×
Close
Sign Up
Login
Home
SCI Abstract
Library D
Events & Partner
WeMed
MDLA Events Platform
Events
Media Partners
Educational Partner
User Tools
FAQ/USER GUIDE
Language
English
中文/ Chinese
French
Português
Español
Arabic
Russian
Contact Us
×
Close
mdla_1
mdla_2
mdla_3
mdla_4
mdla_5
mdla_6
Categories
Pediatrics
21618
Global Medical University
5141
Allergy
1792
Anatomy & Morphology
1584
Andrology
379
Anesthesia & Intensive Care
1300
Anesthesiology
5399
Audiology & Speech-Language Pathology
347
Behavioral Sciences
105
Biochemical Research Methods
7243
Biochemistry & Molecular Biology
30077
Biodiversity Conservation
330
Biology
8515
Biophysics
8292
Biotechnology & Applied Microbiology
8662
Cardiac & Cardiovascular Systems
31125
Cardiovascular & Respiratory Systems
1413
Cell & Tissue Engineering
704
Cell Biology
11182
Chemistry, Analytical
4301
Chemistry, Applied
10948
Chemistry, Medicinal
8755
Chemistry, Multidisciplinary
18521
Clinical Immunology & Infectious Disease
423
Clinical Medicine
8962
Clinical Neurology
16636
Clinical Psychology & Psychiatry
1294
Critical Care Medicine
3163
Dentistry, Oral Surgery & Medicine
13544
Dermatology
7485
Developmental Biology
6954
Ecology
633
Education, Scientific Disciplines
2050
Emergency Medicine
4117
Endocrinology, Metabolism & Nutrition
24622
Engineering, Biomedical
3729
Entomology
489
Environmental Medicine & Public Health
4669
Evolutionary Biology
276
Gastroenterology & Hepatology
12236
General & Internal Medicine
7013
Genetics & Heredity
15196
Geriatrics & Gerontology
5075
Gerontology
382
Health Care Sciences & Services
16165
Health Policy & Services
604
Hematology
5578
Immunology
24850
Infectious Diseases
14017
Integrative & Complementary Medicine
2943
Medical Ethics
1239
Medical Informatics
2232
Medical Laboratory Technology
419
Medicine, General & Internal
44379
Medicine, Legal
532
Medicine, Research & Experimental
17792
Microbiology
23387
Mycology
0
Nanoscience & Nanotechnology
5388
Neuroimaging
1365
Neurology
4562
Neurosciences
39861
Nursing
9787
Nutrition & Dietetics
7849
Obstetrics & Gynecology
8277
Oncology
52506
Ophthalmology
9749
Optics
4279
Orthopedics
11803
Orthopedics, Rehabilitation & Sports Medicine
1828
Otolaryngology
1583
Otorhinolaryngology
4894
Parasitology
1167
Pathology
5148
Peripheral Vascular Disease
4767
Pharmacology & Pharmacy
35500
Pharmacology/Toxicology
12212
Physiology
8922
Polymer Science
542
Primary Health Care
837
Psychiatry
19132
Psychology
5240
Psychology, Applied
111
Psychology, Biological
390
Psychology, Clinical
811
Psychology, Developmental
273
Psychology, Educational
164
Psychology, Experimental
171
Psychology, Mathematical
0
Psychology, Multidisciplinary
1694
Psychology, Psychoanalysis
30
Psychology, Social
131
Public Health & Health Care Science
2225
Public, Environmental & Occupational Health
27291
Quantum Science & Technology
0
Radiology, Nuclear Medicine & Imaging
12500
Radiology, Nuclear Medicine & Medical Imaging
8264
Rehabilitation
3074
Remote Sensing
0
Reproductive Biology
2872
Reproductive Medicine
1212
Research/Laboratory Medicine & Medical Technology
4029
Respiratory System
7421
Rheumatology
6029
Social Sciences, Biomedical
1178
Substance Abuse
2771
Surgery
33948
Toxicology
4445
Transplantation
938
Tropical Medicine
300
Urology & Nephrology
12890
Veterinary Sciences
35
Virology
2551
Zoology
0
Channels
EGYPTIAN PEDIATRIC ASSOCIATION GAZETTE
169
Archives of Disease in Childhood Education & Practice
298
NEJM Pediatrics
7
Medrxiv - Pediatrics
615
ARCHIVES OF DISEASE IN CHILDHOOD
633
ARCHIVES OF DISEASE IN CHILDHOOD-FETAL AND NEONATAL EDITION
330
DEVELOPMENTAL MEDICINE AND CHILD NEUROLOGY
193
EUROPEAN CHILD & ADOLESCENT PSYCHIATRY
641
JAMA PEDIATRICS
80
JOURNAL OF PEDIATRICS
44
JOURNAL OF THE AMERICAN ACADEMY OF CHILD AND ADOLESCENT PSYCHIATRY
17
LANCET CHILD & ADOLESCENT HEALTH
0
PEDIATRIC OBESITY
74
SEMINARS IN FETAL & NEONATAL MEDICINE
0
ACADEMIC PEDIATRICS
768
ACTA PAEDIATRICA
350
CHILD AND ADOLESCENT MENTAL HEALTH
60
CHILD AND ADOLESCENT PSYCHIATRY AND MENTAL HEALTH
295
CHILD CARE HEALTH AND DEVELOPMENT
78
CURRENT OPINION IN PEDIATRICS
92
EUROPEAN JOURNAL OF PAEDIATRIC NEUROLOGY
0
EUROPEAN JOURNAL OF PEDIATRIC SURGERY
225
FRONTIERS IN PEDIATRICS
4464
HORMONE RESEARCH IN PAEDIATRICS
215
INTERNATIONAL BREASTFEEDING JOURNAL
223
INTERNATIONAL JOURNAL OF PAEDIATRIC DENTISTRY
152
INTERNATIONAL JOURNAL OF PEDIATRIC OTORHINOLARYNGOLOGY
0
ITALIAN JOURNAL OF PEDIATRICS
438
JOURNAL OF DEVELOPMENTAL AND BEHAVIORAL PEDIATRICS
64
JOURNAL OF PAEDIATRICS AND CHILD HEALTH
333
JOURNAL OF PEDIATRIC AND ADOLESCENT GYNECOLOGY
440
JOURNAL OF PERINATOLOGY
700
NEONATOLOGY
192
NEUROPEDIATRICS
252
PEDIATRIC AND DEVELOPMENTAL PATHOLOGY
51
PEDIATRIC ANESTHESIA
182
PEDIATRIC CRITICAL CARE MEDICINE
243
PEDIATRIC DERMATOLOGY
244
PEDIATRIC NEUROSURGERY
117
PEDIATRIC PULMONOLOGY
340
PEDIATRIC RESEARCH
1168
PEDIATRICS AND NEONATOLOGY
0
PEDIATRICS INTERNATIONAL
343
SEMINARS IN PERINATOLOGY
278
IRANIAN JOURNAL OF PEDIATRICS
24
JOURNAL OF PEDIATRIC HEALTH CARE
16
JOURNAL OF PEDIATRIC SURGERY
19
AJP REPORTS
121
ANNALS OF PEDIATRIC SURGERY
172
CLINICAL MEDICINE INSIGHTS-PEDIATRICS
12
CURRENT PEDIATRIC REVIEWS
25
GLOBAL PEDIATRIC HEALTH
78
INTERNATIONAL JOURNAL OF CHILD HEALTH AND NUTRITION
69
INTERNATIONAL JOURNAL OF PEDIATRICS-MASHHAD
511
IRANIAN JOURNAL OF NEONATOLOGY
200
JOURNAL OF CHILD SCIENCE
111
JOURNAL OF CLINICAL NEONATOLOGY
12
JOURNAL OF PEDIATRIC AND NEONATAL INDIVIDUALIZED MEDICINE
155
JOURNAL OF PEDIATRIC EPILEPSY
64
JOURNAL OF PEDIATRIC INTENSIVE CARE
193
JOURNAL OF PEDIATRIC NEUROLOGY
209
JOURNAL OF PEDIATRICS REVIEW
5
PAEDIATRICA INDONESIANA
204
PEDIATRIC REPORTS
8
EUROPEAN JOURNAL OF PEDIATRICS
1058
INDIAN JOURNAL OF PEDIATRICS
751
INDIAN PEDIATRICS
517
PEDIATRIC CARDIOLOGY
553
PEDIATRIC NEPHROLOGY
743
WORLD JOURNAL OF PEDIATRICS
380
SCI Abstract
search
ALL
RECOMMENDED
+
Effect of concomitant use of hypertonic saline injection with anal cerclage for treatment of idiopathic partial rectal prolapse in children: a double hit therapy
Idiopathic rectal prolapse is one of the most common conditions that can affect infants and young children. It is a self l...
Egyptian Pediatric Association Gazette
comment
0
thumb_up
0
Effect of omega-3 supplementation on nutritional status and oxidative stress in children and adolescents with end stage renal disease on regular hemodialysis: a randomized clinical trial
Omega-3 improves oxidative stress in pediatric end-stage renal disease patients. This study assessed omega-3 supplementati...
Egyptian Pediatric Association Gazette
comment
0
thumb_up
0
Clinical profile of children attending the pediatric nephrology outpatient clinic: a cross section study
The pattern of childhood kidney disease is variable and differs from one region to another. We aimed to identify the clini...
Egyptian Pediatric Association Gazette
comment
0
thumb_up
0
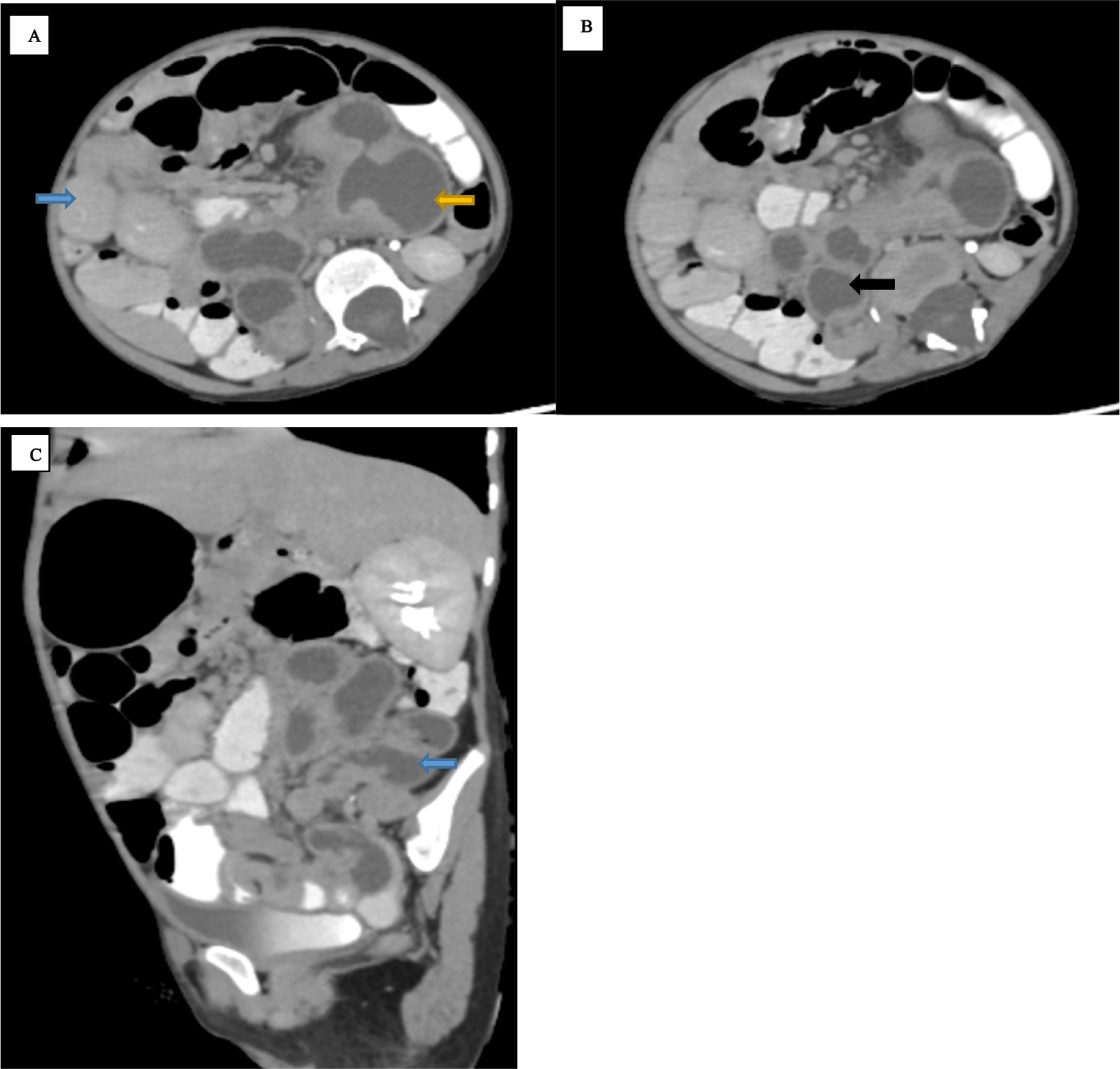
Case report: a rare cause of chronic abdominal pain and failure to thrive in a child — extensive gastrointestinal tract duplication cyst
Gastrointestinal tract duplication cyst is a rare congenital anomaly and can occur anywhere along the alimentary tract. Cl...
Egyptian Pediatric Association Gazette
comment
0
thumb_up
0
Assessment of gastrointestinal symptoms in neurologically impaired children with PEG using peptide versus casein based formulae
Nutritional interventions are a key strategy for sustaining general health in children with neurological impairment. Whey-...
Egyptian Pediatric Association Gazette
comment
0
thumb_up
0
Corneal and lens densitometry evaluation with Pentacam HR in children and adolescents with beta thalassemia major: a case–control study
Beta thalassemia major is an inherited blood disorder due to a mutation of the β globin chain gene. Ocular complicati...
Egyptian Pediatric Association Gazette
comment
0
thumb_up
0
Congenital rubella syndrome and its protean manifestation in Nigeria
Congenital rubella syndrome (CRS) arises from intrauterine infections with the rubella virus especially during the first t...
Egyptian Pediatric Association Gazette
comment
0
thumb_up
0
Fever of unknown origin in pediatrics: causes and clinical characteristics in a single centre experience
Fever of unknown origin (FUO) is a common condition worldwide in children that remains a diagnostic challenge. The causes ...
Egyptian Pediatric Association Gazette
comment
0
thumb_up
0
Prevalence and CCR3-T51C genotype–phenotype correlation of bronchial asthma among basic education school children: an observational study
Bronchial asthma (BA) is a chronic inflammatory disorder identified by different endotypes and phenotypes. Chemokine recep...
Egyptian Pediatric Association Gazette
comment
0
thumb_up
0
Egyptian paediatric kidney transplantation pre-transplant guidance highlights on donor and recipient assessment (R. N. 364)
Kidney transplantation for chronic kidney disease (CKD) in children is the best treatment option. It needs special medical...
Egyptian Pediatric Association Gazette
comment
0
thumb_up
0
Posterior reversible encephalopathy syndrome in a known case of beta-thalassemia major after blood transfusion: a case presentation
Posterior reversible encephalopathy syndrome (PRES) is a neurotoxic condition associated with a distinctive brain imaging ...
Egyptian Pediatric Association Gazette
comment
0
thumb_up
0
Platelet indices as a predictive marker in neonates with respiratory distress
The neonatal intensive care unit (NICU) frequently gets admissions due to respiratory distress (RD). Platelet indices are ...
Egyptian Pediatric Association Gazette
comment
0
thumb_up
0
Management of uretero-colonic fistulas and ureteral injuries: a comprehensive surgical and endoscopic approach
Pediatric ureteral injuries can arise from trauma or surgical procedures, and urinary-enteral fistulas, although rare, are...
Egyptian Pediatric Association Gazette
comment
0
thumb_up
0
Accuracy of ultrasonography in predicting contralateral patent processus vaginalis compared with laparoscopic findings in children
The study aims to evaluate the usefulness of preoperative ultrasonography (US) at the internal inguinal ring level in pred...
Egyptian Pediatric Association Gazette
comment
0
thumb_up
0
Preoperative evaluation of the persistent urogenital sinus in cases with congenital adrenal hyperplasia
Congenital adrenal hyperplasia (CAH) is a common cause of urogenital sinus (UGS) anomalies. Delineating the abnormal anato...
Egyptian Pediatric Association Gazette
comment
0
thumb_up
0
Spontaneous ping-pong fracture in a full-term neonate—a case report
Non-traumatic depressed skull fracture in a neonate delivered by cesarean section is a rare phenomenon. The incidence repo...
Egyptian Pediatric Association Gazette
comment
0
thumb_up
0
SARS-CoV-2 induced urinary tract infection in an infant: a rare case
The incidence of SARS-CoV-2 infection in pediatric population is less than 7% that too when associated with a urinary trac...
Egyptian Pediatric Association Gazette
comment
0
thumb_up
0
Vascular access modalities in a pediatric intensive care unit in tertiary hospital indications and outcomes: a single-center cross-sectional study
Vascular access is a mainstay of pediatric critical care. The selection of the route of access and equipment used will dep...
Egyptian Pediatric Association Gazette
comment
0
thumb_up
0
Paediatric parenchymal neurocysticercosis with pleomorphic clinico-radiological presentations: a case series
Neurocysticercosis (NCC) is thought to be the most common helminthic infection of central nervous system in India. In chil...
Egyptian Pediatric Association Gazette
comment
0
thumb_up
0
Tenascin-C: as a diagnostic biomarker for rheumatic heart disease
Rheumatic fever is a long-term inflammatory disease that can happen if group A beta-hemolytic streptococci bacteria are no...
Egyptian Pediatric Association Gazette
comment
0
thumb_up
0
Tissue Doppler vs. conventional parameters for diagnosis of tamponading pericardial effusion: a cross-sectional study in tertiary referral center
Conventional signs of tamponade include right ventricular and atrial collapse and respiratory variation in mitral inflow v...
Egyptian Pediatric Association Gazette
comment
0
thumb_up
0
Intention to vaccinate chronic disease children against COVID-19; a multicenter survey
Vaccination against severe acute respiratory distress syndrome coronavirus 2 (SARS-CoV-2) has gained recognition as a cruc...
Egyptian Pediatric Association Gazette
comment
0
thumb_up
0
Unusual presentation of systemic lupus erythematosus in a male child: a case presentation
Systemic lupus erythematosus is an autoimmune connective tissue disorder that is common among women of age group 15–...
Egyptian Pediatric Association Gazette
comment
0
thumb_up
0
Role of Montelukast in modulation of response to sepsis in preterm infants: a randomized-controlled trial
Since inflammatory mediators play a crucial role in the pathophysiology of neonatal sepsis. Montelukast, as an anti-inflam...
Egyptian Pediatric Association Gazette
comment
0
thumb_up
0
Clinico-laboratory outcomes of plasma transfusion in the Egyptian’s pediatric intensive care units—a prospective observational study
Despite the paucity of data supporting their indications, plasma transfusions (PT) are regularly administered for critical...
Egyptian Pediatric Association Gazette
comment
0
thumb_up
0
A rare presentation of measles and post-measles complications in a neonate: case report
Measles is a common infection in children. Measles infection in children less than 6 months of age is very rare s...
Egyptian Pediatric Association Gazette
comment
0
thumb_up
0
Clinical features and therapeutic approaches of genital lichen sclerosus in children: results of an observational monocentric study
Lichen sclerosus is a chronic, progressive, inflammatory skin disease that presents unique challenges, particularly in the...
Egyptian Pediatric Association Gazette
comment
0
thumb_up
0
Lymphatic malformations: a 9-year experience at the vascular anomaly clinic
To share our experience in the management of a specific type of vascular malformations (lymphatic) at a specialized multid...
Egyptian Pediatric Association Gazette
comment
0
thumb_up
0
Population knowledge and commitment regarding a child’s car safety seat after implementation of the new traffic regulations in Saudi Arabia: a cross-sectional study
This study aimed to evaluate the understanding and adherence to child car safety seat (CSS) guidelines among the general p...
Egyptian Pediatric Association Gazette
comment
0
thumb_up
0
Predictors of persistent asthma among preschooler wheezers: a retrospective case series study
Early childhood wheezing can evolve to different asthma phenotypes. Prediction of persistent asthma during the preschool y...
Egyptian Pediatric Association Gazette
comment
0
thumb_up
0
Load More
Modal title
×
Modal title
×
Share
Login
Global News and Health Forum
Join Now!
Member Login
Remember me
Forgot password?
Or using
Linkedin