×
Close
Sign Up
Login
Home
SCI Abstract
Library D
Events & Partner
WeMed
MDLA Events Platform
Events
Media Partners
Educational Partner
User Tools
FAQ/USER GUIDE
Language
English
中文/ Chinese
French
Português
Español
Arabic
Russian
Contact Us
×
Close
mdla_1
mdla_2
mdla_3
mdla_4
mdla_5
mdla_6
Categories
Surgery
33928
Global Medical University
5141
Allergy
1792
Anatomy & Morphology
1584
Andrology
379
Anesthesia & Intensive Care
1300
Anesthesiology
5399
Audiology & Speech-Language Pathology
347
Behavioral Sciences
105
Biochemical Research Methods
7243
Biochemistry & Molecular Biology
30077
Biodiversity Conservation
330
Biology
8515
Biophysics
8292
Biotechnology & Applied Microbiology
8662
Cardiac & Cardiovascular Systems
31125
Cardiovascular & Respiratory Systems
1413
Cell & Tissue Engineering
704
Cell Biology
11182
Chemistry, Analytical
4301
Chemistry, Applied
10948
Chemistry, Medicinal
8755
Chemistry, Multidisciplinary
18521
Clinical Immunology & Infectious Disease
423
Clinical Medicine
8962
Clinical Neurology
16636
Clinical Psychology & Psychiatry
1294
Critical Care Medicine
3163
Dentistry, Oral Surgery & Medicine
13544
Dermatology
7485
Developmental Biology
6954
Ecology
633
Education, Scientific Disciplines
2050
Emergency Medicine
4117
Endocrinology, Metabolism & Nutrition
24622
Engineering, Biomedical
3729
Entomology
489
Environmental Medicine & Public Health
4669
Evolutionary Biology
276
Gastroenterology & Hepatology
12236
General & Internal Medicine
7013
Genetics & Heredity
15196
Geriatrics & Gerontology
5075
Gerontology
382
Health Care Sciences & Services
16165
Health Policy & Services
604
Hematology
5578
Immunology
24850
Infectious Diseases
14017
Integrative & Complementary Medicine
2943
Medical Ethics
1239
Medical Informatics
2232
Medical Laboratory Technology
419
Medicine, General & Internal
44379
Medicine, Legal
532
Medicine, Research & Experimental
17792
Microbiology
23387
Mycology
0
Nanoscience & Nanotechnology
5388
Neuroimaging
1365
Neurology
4562
Neurosciences
39861
Nursing
9787
Nutrition & Dietetics
7849
Obstetrics & Gynecology
8277
Oncology
52486
Ophthalmology
9749
Optics
4279
Orthopedics
11803
Orthopedics, Rehabilitation & Sports Medicine
1828
Otolaryngology
1583
Otorhinolaryngology
4894
Parasitology
1167
Pathology
5148
Pediatrics
21618
Peripheral Vascular Disease
4767
Pharmacology & Pharmacy
35500
Pharmacology/Toxicology
12212
Physiology
8922
Polymer Science
542
Primary Health Care
837
Psychiatry
19132
Psychology
5240
Psychology, Applied
111
Psychology, Biological
390
Psychology, Clinical
811
Psychology, Developmental
273
Psychology, Educational
164
Psychology, Experimental
171
Psychology, Mathematical
0
Psychology, Multidisciplinary
1694
Psychology, Psychoanalysis
30
Psychology, Social
131
Public Health & Health Care Science
2225
Public, Environmental & Occupational Health
27291
Quantum Science & Technology
0
Radiology, Nuclear Medicine & Imaging
12500
Radiology, Nuclear Medicine & Medical Imaging
8264
Rehabilitation
3074
Remote Sensing
0
Reproductive Biology
2872
Reproductive Medicine
1212
Research/Laboratory Medicine & Medical Technology
4029
Respiratory System
7421
Rheumatology
6029
Social Sciences, Biomedical
1178
Substance Abuse
2771
Toxicology
4445
Transplantation
938
Tropical Medicine
300
Urology & Nephrology
12890
Veterinary Sciences
35
Virology
2551
Zoology
0
Channels
SURGICAL CASE REPORTS
508
Aesthetic Surgery Journal
112
The Surgery Journal
67
NEJM Surgery
3
Medrxiv - Surgery
244
AMERICAN JOURNAL OF SURGICAL PATHOLOGY
444
ANNALS OF SURGERY
565
ANNALS OF SURGICAL ONCOLOGY
1217
BONE & JOINT JOURNAL
272
BRITISH JOURNAL OF SURGERY
19
DIGESTIVE ENDOSCOPY
252
DISEASES OF THE COLON & RECTUM
475
JAMA OTOLARYNGOLOGY-HEAD & NECK SURGERY
71
JOURNAL OF BONE AND JOINT SURGERY-AMERICAN VOLUME
444
JOURNAL OF THE AMERICAN COLLEGE OF SURGEONS
11
JOURNAL OF TRAUMA AND ACUTE CARE SURGERY
535
KNEE SURGERY SPORTS TRAUMATOLOGY ARTHROSCOPY
872
LIVER TRANSPLANTATION
267
PLASTIC SURGERY
61
WORLD JOURNAL OF EMERGENCY SURGERY
151
AMERICAN SURGEON
381
ANNALS OF PLASTIC SURGERY
372
ANZ JOURNAL OF SURGERY
416
BRAZILIAN JOURNAL OF CARDIOVASCULAR SURGERY
0
CLINICAL NEUROLOGY AND NEUROSURGERY
1063
CLINICAL TRANSPLANTATION
224
COLORECTAL DISEASE
397
EUROPEAN SURGICAL RESEARCH
94
FRONTIERS IN SURGERY
3099
GERIATRIC ORTHOPAEDIC SURGERY & REHABILITATION
58
INJURY-INTERNATIONAL JOURNAL OF THE CARE OF THE INJURED
1229
INTERNATIONAL JOURNAL OF LOWER EXTREMITY WOUNDS
114
INTERNATIONAL JOURNAL OF MEDICAL ROBOTICS AND COMPUTER ASSISTED SURGERY
99
INTERNATIONAL WOUND JOURNAL
166
JOURNAL OF CRANIOFACIAL SURGERY
150
JOURNAL OF HEPATO-BILIARY-PANCREATIC SCIENCES
161
JOURNAL OF KOREAN NEUROSURGICAL SOCIETY
20
JOURNAL OF MINIMALLY INVASIVE GYNECOLOGY
851
JOURNAL OF ORTHOPAEDIC SURGERY
54
JOURNAL OF RECONSTRUCTIVE MICROSURGERY
290
KNEE
0
MICROSURGERY
95
OPHTHALMIC PLASTIC AND RECONSTRUCTIVE SURGERY
114
ORTHOPAEDICS & TRAUMATOLOGY-SURGERY & RESEARCH
2
SEMINARS IN PEDIATRIC SURGERY
269
SEMINARS IN VASCULAR SURGERY
257
STEREOTACTIC AND FUNCTIONAL NEUROSURGERY
83
SURGICAL INNOVATION
66
TECHNIQUES IN COLOPROCTOLOGY
596
WORLD JOURNAL OF SURGICAL ONCOLOGY
737
WORLD NEUROSURGERY
929
WOUND REPAIR AND REGENERATION
47
GLAND SURGERY
72
HAND SURGERY & REHABILITATION
442
JOURNAL OF CATARACT AND REFRACTIVE SURGERY
592
JOURNAL OF MINIMAL ACCESS SURGERY
20
JOURNAL OF PLASTIC RECONSTRUCTIVE AND AESTHETIC SURGERY
24
JOURNAL OF SURGICAL RESEARCH
44
NEUROCHIRURGIE
386
OPERATIVE TECHNIQUES IN SPORTS MEDICINE
160
SCANDINAVIAN JOURNAL OF SURGERY
22
SEMINARS IN PLASTIC SURGERY
130
SURGEON-JOURNAL OF THE ROYAL COLLEGES OF SURGEONS OF EDINBURGH AND IRELAND
336
SURGICAL CLINICS OF NORTH AMERICA
87
SURGICAL ONCOLOGY CLINICS OF NORTH AMERICA
61
THORACIC SURGERY CLINICS
59
WORLD JOURNAL OF PLASTIC SURGERY
20
TURKISH JOURNAL OF PLASTIC SURGERY
54
SURGERY JOURNAL
159
SEMINARS IN COLON AND RECTAL SURGERY
130
ARCHIVES OF AESTHETIC PLASTIC SURGERY
20
BRAZILIAN NEUROSURGERY-ARQUIVOS BRASILEIROS DE NEUROCIRURGIA
200
CURRENT SURGERY REPORTS
124
EGYPTIAN JOURNAL OF SURGERY
40
EUROPEAN JOURNAL OF PEDIATRIC SURGERY REPORTS
90
EUROPEAN JOURNAL OF PLASTIC SURGERY
374
FORMOSAN JOURNAL OF SURGERY
76
GYNECOLOGICAL SURGERY
8
INDIAN JOURNAL OF NEUROSURGERY
181
INDIAN JOURNAL OF OTOLARYNGOLOGY AND HEAD & NECK SURGERY
1287
INDIAN JOURNAL OF VASCULAR AND ENDOVASCULAR SURGERY
170
JBJS ESSENTIAL SURGICAL TECHNIQUES
95
JBJS REVIEWS
214
JOURNAL OF HAND AND MICROSURGERY
100
JOURNAL OF ROBOTIC SURGERY
554
REVISTA ARGENTINA DE RESIDENTES DE CIRUGIA
169
PATIENT SAFETY IN SURGERY
102
EUROPEAN SURGERY-ACTA CHIRURGICA AUSTRIACA
159
INDIAN JOURNAL OF SURGERY
1026
INTERNATIONAL JOURNAL OF COMPUTER ASSISTED RADIOLOGY AND SURGERY
645
JOURNAL OF GASTROINTESTINAL SURGERY
808
LASERS IN MEDICAL SCIENCE
663
NEUROSURGICAL REVIEW
720
OBESITY SURGERY
1104
PEDIATRIC SURGERY INTERNATIONAL
609
SURGICAL ENDOSCOPY AND OTHER INTERVENTIONAL TECHNIQUES
1395
UPDATES IN SURGERY
615
WORLD JOURNAL OF SURGERY
559
SCI Abstract
search
ALL
RECOMMENDED
+
Treatment of a left inguinal hernia with incarceration of the scope during colonoscopy: a case report and literature review
Colonoscopy is widely performed. However, reports of colonoscopic incarceration within inguinal hernias are rare. Incarcer...
Surgical Case Reports
comment
0
thumb_up
0
Simplified technique in total pancreatectomy with islet cell autotransplantation after Frey’s procedure: a case report
The selection of the surgical approach for chronic pancreatitis (CP) is determined by various factors including inflammato...
Surgical Case Reports
comment
0
thumb_up
0
Serous endometrial carcinoma metastatic to the sigmoid colon masquerading as a primary colon cancer detected by bowel obstruction
The majority of colorectal malignancies are primary tumors. Secondary tumors are rare, and colorectal metastasis from endo...
Surgical Case Reports
comment
0
thumb_up
0
A case of simultaneous pancreatoduodenectomy and living donor liver transplantation for biliary cancer complicated with congenital biliary dilatation
In patients with pancreaticobiliary maljunction complicated by congenital biliary dilatation, the pancreatic enzyme flows ...
Surgical Case Reports
comment
0
thumb_up
0
Granulomatous mastitis forming a well-defined large mass diagnosed by surgical excision: a case report
Granulomatous mastitis is a relatively rare benign inflammatory disease of the breast, but it is sometimes difficult to di...
Surgical Case Reports
comment
0
thumb_up
0
The enhanced-view totally extraperitoneal repair of abdominal bulge after DIEP flap breast reconstruction for breast cancer: a case report
The deep inferior epigastric perforator (DIEP) flap for autologous breast reconstruction is associated with higher patient...
Surgical Case Reports
comment
0
thumb_up
0
A case of intraoperative detection of a central venous catheter in azygos vein arch during esophageal cancer surgery
Central venous catheter (CVC) is often used in the perioperative management of esophageal cancer. The position of the CVC ...
Surgical Case Reports
comment
0
thumb_up
0
Robot-assisted laparoscopic hepatectomy for liver metastasis from clitoral malignant melanoma: a case report
Malignant melanomas occur most commonly in the skin, mucous membranes, or choroid. Clitoral malignant melanomas are extrem...
Surgical Case Reports
comment
0
thumb_up
0
Left-sided portal hypertension caused by a solid pseudopapillary neoplasm of pancreas tail: a pediatric case report
Solid pseudopapillary neoplasm (SPN) is a low-grade malignant tumor that occurs in 60% of all pediatric pancreas tumors. R...
Surgical Case Reports
comment
0
thumb_up
0
Posttraumatic aortic regurgitation and root pseudoaneurysm following blunt chest trauma: a case report
The simultaneous diagnosis of severe aortic regurgitation and aortic root pseudoaneurysm resulting from traffic injury is ...
Surgical Case Reports
comment
0
thumb_up
0
Successful thoracoscopic enucleation of a calcifying fibrous tumor of the lower mediastinum in a young woman
Calcifying fibrous tumor (CFT) arising from the pleura is a relatively rare benign lesion in young and middle-aged adults....
Surgical Case Reports
comment
0
thumb_up
0
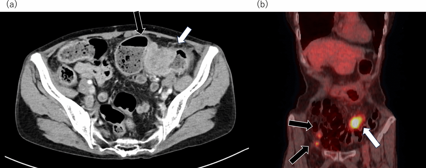
Appendiceal goblet cell adenocarcinoma with perineural invasion extending into the ileocecal lesion
Appendiceal goblet cell adenocarcinoma (GCA) is a rare subtype of primary appendiceal adenocarcinoma with an incidence of ...
Surgical Case Reports
comment
0
thumb_up
0
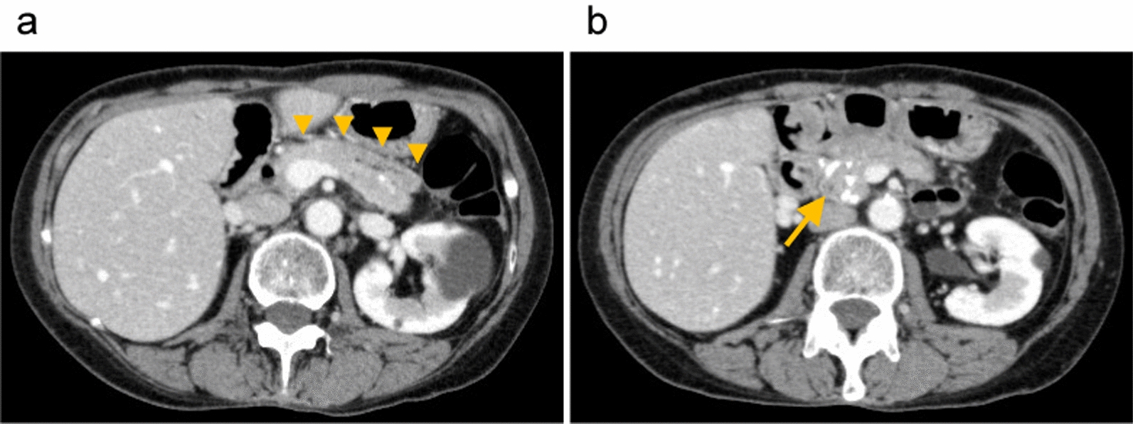
Intraoperative severe gastric venous congestion during total pancreatectomy with replaced common hepatic artery: a case report
Gastric venous congestion (GVC) is one of the complications of total pancreatectomy (TP). Here, we report a case of intrao...
Surgical Case Reports
comment
0
thumb_up
0
Bilateral thoracotomy for horseshoe lung complicated with severe aspergilloma: a case report
Horseshoe lung is a rare congenital malformation in which the lung protrudes from the mediastinum to the other side. Owing...
Surgical Case Reports
comment
0
thumb_up
0
Spontaneous complete regression of pancreaticoduodenal artery aneurysms with celiac artery occlusion after aorto-splenic bypass without additional treatment: a case report
Pancreaticoduodenal artery aneurysm (PDAA) is a rare, but fatal disease. However, the association between aneurysm size an...
Surgical Case Reports
comment
0
thumb_up
0
Two cases of gastric cancer with elevated serum levels of KL-6
The serum level of Krebs von den Lungen-6 (sKL-6) is a biomarker of interstitial pneumonia and has been reported to be ele...
Surgical Case Reports
comment
0
thumb_up
0
CA19-9 producing locally advanced papillary thyroid carcinoma: a case report
CA19-9 is a tumor marker for gastrointestinal and biliary-pancreatic adenocarcinomas; however, its association with thyroi...
Surgical Case Reports
comment
0
thumb_up
0
A case of multidrug-resistant intractable pylephlebitis and intra-abdominal abscess due to perforated appendicitis successfully treated with open abdominal management
Pylephlebitis, a rare and lethal form of portal venous septic thrombophlebitis, often arises from infections in regions dr...
Surgical Case Reports
comment
0
thumb_up
0
Treatment strategy for lymph node metastasis of hepatocellular carcinoma using an ICG navigation system: a case report
Since indocyanine green (ICG) accumulates selectively in hepatocellular carcinoma (HCC) cells, it can be used to detect me...
Surgical Case Reports
comment
0
thumb_up
0
Pseudoaneurysm of mitral-aortic intervalvular fibrosa with rupture: a case report
Mitral-aortic intervalvular fibrosa (MAIVF) is a fibrous region connecting the anterior mitral leaflet (AML) and aortic va...
Surgical Case Reports
comment
0
thumb_up
0
A case of ductal carcinoma in situ (DCIS) with markedly elevated CA15-3 levels requiring 2 years of diagnosis
CA15-3 is often elevated in breast cancer recurrence and rarely in ductal carcinoma in situ (DCIS). We report a case of DC...
Surgical Case Reports
comment
0
thumb_up
0
Living donor liver transplantation for a patient with acute liver failure following thyroid storm: a case report
Thyroid storm can be complicated by liver dysfunction, which may occasionally progress to acute liver failure. We herein r...
Surgical Case Reports
comment
0
thumb_up
0
Refractory gastrocutaneous fistula treated by two-stage surgery: a case report
Gastrocutaneous fistulas are a rare complication of enterocutaneous fistulas and can be caused by intestinal injury, infec...
Surgical Case Reports
comment
0
thumb_up
0
Combined endoscopic stenting and laparoscopic stent fixation for benign gastric tube stricture after esophagectomy: a case report
There are several options for the treatment of gastrointestinal stricture, including endoscopic stent placement and bypass...
Surgical Case Reports
comment
0
thumb_up
0
Multiple angiosarcomas of both breasts: a case report
Primary angiosarcomas of the breast are rare and highly aggressive. We herein report a rare case of multiple angiosarcomas...
Surgical Case Reports
comment
0
thumb_up
0
Abdominal compartment syndrome as a complication of endoscopic carbon dioxide insufflation in a patient with malignant bowel obstruction: a case report
A self-expandable metal stent is often placed as a bridge to elective surgical treatment of left-sided malignant obstructi...
Surgical Case Reports
comment
0
thumb_up
0
Two cases of colorectal liver metastasis with residual liver recurrence after a long recurrence-free survival period
The rate of residual liver recurrence after the resection of colorectal liver metastases is high, and most cases recur wit...
Surgical Case Reports
comment
0
thumb_up
0
A case of Barrett’s esophageal adenocarcinoma and severe scoliosis with successful salvage esophagectomy after definitive chemoradiotherapy
Severe scoliosis can cause reflux esophagitis, and is a risk factor for Barrett's adenocarcinoma of the esophagus. Sev...
Surgical Case Reports
comment
0
thumb_up
0
Reconstruction with the right gastroepiploic vein during pancreaticoduodenectomy and total pancreatectomy to prevent left-sided portal hypertension: a report of two cases
Left-sided portal hypertension including gastric venous congestion may be caused by ligating the splenic vein during pancr...
Surgical Case Reports
comment
0
thumb_up
0
Successful management of malignant colovesical fistula using covered colonic self-expanding metallic stent: a case report
A colovesical fistula (CVF) is commonly treated by resection of the intestine containing the fistula or creation of a defu...
Surgical Case Reports
comment
0
thumb_up
0
Load More
Modal title
×
Modal title
×
Share
Login
Global News and Health Forum
Join Now!
Member Login
Remember me
Forgot password?
Or using
Linkedin