×
Close
Sign Up
Login
Home
SCI Abstract
Library D
Events & Partner
WeMed
MDLA Events Platform
Events
Media Partners
Educational Partner
User Tools
FAQ/USER GUIDE
Language
English
中文/ Chinese
French
Português
Español
Arabic
Russian
Contact Us
×
Close
mdla_1
mdla_2
mdla_3
mdla_4
mdla_5
mdla_6
Categories
Infectious Diseases
14017
Global Medical University
5141
Allergy
1792
Anatomy & Morphology
1584
Andrology
379
Anesthesia & Intensive Care
1300
Anesthesiology
5399
Audiology & Speech-Language Pathology
347
Behavioral Sciences
105
Biochemical Research Methods
7243
Biochemistry & Molecular Biology
30077
Biodiversity Conservation
330
Biology
8515
Biophysics
8292
Biotechnology & Applied Microbiology
8662
Cardiac & Cardiovascular Systems
31125
Cardiovascular & Respiratory Systems
1413
Cell & Tissue Engineering
704
Cell Biology
11182
Chemistry, Analytical
4301
Chemistry, Applied
10948
Chemistry, Medicinal
8755
Chemistry, Multidisciplinary
18521
Clinical Immunology & Infectious Disease
423
Clinical Medicine
8962
Clinical Neurology
16636
Clinical Psychology & Psychiatry
1294
Critical Care Medicine
3163
Dentistry, Oral Surgery & Medicine
13544
Dermatology
7485
Developmental Biology
6954
Ecology
633
Education, Scientific Disciplines
2050
Emergency Medicine
4117
Endocrinology, Metabolism & Nutrition
24622
Engineering, Biomedical
3729
Entomology
489
Environmental Medicine & Public Health
4669
Evolutionary Biology
276
Gastroenterology & Hepatology
12236
General & Internal Medicine
7013
Genetics & Heredity
15196
Geriatrics & Gerontology
5075
Gerontology
382
Health Care Sciences & Services
16165
Health Policy & Services
604
Hematology
5578
Immunology
24850
Integrative & Complementary Medicine
2943
Medical Ethics
1239
Medical Informatics
2232
Medical Laboratory Technology
419
Medicine, General & Internal
44379
Medicine, Legal
532
Medicine, Research & Experimental
17792
Microbiology
23387
Mycology
0
Nanoscience & Nanotechnology
5388
Neuroimaging
1365
Neurology
4562
Neurosciences
39861
Nursing
9787
Nutrition & Dietetics
7849
Obstetrics & Gynecology
8277
Oncology
52506
Ophthalmology
9749
Optics
4279
Orthopedics
11803
Orthopedics, Rehabilitation & Sports Medicine
1828
Otolaryngology
1583
Otorhinolaryngology
4894
Parasitology
1167
Pathology
5148
Pediatrics
21618
Peripheral Vascular Disease
4767
Pharmacology & Pharmacy
35500
Pharmacology/Toxicology
12212
Physiology
8922
Polymer Science
542
Primary Health Care
837
Psychiatry
19132
Psychology
5240
Psychology, Applied
111
Psychology, Biological
390
Psychology, Clinical
811
Psychology, Developmental
273
Psychology, Educational
164
Psychology, Experimental
171
Psychology, Mathematical
0
Psychology, Multidisciplinary
1694
Psychology, Psychoanalysis
30
Psychology, Social
131
Public Health & Health Care Science
2225
Public, Environmental & Occupational Health
27291
Quantum Science & Technology
0
Radiology, Nuclear Medicine & Imaging
12500
Radiology, Nuclear Medicine & Medical Imaging
8264
Rehabilitation
3074
Remote Sensing
0
Reproductive Biology
2872
Reproductive Medicine
1212
Research/Laboratory Medicine & Medical Technology
4029
Respiratory System
7421
Rheumatology
6029
Social Sciences, Biomedical
1178
Substance Abuse
2771
Surgery
33948
Toxicology
4445
Transplantation
938
Tropical Medicine
300
Urology & Nephrology
12890
Veterinary Sciences
35
Virology
2551
Zoology
0
Channels
INFECTION
571
NEJM-Infectious Disease
10
MedRxiv Infectious Diseases
4286
NEJM Infectious Disease
48
CURRENT HIV/AIDS REPORTS
147
CURRENT OPINION IN HIV AND AIDS
128
CURRENT OPINION IN INFECTIOUS DISEASES
209
EMERGING INFECTIOUS DISEASES
1237
EPIDEMICS
256
INFECTION AND DRUG RESISTANCE
1752
INFECTION AND IMMUNITY
33
INFECTIOUS DISEASES OF POVERTY
297
INFLUENZA AND OTHER RESPIRATORY VIRUSES
70
INTERNATIONAL JOURNAL OF HYGIENE AND ENVIRONMENTAL HEALTH
444
INTERNATIONAL JOURNAL OF INFECTIOUS DISEASES
87
JAIDS-JOURNAL OF ACQUIRED IMMUNE DEFICIENCY SYNDROMES
525
JOURNAL OF INFECTION
40
LANCET INFECTIOUS DISEASES
17
TICKS AND TICK-BORNE DISEASES
463
AIDS RESEARCH AND THERAPY
233
AMERICAN JOURNAL OF INFECTION CONTROL
38
INTERNATIONAL JOURNAL OF STD & AIDS
87
JOURNAL OF GLOBAL ANTIMICROBIAL RESISTANCE
0
JOURNAL OF INFECTION AND CHEMOTHERAPY
629
JOURNAL OF INFECTION AND PUBLIC HEALTH
0
JOURNAL OF PEDIATRIC INFECTIOUS DISEASES
160
JOURNAL OF VECTOR BORNE DISEASES
174
JOURNAL OF VIRUS ERADICATION
0
MICROBES AND INFECTION
0
ONE HEALTH
0
PEDIATRIC INFECTIOUS DISEASE JOURNAL
240
REVISTA DO INSTITUTO DE MEDICINA TROPICAL DE SAO PAULO
0
SEXUALLY TRANSMITTED DISEASES
43
MEDECINE ET MALADIES INFECTIEUSES
40
TROPICAL MEDICINE AND INFECTIOUS DISEASE
435
TROPICAL DISEASES TRAVEL MEDICINE AND VACCINES
78
CURRENT TREATMENT OPTIONS IN INFECTIOUS DISEASES
43
CURRENT TROPICAL MEDICINE REPORTS
117
INFECTIOUS DISEASE REPORTS
117
INFECTIOUS DISEASES IN CLINICAL PRACTICE
243
INTERNATIONAL JOURNAL OF MYCOBACTERIOLOGY
138
JOURNAL OF GLOBAL INFECTIOUS DISEASES
70
LANCET MICROBE
0
CURRENT INFECTIOUS DISEASE REPORTS
97
INFECTIOUS DISEASES AND THERAPY
415
SCI Abstract
search
ALL
RECOMMENDED
+
Experience of use of dalbavancin for the treatment of unlicensed indications in a UK tertiary infectious diseases setting
Dalbavancin is a long-acting lipoglycopeptide with Gram-positive activity, licensed for the treatment of acute bacterial s...
Infection
comment
0
thumb_up
0
Evaluating the associations among asthma, asthma control and long COVID in U.S. adults
This study aimed to evaluate (1) the association between asthma and long COVID among U.S. adults and (2) the association b...
Infection
comment
0
thumb_up
0
The effect of antibiotic therapy on clinical outcome in patients hospitalized with moderate COVID-19 disease: a prospective multi-center cohort study
The benefit of antibiotic treatment (ABT) for patients with moderate COVID-19 is unclear and overtreatment poses the risk ...
Infection
comment
0
thumb_up
0
Enhancing upper respiratory tract infection detection: exploring qPCR negative respiratory samples using targeted next-generation sequencing
Respiratory infections re-emerge unpredictably. Rapid pathogen identification is crucial for effective targeted therapy. F...
Infection
comment
0
thumb_up
0
Trough concentrations of cabotegravir and rilpivirine and their association with detectable viral load in people with HIV on long-acting treatment
Cabotegravir (CAB) and rilpivirine (RPV) constitute the first complete non-oral ART regimen for HIV-1 treatment. Due to vi...
Infection
comment
0
thumb_up
0
Current trends on antifungal prophylaxis in solid organ transplantation: a study from ESCMID-EFISG, ESCMID-ESGICH, SITA, and SEIMC-GESITRA-IC
Invasive fungal diseases (IFD) present serious risks to solid organ transplant recipients, particularly in the first 180&a...
Infection
comment
0
thumb_up
0
Two novel lytic bacteriophages with antibiofilm activity against carbapenem-resistant infections
Carbapenem-resistant Klebsiella pneumoniae (CRKP) poses a major challenge in clinical settings due to high morbidity, mort...
Infection
comment
0
thumb_up
0
Transitional care after hospitalization for sepsis in Germany– results from the population-based AVENIR cohort study
Sepsis survivorship is associated with significant long-term morbidity, mortality and health care utilization. Transitiona...
Infection
comment
0
thumb_up
0
Bridging continents: postgraduate infectious diseases training programs from central Europe to Southeast Asia
Increasing travel, climate change, spread of antimicrobial resistance and pandemics increased the need for well-trained in...
Infection
comment
0
thumb_up
0
How to identify respiratory pathogens in primary health care - a review on the benefits, prospects and pitfalls in using point of care tests
Respiratory tract infections are among the most common reasons for consultations in primary health care (PHC) settings. In...
Infection
comment
0
thumb_up
0
Targeting antimicrobial restriction: outcomes of pharmacist-led stewardship interventions at the university hospital Salzburg
Antimicrobial overuse and misuse remain critical challenges. This study examined pharmacist-led post-prescription interven...
Infection
comment
0
thumb_up
0
Untreated baseline imbalances distort piperacillin/tazobactam versus carbapenem non-inferiority evaluation
Harris PNA, Tambyah PA, Lye DC, Mo Y, Lee TH, Yilmaz M, et al. Effect of piperacillin-tazobactam vs meropenem on 30-day mo...
Infection
comment
0
thumb_up
0
Rising rates of sepsis in England: an ecological study
Sepsis is life-threatening organ dysfunction caused by a dysregulated host response to infection. It is a major cause of m...
Infection
comment
0
thumb_up
0
Diverse clinical manifestations of Parvovirus B19 infections during the 2024 outbreak in Germany
In 2024, human parvovirus B19 (PB19V) infections have increased in Germany and globally. It is an infection associated wit...
Infection
comment
0
thumb_up
0
Head-to-head: meropenem/vaborbactam versus ceftazidime/avibactam in ICUs patients with KPC-producing infections– results from a retrospective multicentre study
Meropenem/vaborbactam (M/V) and ceftazidime/avibactam (C/A) are considered key agents in treating KPC-producing Klebsiella...
Infection
comment
0
thumb_up
0
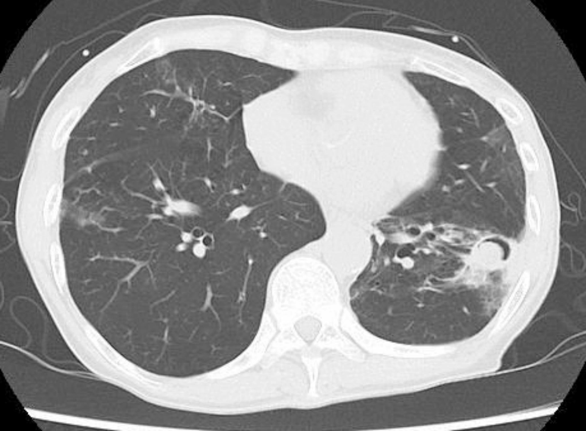
Pulmonary fungus ball due to mimicking aspergilloma: a case report
Competing interests The authors declare no competing interests. ...
Infection
comment
0
thumb_up
0
Rehospitalizations for ambulatory care sensitive conditions in sepsis survivors– a nationwide cohort study using health claims data 2016–2019
Sepsis survivors suffer from frequent rehospitalizations, of which a certain proportion is considered preventable by timel...
Infection
comment
0
thumb_up
0
Correction: Results of a monocentric field study: value of histology compared to sonication method and conventional tissue culture in the diagnosis of periprosthetic joint infection (PJI)
Authors and AffiliationsDepartment of Trauma Surgery, Orthopaedics & Sports Medicine, Hospital of Brothers of Mercy, R...
Infection
comment
0
thumb_up
0
Contemplating dengue: the thinker’s reflection on symptoms
In this image, the autors reinterprate “The Thinker” from Auguste Rodin to transfer knowledge about dengue fev...
Infection
comment
0
thumb_up
0
Correction: Performance evaluation of a combination Plasmodium dual-antigen CRP rapid diagnostic test in Lambaréné, Gabon
Biomedicine and Social Sciences Research Group, Department of Biologicals and Therapeutics, Centre de Recherches Médicales...
Infection
comment
0
thumb_up
0
Tinea corporis caused by Trichophyton Equinum as occupational infection in riders
Conflict of interest The authors declare no conflicts of in...
Infection
comment
0
thumb_up
0
Minocycline-induced black bone disease of the skull
Consent to participate Written informed consent was obtaine...
Infection
comment
0
thumb_up
0
The high-incidence period of Mycoplasma pneumoniae infections 2023/2024 in southeast Germany was associated with a low level of macrolide resistance
Open Access This article is licensed under a Creative Commons Attribution 4.0 International License, whi...
Infection
comment
0
thumb_up
0
Syncopes, paresis and loss of vision after COVID-19 mRNA-based vaccination and SARS-CoV-2 infection
mRNA-based vaccines played a key role in fighting the global COVID-19 pandemic by saving millions of lives. In rare cases,...
Infection
comment
0
thumb_up
0
Embolic complications in a large contemporary cohort of infective endocarditis: do we need score model?
Infective endocarditis (IE) is a heterogeneous disease undergoing epidemiological changes. Whether those changes have an i...
Infection
comment
0
thumb_up
0
Piperacillin/tazobactam vs. cefepime or carbapenems for the treatment of bloodstream infections due to bacteria producing chromosomal AmpC beta-lactamase: a systematic review and meta-analysis
The best treatment for bloodstream infections (BSI) due to chromosomal AmpC (c-AmpC) producing Enterobacterales is not cle...
Infection
comment
0
thumb_up
0
Bacteremic nosocomial pneumonia caused by Gram-negative bacilli: results from the nationwide ALARICO study in Italy
To describe the clinical characteristics and outcomes of patients with nosocomial pneumonia (NP) caused by carbap...
Infection
comment
0
thumb_up
0
Anidulafungin exposure and population pharmacokinetics in critically ill patients with invasive candidiasis
Anidulafungin is recommended as a first-line treatment for invasive Candida infections in critically ill patients. Pharmac...
Infection
comment
0
thumb_up
0
Disseminated fusariosis after allogenic hematopoietic stem cell transplantation: case report
In allogenic stem cell recipients, invasive fungal disease is a common yet dreaded complication with high mortality. Among...
Infection
comment
0
thumb_up
0
Management and outcome of cutaneous diphtheria in adolescent refugees in Germany, June 2022 – October 2023
From September 2022 an increase in Corynebacterium diphtheriae (C. diphtheriae) infections was reported in Europe...
Infection
comment
0
thumb_up
0
Load More
Modal title
×
Modal title
×
Share
Login
Global News and Health Forum
Join Now!
Member Login
Remember me
Forgot password?
Or using
Linkedin