviating Severe Chronic Neuropathic Pain (EASE-Pain) trial
Emerging evidence suggests that 3,4-methylenedioxymethamphetamine (MDMA)-assisted psychotherapy may be a promising interve...
Canadian Journal Of Anesthesia-journal Canadien D Anesthesie
comment
0
thumb_up
0
The requirement of neuromuscular monitoring—is any site good enough?
For more than a decade, the Canadian Anesthesiologists’ Society (CAS) Guidelines to t...
Canadian Journal Of Anesthesia-journal Canadien D Anesthesie
comment
0
thumb_up
0
Navigating the gift of life: demystifying the organ donation and transplantation pathway in Canada
The organ donation and transplantation pathway demands precise coordination among multiple stakeholders who navigate compl...
Canadian Journal Of Anesthesia-journal Canadien D Anesthesie
comment
0
thumb_up
0
Comparison of adductor pollicis and flexor hallucis brevis muscle electromyographic responses: a prospective cohort study
The use of a quantitative neuromuscular monitor is strongly recommended by many anesthesiology societies. While most monit...
Canadian Journal Of Anesthesia-journal Canadien D Anesthesie
comment
0
thumb_up
0
Effects of sevoflurane, propofol, remifentanil, and fentanyl on the endothelial proinflammatory response: an exploratory study
The vascular endothelium is known to modulate the inflammatory response during surgery. Sevoflurane has been shown to prot...
Canadian Journal Of Anesthesia-journal Canadien D Anesthesie
comment
0
thumb_up
0
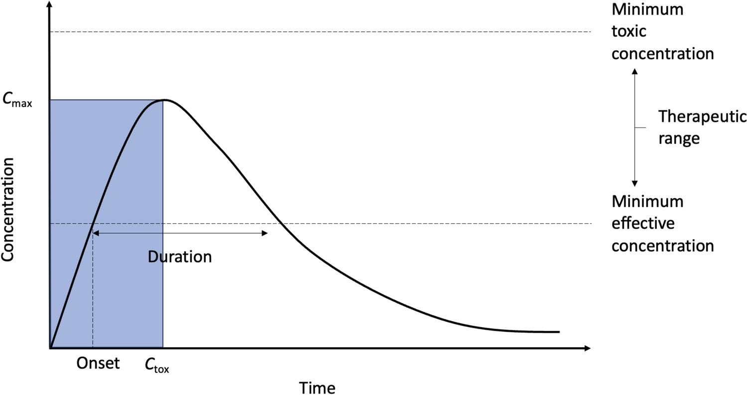
Local anesthetic dosing for fascial plane blocks to avoid systemic toxicity: a narrative review
Owing in part to the development and popularization of fascial plane blocks (FPBs), high-volume injection of local anesthe...
Canadian Journal Of Anesthesia-journal Canadien D Anesthesie
comment
0
thumb_up
0
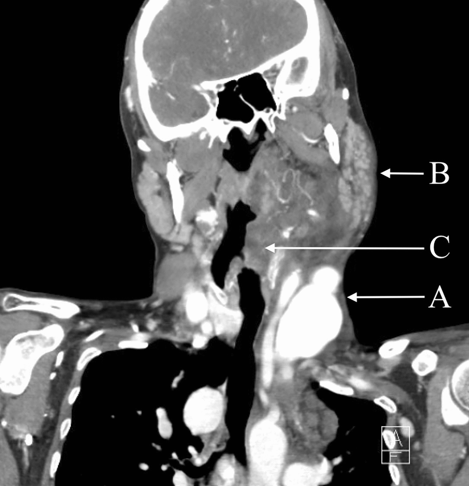
Anticipated difficult airway management and multidisciplinary approach to a patient with a high-risk pregnancy
Acknowledgements The authors thank the patient for consenting to the publication of their cas...
Canadian Journal Of Anesthesia-journal Canadien D Anesthesie
comment
0
thumb_up
0
David Richard Bevan, MA, MB, BChir (Cantab) with Distinction, MRCP (London), FRCA, RCPSC, FRCPC
The Canadian anesthesiology community recently lost one of its most ardent advocates....
Canadian Journal Of Anesthesia-journal Canadien D Anesthesie
comment
0
thumb_up
0
The anesthetic and recovery profiles of low-dose hypobaric mepivacaine and bupivacaine for spinal anesthesia in total hip and knee arthroplasty: a prospective observational study
Same-day mobilization and early hospital discharge is increasingly emphasized following hip and knee arthroplasty. One cha...
Canadian Journal Of Anesthesia-journal Canadien D Anesthesie
comment
0
thumb_up
0
Intraoperative diaphragmatic stimulation by a cardiac resynchronization therapy defibrillator presenting as hiccups
Disclosures None. Funding statement None. ...
Canadian Journal Of Anesthesia-journal Canadien D Anesthesie
comment
0
thumb_up
0
Hydroxocobalamin treatment for refractory hypotension and shock: a case series
Disclosures All authors report no relevant conflicts of interest. ...
Canadian Journal Of Anesthesia-journal Canadien D Anesthesie
comment
0
thumb_up
0
Ambulatory pediatric adenotonsillectomy
This Continuing Professional Development module aims to help the general anesthesiologist recognize common pitfalls in amb...
Canadian Journal Of Anesthesia-journal Canadien D Anesthesie
comment
0
thumb_up
0
Assessment of residual gastric volume by ultrasound prior to upper endoscopy: a prospective cohort study
Pulmonary aspiration is an adverse event with high morbidity and mortality. Despite fasting for > 8&...
Canadian Journal Of Anesthesia-journal Canadien D Anesthesie
comment
0
thumb_up
0
The burden of COVID-19 care in community and academic intensive care units in Ontario, Canada: a retrospective cohort study
During the COVID-19 pandemic, neighbourhoods with high material deprivation and high proportions of racialized Canadians w...
Canadian Journal Of Anesthesia-journal Canadien D Anesthesie
comment
0
thumb_up
0
The gender gap in academic anesthesiology and critical care medicine: a systematic review
Gender disparities in academia are a growing concern, impacting various disciplines, including health care. We aimed to in...
Canadian Journal Of Anesthesia-journal Canadien D Anesthesie
comment
0
thumb_up
0
An analysis of women’s authorship in five leading anesthesiology journals
Over the last decade, there has been an increasing interest in gender equity. The present study explored the gender gap in...
Canadian Journal Of Anesthesia-journal Canadien D Anesthesie
comment
0
thumb_up
0
Comparison of remimazolam and sevoflurane for general anesthesia during transcatheter aortic valve implantation: a randomized trial
Safe perioperative management of patients undergoing transcatheter aortic valve implantation (TAVI) is crucial. Remimazola...
Canadian Journal Of Anesthesia-journal Canadien D Anesthesie
comment
0
thumb_up
0
Oxytocin versus carbetocin at elective Cesarean delivery in parturients with class III obesity: a double-blind randomized controlled noninferiority trial
Class III obesity (body mass index [BMI] ≥ 40 kg·m−2) is associated with high rates ...
Canadian Journal Of Anesthesia-journal Canadien D Anesthesie
comment
0
thumb_up
0
A novel supraglottic airway device breathing monitor for use during patient transfer from the operating room to the postanesthesia care unit
Disclosures None. Funding statement None. ...
Canadian Journal Of Anesthesia-journal Canadien D Anesthesie
comment
0
thumb_up
0
Pericapsular nerve group cryoneurolysis as an option for palliative nonoperative management of hip fracture in a patient with end-stage medical comorbidities
We report the use of a pericapsular nerve group (PENG) cryoneurolysis for longer-term analgesia in a patient with a hip fr...
Canadian Journal Of Anesthesia-journal Canadien D Anesthesie
comment
0
thumb_up
0
Anesthetic management of a patient with VACTERL association after failed spinal block for Cesarean delivery
Acknowledgements We extend our thanks to the IWK women’s and obstetrics anesthesia group, obs...
Canadian Journal Of Anesthesia-journal Canadien D Anesthesie
comment
0
thumb_up
0
Comparison of postoperative oxygenation in children receiving sugammadex versus neostigmine for reversal of neuromuscular blockade: a retrospective cohort study
Residual neuromuscular blockade can impair postoperative respiratory mechanics, promoting hypoxemia and pulmonary complica...
Canadian Journal Of Anesthesia-journal Canadien D Anesthesie
comment
0
thumb_up
0
Maintenance infusion rate of oxytocin after initial 1-IU bolus for elective Cesarean delivery: a dose-finding study
The purpose of our study was to determine the minimum effective dose of oxytocin maintenance infusion required to maintain...
Canadian Journal Of Anesthesia-journal Canadien D Anesthesie
comment
0
thumb_up
0
Load More
Modal title
×
Modal title
×
Share
Login
Global News and Health Forum
Join Now!
Member Login
Remember me
Forgot password?
Or using
Linkedin