×
Close
Sign Up
Login
Home
SCI Abstract
Library D
Events & Partner
WeMed
MDLA Events Platform
Events
Media Partners
Educational Partner
User Tools
FAQ/USER GUIDE
Language
English
中文/ Chinese
French
Português
Español
Arabic
Russian
Contact Us
×
Close
mdla_1
mdla_2
mdla_3
mdla_4
mdla_5
mdla_6
Categories
Clinical Neurology
16636
Global Medical University
5141
Allergy
1792
Anatomy & Morphology
1584
Andrology
379
Anesthesia & Intensive Care
1300
Anesthesiology
5399
Audiology & Speech-Language Pathology
347
Behavioral Sciences
105
Biochemical Research Methods
7243
Biochemistry & Molecular Biology
30077
Biodiversity Conservation
330
Biology
8515
Biophysics
8292
Biotechnology & Applied Microbiology
8662
Cardiac & Cardiovascular Systems
31125
Cardiovascular & Respiratory Systems
1413
Cell & Tissue Engineering
704
Cell Biology
11182
Chemistry, Analytical
4301
Chemistry, Applied
10948
Chemistry, Medicinal
8755
Chemistry, Multidisciplinary
18521
Clinical Immunology & Infectious Disease
423
Clinical Medicine
8962
Clinical Psychology & Psychiatry
1294
Critical Care Medicine
3163
Dentistry, Oral Surgery & Medicine
13544
Dermatology
7485
Developmental Biology
6954
Ecology
633
Education, Scientific Disciplines
2050
Emergency Medicine
4117
Endocrinology, Metabolism & Nutrition
24622
Engineering, Biomedical
3729
Entomology
489
Environmental Medicine & Public Health
4669
Evolutionary Biology
276
Gastroenterology & Hepatology
12236
General & Internal Medicine
7013
Genetics & Heredity
15196
Geriatrics & Gerontology
5075
Gerontology
382
Health Care Sciences & Services
16165
Health Policy & Services
604
Hematology
5578
Immunology
24850
Infectious Diseases
14017
Integrative & Complementary Medicine
2943
Medical Ethics
1239
Medical Informatics
2232
Medical Laboratory Technology
419
Medicine, General & Internal
44379
Medicine, Legal
532
Medicine, Research & Experimental
17792
Microbiology
23387
Mycology
0
Nanoscience & Nanotechnology
5388
Neuroimaging
1365
Neurology
4562
Neurosciences
39861
Nursing
9787
Nutrition & Dietetics
7849
Obstetrics & Gynecology
8277
Oncology
52486
Ophthalmology
9749
Optics
4279
Orthopedics
11803
Orthopedics, Rehabilitation & Sports Medicine
1828
Otolaryngology
1583
Otorhinolaryngology
4894
Parasitology
1167
Pathology
5148
Pediatrics
21618
Peripheral Vascular Disease
4767
Pharmacology & Pharmacy
35500
Pharmacology/Toxicology
12212
Physiology
8922
Polymer Science
542
Primary Health Care
837
Psychiatry
19132
Psychology
5240
Psychology, Applied
111
Psychology, Biological
390
Psychology, Clinical
811
Psychology, Developmental
273
Psychology, Educational
164
Psychology, Experimental
171
Psychology, Mathematical
0
Psychology, Multidisciplinary
1694
Psychology, Psychoanalysis
30
Psychology, Social
131
Public Health & Health Care Science
2225
Public, Environmental & Occupational Health
27291
Quantum Science & Technology
0
Radiology, Nuclear Medicine & Imaging
12500
Radiology, Nuclear Medicine & Medical Imaging
8264
Rehabilitation
3074
Remote Sensing
0
Reproductive Biology
2872
Reproductive Medicine
1212
Research/Laboratory Medicine & Medical Technology
4029
Respiratory System
7421
Rheumatology
6029
Social Sciences, Biomedical
1178
Substance Abuse
2771
Surgery
33928
Toxicology
4445
Transplantation
938
Tropical Medicine
300
Urology & Nephrology
12890
Veterinary Sciences
35
Virology
2551
Zoology
0
Channels
SLEEP AND BIOLOGICAL RHYTHMS
217
Dental Journal of Advance Studies
47
JOURNAL OF BRACHIAL PLEXUS AND PERIPHERAL NERVE INJURY
31
International Journal of Epilepsy
33
ALZHEIMERS & DEMENTIA
156
ALZHEIMERS RESEARCH & THERAPY
426
ANNALS OF NEUROLOGY
181
BIPOLAR DISORDERS
122
BRAIN STIMULATION
0
CEPHALALGIA
100
CURRENT NEUROLOGY AND NEUROSCIENCE REPORTS
232
CURRENT OPINION IN NEUROLOGY
242
EUROPEAN ARCHIVES OF PSYCHIATRY AND CLINICAL NEUROSCIENCE
497
INTERNATIONAL JOURNAL OF STROKE
23
JOURNAL OF NEURODEVELOPMENTAL DISORDERS
149
JOURNAL OF NEUROLOGY
1001
LANCET NEUROLOGY
0
MULTIPLE SCLEROSIS JOURNAL
153
NATURE REVIEWS NEUROLOGY
407
NEUROGASTROENTEROLOGY AND MOTILITY
183
NEUROLOGY
2188
NEUROLOGY-NEUROIMMUNOLOGY & NEUROINFLAMMATION
320
NEUROSCIENTIST
19
PSYCHIATRY AND CLINICAL NEUROSCIENCES
51
SLEEP MEDICINE
0
THERAPEUTIC ADVANCES IN NEUROLOGICAL DISORDERS
46
ACTA NEUROLOGICA SCANDINAVICA
112
AMERICAN JOURNAL OF ALZHEIMERS DISEASE AND OTHER DEMENTIAS
19
ANNALS OF INDIAN ACADEMY OF NEUROLOGY
245
CEREBROVASCULAR DISEASES
211
CLINICAL EEG AND NEUROSCIENCE
47
CLINICAL JOURNAL OF PAIN
49
EPILEPSY & BEHAVIOR
0
EPILEPSY RESEARCH
0
EPILEPTIC DISORDERS
66
EUROPEAN NEUROLOGY
130
JOURNAL OF NEUROLOGIC PHYSICAL THERAPY
17
JOURNAL OF NEUROSURGICAL ANESTHESIOLOGY
67
JOURNAL OF PAIN RESEARCH
956
NEURODEGENERATIVE DISEASES
47
NEUROEPIDEMIOLOGY
111
NEUROLOGIST
33
OTOLOGY & NEUROTOLOGY
361
PAIN AND THERAPY
316
PEDIATRIC NEUROLOGY
1
SCHMERZ
119
SEMINARS IN PEDIATRIC NEUROLOGY
173
SPINE
57
STROKE AND VASCULAR NEUROLOGY
220
JOURNAL OF NEUROLOGICAL SURGERY PART A-CENTRAL EUROPEAN NEUROSURGERY
283
JOURNAL OF THE NEUROLOGICAL SCIENCES
51
MULTIPLE SCLEROSIS AND RELATED DISORDERS
1338
NEUROLOGIC CLINICS
81
NEUROMUSCULAR DISORDERS
32
SEMINARS IN NEUROLOGY
240
ZEITSCHRIFT FUR EPILEPTOLOGIE
106
TREMOR AND OTHER HYPERKINETIC MOVEMENTS
77
SOMNOLOGIE
89
AFRICAN JOURNAL OF NEUROLOGICAL SCIENCES
51
BRAIN CIRCULATION
78
BRITISH JOURNAL OF PAIN
26
CASE REPORTS IN NEUROLOGY
141
CLINICAL NEUROPSYCHIATRY
14
DEMENTIA AND GERIATRIC COGNITIVE DISORDERS EXTRA
37
EUROPEAN STROKE JOURNAL
39
INTERVENTIONAL NEUROLOGY
10
IRANIAN JOURNAL OF CHILD NEUROLOGY
156
JOURNAL OF NEUROLOGICAL SURGERY REPORTS
96
JOURNAL OF NEUROSCIENCES IN RURAL PRACTICE
148
JOURNAL OF PEDIATRIC NEUROPSYCHOLOGY
61
MOVEMENT DISORDERS CLINICAL PRACTICE
187
MULTIPLE SCLEROSIS JOURNAL-EXPERIMENTAL TRANSLATIONAL AND CLINICAL
57
NEUROHOSPITALIST
54
NEUROLOGY AND CLINICAL NEUROSCIENCE
69
NEUROLOGY INTERNATIONAL
3
NEUROLOGY-CLINICAL PRACTICE
233
NEURO-ONCOLOGY PRACTICE
27
NEUROGENETICS
143
CURRENT PAIN AND HEADACHE REPORTS
256
NEUROCRITICAL CARE
586
NEUROLOGICAL SCIENCES
1182
NEURORADIOLOGY
504
SCI Abstract
search
ALL
RECOMMENDED
+
Effects of daylight savings time transition on compliance and effectiveness of positive airway pressure therapy
Spring transitions into daylight savings time (DST) result in increase of sleep latency and fragmentation and decrease of ...
Sleep And Biological Rhythms
comment
0
thumb_up
0
A review of automatic sleep stage classification using machine learning algorithms based on heart rate variability
Over the past few decades, the use of heart rate variability (HRV) has expanded significantly due to its ease of collectio...
Sleep And Biological Rhythms
comment
0
thumb_up
0
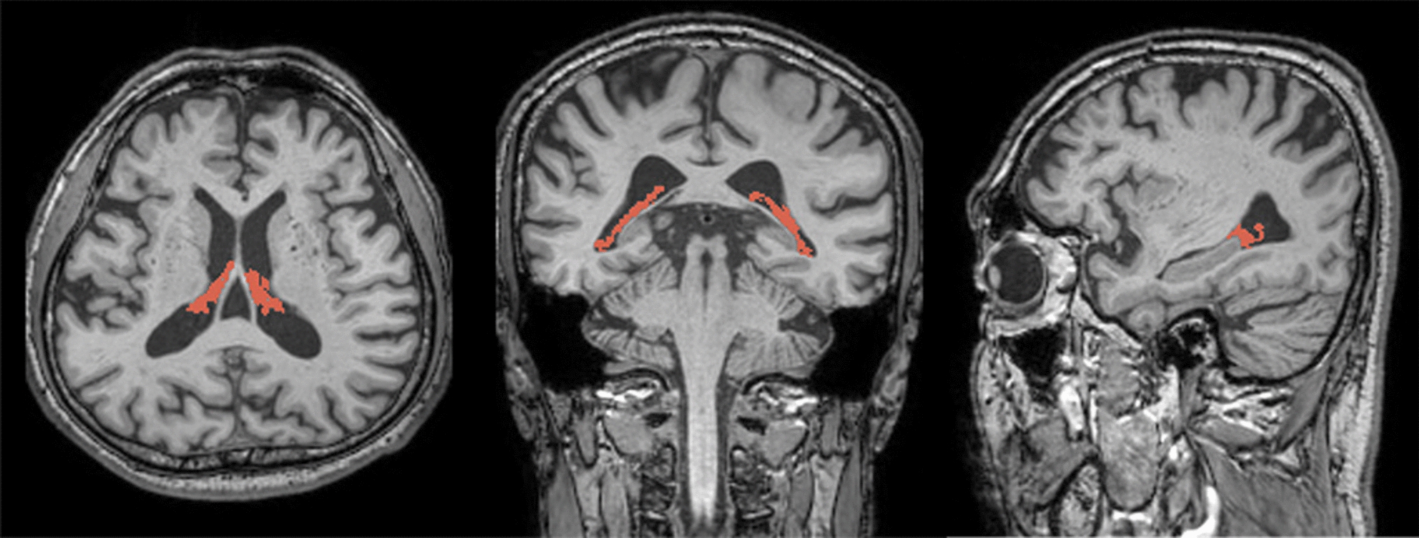
Choroid plexus enlargement in patients with rapid eye movement sleep behavior disorder: relevance to glymphatic system dysfunction
Choroid plexus volume change has been suggested as a biomarker for the course of various neurological diseases. However, i...
Sleep And Biological Rhythms
comment
0
thumb_up
0
Impact of living environment on sleep quality in older adults and the mediating role of depression: a cross-sectional study
Sleep quality significantly affects the well-being of older adults. This study aimed to analyse the current state of sleep...
Sleep And Biological Rhythms
comment
0
thumb_up
0
Limited effect of sleep education among rural middle-school students in eastern China: a 4-month intervention study
Sleep education had inconsistent effects on children and adolescents, and there was a lack of evaluation based on the cont...
Sleep And Biological Rhythms
comment
0
thumb_up
0
The diverse sleep structure of mid-day nap in college students
The aim of this study was to investigate the sleep structure of mid-day naps in students who frequently nap, and to determ...
Sleep And Biological Rhythms
comment
0
thumb_up
0
The 11th Congress of Asian Sleep Research Society and 8th Asian Forum on Chronobiology, 2025
Home ...
Sleep And Biological Rhythms
comment
0
thumb_up
0
Association between body roundness index and obstructive sleep apnea among US adults: data from the 2005–2008 and 2015–2018 National Health and Nutrition Examination Survey
OSA is defined as the repeated occurrence of apnea or hypopnea during sleep caused by upper airway collapse. Obstructive s...
Sleep And Biological Rhythms
comment
0
thumb_up
0
Investigation of the effects of pinealectomy on acetylcholinesterase enzyme activity and oxidative stress in rat brain
The pineal gland releases melatonin to regulate our body’s circadian rhythm based on light and dark cycles. The pine...
Sleep And Biological Rhythms
comment
0
thumb_up
0
RNA sequencing reveals circular RNA expression patterns in chronic intermittent hypoxia
Circular RNAs (circRNAs) participate in diverse biological processes. However, whether circRNAs exhibit distinct expressio...
Sleep And Biological Rhythms
comment
0
thumb_up
0
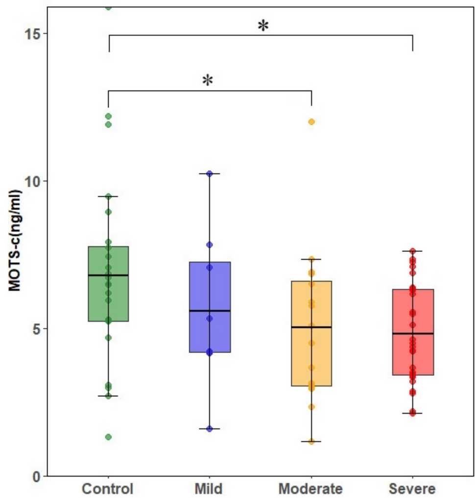
Reduced serum levels of mitochondria-derived peptide MOTS-c in patients with obstructive sleep apnea
Recent research has identified the mitochondrial open reading frame of the 12S rRNA-c (MOTS-c) as a crucial mitochondrial ...
Sleep And Biological Rhythms
comment
0
thumb_up
0
Correlation study of 5-HT in brain with cognitive function and anxious-like behavior in APP/PS1 transgene mice
Alzheimer’s disease (AD) is a neurodegenerative disease characterized by progressive decline in cognitive function a...
Sleep And Biological Rhythms
comment
0
thumb_up
0
Association of sleep duration and all-cause and cancer-specific mortality: results of 2004 national health interview survey (NHIS)
Epidemiologic research has demonstrated a connection between the duration of sleep and the risk of overall mortality. This...
Sleep And Biological Rhythms
comment
0
thumb_up
0
The effect of the initial administration of suvorexant on severe sleep apnea syndrome
The purpose of this study was to evaluate how the first oral administration of suvorexant affects PSG results in patients ...
Sleep And Biological Rhythms
comment
0
thumb_up
0
The relationships between intermittent hypoxia and oxidative stress in patients with sleep apnea syndrome
Intermittent hypoxia in sleep apnea syndrome (SAS) patients increases the oxidative stress and can cause serious cardiovas...
Sleep And Biological Rhythms
comment
0
thumb_up
0
Association between social jetlag and weight and fat reduction in dieting
Objectives: Social jetlag (SJL), the discrepancy between an individual’s inherent circadian rhythm and external soci...
Sleep And Biological Rhythms
comment
0
thumb_up
0
Complete resolution of restless legs syndrome following ischemic stroke of the right middle cerebral artery
Stroke-related restless legs syndrome (sRLS) is an emerging clinical entity, with a clear relationship between stroke and ...
Sleep And Biological Rhythms
comment
0
thumb_up
0
The relationships between bedtime routines and preschooler’s sleep health and well-being: a cross-sectional survey in Japan
This study aimed to examine the effects of “adaptive” bedtime routines on a child’s well-being, either d...
Sleep And Biological Rhythms
comment
0
thumb_up
0
Executive dysfunction, negative pre-sleep cognitions, and sleep problems: examining a cyclical model
Sleep is integral to cognitive functioning, and disturbances in sleep patterns can impair cognition. This study investigat...
Sleep And Biological Rhythms
comment
0
thumb_up
0
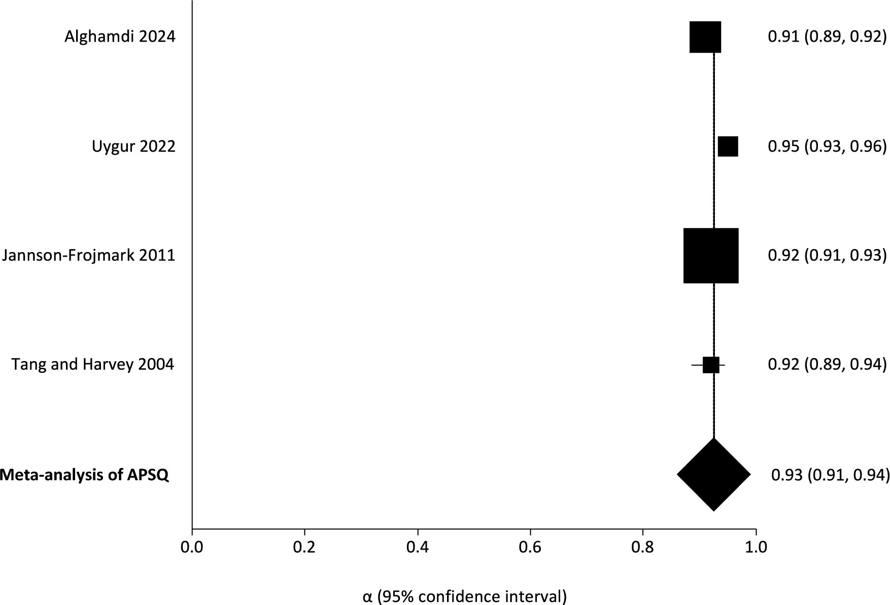
Screening for orthosomnia: a reliability generalization meta-analysis of the Anxiety and Preoccupation about Sleep Questionnaire (APSQ)
This mini-meta-analysis evaluated the internal consistency of the Anxiety and Preoccupation about Sleep Questionnaire (APS...
Sleep And Biological Rhythms
comment
0
thumb_up
0
Association between sleep duration and the risk of hyperhomocysteinemia among adults in the United States: National Health and Nutrition Examination Survey, 2005–2006
The study aimed to discuss the association between sleep duration and the risk of hyperhomocysteinemia (Hhcy). This cross-...
Sleep And Biological Rhythms
comment
0
thumb_up
0
Changes of melatonin secretion in the neuropathic pain induced sleep disorder model rat
Chronic pain due to peripheral neuropathy can lead to sleep disorders that significantly worsen the patient's quality ...
Sleep And Biological Rhythms
comment
0
thumb_up
0
Influence of race and age in sleep duration and mortality relationship among adults in the United States: results from the 2004 NHIS-NDI record linkage study
Limited information exists on age and racial disparities in sleep duration and mortality in the United States (US) populat...
Sleep And Biological Rhythms
comment
0
thumb_up
0
Increased altitudes change sleep status among Chinese population
Sleep is integral to human health. Accumulating evidence has revealed that sleep characteristics could be influenced by al...
Sleep And Biological Rhythms
comment
0
thumb_up
0
Association between daytime sleepiness and quality of life in outpatients with schizophrenia
This study aimed to investigate the prevalence of daytime sleepiness (DS) and its impact on quality of life (QOL) in outpa...
Sleep And Biological Rhythms
comment
0
thumb_up
0
Long-term follow-up of symptom and quality of life changes in patients with narcolepsy during and after the COVID-19 pandemic
The COVID-19 pandemic may have a significant impact on patients with narcolepsy, yet a long-term follow-up study is curren...
Sleep And Biological Rhythms
comment
0
thumb_up
0
Aging and sex are associated with multiple sleep latency test findings and their relationship with self-reported sleepiness
The aim of this study was to assess age- and sex-related differences in multiple sleep latency test (MSLT) results and in ...
Sleep And Biological Rhythms
comment
0
thumb_up
0
Is caregiver sleep quality an important clinical issue?
Sleep quality is directly related to general health and quality of life. Caregivers' sleep disturbances affect not onl...
Sleep And Biological Rhythms
comment
0
thumb_up
0
Processing in the non-dominant hand during sleep: in terms of early, middle-early and late brain responses
The aim was to investigate brain responses to non-painful tactile stimuli applied to the non-dominant hand during sleep. 2...
Sleep And Biological Rhythms
comment
0
thumb_up
0
Unintended consequences: college students’ melatonin usage, sleep disturbance, and depressive symptoms
With such high rates of undergraduate sleep problems, students have chosen to take melatonin, an over-the-counter suppleme...
Sleep And Biological Rhythms
comment
0
thumb_up
0
Load More
Modal title
×
Modal title
×
Share
Login
Global News and Health Forum
Join Now!
Member Login
Remember me
Forgot password?
Or using
Linkedin