×
Close
Sign Up
Login
Home
SCI Abstract
Library D
Events & Partner
WeMed
MDLA Events Platform
Events
Media Partners
Educational Partner
User Tools
FAQ/USER GUIDE
Language
English
中文/ Chinese
French
Português
Español
Arabic
Russian
Contact Us
×
Close
mdla_1
mdla_2
mdla_3
mdla_4
mdla_5
mdla_6
Categories
Dentistry, Oral Surgery & Medicine
13544
Global Medical University
5141
Allergy
1792
Anatomy & Morphology
1584
Andrology
379
Anesthesia & Intensive Care
1300
Anesthesiology
5399
Audiology & Speech-Language Pathology
347
Behavioral Sciences
105
Biochemical Research Methods
7248
Biochemistry & Molecular Biology
30077
Biodiversity Conservation
330
Biology
8515
Biophysics
8297
Biotechnology & Applied Microbiology
8663
Cardiac & Cardiovascular Systems
31125
Cardiovascular & Respiratory Systems
1413
Cell & Tissue Engineering
704
Cell Biology
11182
Chemistry, Analytical
4301
Chemistry, Applied
10962
Chemistry, Medicinal
8755
Chemistry, Multidisciplinary
18521
Clinical Immunology & Infectious Disease
423
Clinical Medicine
8963
Clinical Neurology
16636
Clinical Psychology & Psychiatry
1294
Critical Care Medicine
3163
Dermatology
7485
Developmental Biology
6954
Ecology
633
Education, Scientific Disciplines
2050
Emergency Medicine
4120
Endocrinology, Metabolism & Nutrition
24626
Engineering, Biomedical
3729
Entomology
489
Environmental Medicine & Public Health
4669
Evolutionary Biology
276
Gastroenterology & Hepatology
12247
General & Internal Medicine
6993
Genetics & Heredity
15197
Geriatrics & Gerontology
5075
Gerontology
382
Health Care Sciences & Services
16168
Health Policy & Services
604
Hematology
5578
Immunology
24852
Infectious Diseases
14018
Integrative & Complementary Medicine
2943
Medical Ethics
1239
Medical Informatics
2232
Medical Laboratory Technology
419
Medicine, General & Internal
44379
Medicine, Legal
532
Medicine, Research & Experimental
17793
Microbiology
23388
Mycology
0
Nanoscience & Nanotechnology
5368
Neuroimaging
1366
Neurology
4562
Neurosciences
39862
Nursing
9787
Nutrition & Dietetics
7849
Obstetrics & Gynecology
8278
Oncology
52499
Ophthalmology
9752
Optics
4279
Orthopedics
11803
Orthopedics, Rehabilitation & Sports Medicine
1828
Otolaryngology
1584
Otorhinolaryngology
4894
Parasitology
1167
Pathology
5149
Pediatrics
21618
Peripheral Vascular Disease
4767
Pharmacology & Pharmacy
35501
Pharmacology/Toxicology
12212
Physiology
8922
Polymer Science
542
Primary Health Care
837
Psychiatry
19134
Psychology
5240
Psychology, Applied
111
Psychology, Biological
390
Psychology, Clinical
811
Psychology, Developmental
273
Psychology, Educational
164
Psychology, Experimental
171
Psychology, Mathematical
0
Psychology, Multidisciplinary
1694
Psychology, Psychoanalysis
30
Psychology, Social
131
Public Health & Health Care Science
2225
Public, Environmental & Occupational Health
27292
Quantum Science & Technology
0
Radiology, Nuclear Medicine & Imaging
12500
Radiology, Nuclear Medicine & Medical Imaging
8264
Rehabilitation
3076
Remote Sensing
0
Reproductive Biology
2872
Reproductive Medicine
1212
Research/Laboratory Medicine & Medical Technology
4029
Respiratory System
7421
Rheumatology
6031
Social Sciences, Biomedical
1178
Substance Abuse
2771
Surgery
33928
Toxicology
4445
Transplantation
938
Tropical Medicine
300
Urology & Nephrology
12873
Veterinary Sciences
35
Virology
2554
Zoology
0
Channels
ORAL AND MAXILLOFACIAL SURGERY-HEIDELBERG
311
Journal of Maxillofacial and Oral Surgery
511
Medrxiv - Dentistry And Oral Medicine Medrxiv
179
CLINICAL IMPLANT DENTISTRY AND RELATED RESEARCH
44
DENTAL MATERIALS
516
INTERNATIONAL ENDODONTIC JOURNAL
130
JOURNAL OF CLINICAL PERIODONTOLOGY
111
JOURNAL OF DENTAL RESEARCH
99
JOURNAL OF DENTAL SCIENCES
776
JOURNAL OF DENTISTRY
748
ORAL ONCOLOGY
0
PERIODONTOLOGY 2000
21
ARCHIVES OF ORAL BIOLOGY
523
AUSTRALIAN DENTAL JOURNAL
47
AUSTRALIAN ENDODONTIC JOURNAL
107
BMC ORAL HEALTH
1320
BRAZILIAN ORAL RESEARCH
0
BRITISH DENTAL JOURNAL
623
CARIES RESEARCH
95
DENTAL TRAUMATOLOGY
44
EUROPEAN JOURNAL OF DENTAL EDUCATION
117
EUROPEAN JOURNAL OF ORAL SCIENCES
42
HEAD & FACE MEDICINE
146
INTERNATIONAL DENTAL JOURNAL
20
INTERNATIONAL JOURNAL OF DENTAL HYGIENE
70
INTERNATIONAL JOURNAL OF ORAL SCIENCE
166
JOURNAL OF ADHESIVE DENTISTRY
95
JOURNAL OF APPLIED ORAL SCIENCE
0
JOURNAL OF DENTAL EDUCATION
274
JOURNAL OF ESTHETIC AND RESTORATIVE DENTISTRY
104
JOURNAL OF ORAL PATHOLOGY & MEDICINE
83
JOURNAL OF ORAL REHABILITATION
105
JOURNAL OF PERIODONTAL RESEARCH
75
JOURNAL OF PERIODONTOLOGY
230
JOURNAL OF PROSTHETIC DENTISTRY
1066
JOURNAL OF PROSTHODONTIC RESEARCH
0
JOURNAL OF PROSTHODONTICS-IMPLANT ESTHETIC AND RECONSTRUCTIVE DENTISTRY
121
JOURNAL OF PUBLIC HEALTH DENTISTRY
35
JOURNAL OF THE CANADIAN DENTAL ASSOCIATION
55
MOLECULAR ORAL MICROBIOLOGY
17
ORAL DISEASES
275
ORAL HEALTH & PREVENTIVE DENTISTRY
96
ORTHODONTICS & CRANIOFACIAL RESEARCH
105
INTERNATIONAL JOURNAL OF ORAL AND MAXILLOFACIAL SURGERY
29
JOURNAL OF CRANIO-MAXILLOFACIAL SURGERY
409
JOURNAL OF EVIDENCE-BASED DENTAL PRACTICE
275
JOURNAL OF ORAL AND MAXILLOFACIAL SURGERY
29
JOURNAL OF THE AMERICAN DENTAL ASSOCIATION
17
SAUDI DENTAL JOURNAL
460
ROMANIAN JOURNAL OF ORAL REHABILITATION
127
APOS TRENDS IN ORTHODONTICS
149
CLINICAL ADVANCES IN PERIODONTICS
46
CLINICAL AND EXPERIMENTAL DENTAL RESEARCH
106
CONTEMPORARY CLINICAL DENTISTRY
20
CRANIOMAXILLOFACIAL TRAUMA & RECONSTRUCTION
29
DENTAL HYPOTHESES
89
DENTISTRY JOURNAL
284
EUROPEAN ARCHIVES OF PAEDIATRIC DENTISTRY
277
INTERNATIONAL JOURNAL OF ESTHETIC DENTISTRY
85
INTERNATIONAL JOURNAL OF MEDICAL DENTISTRY
223
JDR CLINICAL & TRANSLATIONAL RESEARCH
26
JOURNAL OF DENTISTRY INDONESIA
133
JOURNAL OF INDIAN PROSTHODONTIC SOCIETY
13
JOURNAL OF INTERNATIONAL SOCIETY OF PREVENTIVE AND COMMUNITY DENTISTRY
120
JOURNAL OF MAXILLOFACIAL & ORAL SURGERY
44
JOURNAL OF ORTHODONTICS
41
JOURNAL OF OSSEOINTEGRATION
75
MAXILLOFACIAL PLASTIC AND RECONSTRUCTIVE SURGERY
127
ODOVTOS INTERNATIONAL JOURNAL OF DENTAL SCIENCES
74
OPEN DENTISTRY JOURNAL
20
INTERNATIONAL JOURNAL OF IMPLANT DENTISTRY
164
ODONTOLOGY
273
ORAL RADIOLOGY
258
INTERNATIONAL JOURNAL OF STOMATOLOGY & OCCLUSION MEDICINE
20
SCI Abstract
search
ALL
RECOMMENDED
+
Assessment of recovery in maxillofacial surgical patients undergoing intravenous conscious sedation using PSI monitoring
It aims to assess the use of the PSI monitor in monitoring sedation depth during oral surgeries. It seeks to determine whe...
Oral And Maxillofacial Surgery-heidelberg
comment
0
thumb_up
0
Evaluation of the effect of nano-hydroxyapatite/silica gel bone graft and/or hemodialysate paste on the regeneration and nano-mechanical properties of calvarial bone in gammairradiated albino rats
Evaluating the effect of synthetic nano-hydroxyapatite/silica gel bone substitute and/or hemodialysate on gamma irradiated...
Oral And Maxillofacial Surgery-heidelberg
comment
0
thumb_up
0
Free chimeric LD + SA flap for tongue and suprahyoid muscles reconstruction after total glossectomy
This study aimed to report the functional outcomes of patients who underwent total or near total glossectomy for oral SCC ...
Oral And Maxillofacial Surgery-heidelberg
comment
0
thumb_up
0
Can acupuncture be a viable method for pain control after lower third molar removal? A systematic review with meta-analysis
Surgery to remove lower third molars is usually associated with events such as pain, swelling and trismus, thus increasing...
Oral And Maxillofacial Surgery-heidelberg
comment
0
thumb_up
0
Does the operator’s generational cohort influence the accuracy of orthodontic miniscrews insertion in the palatine vault in dynamic computer-guided surgery? A randomized prospective study
This study aimed to evaluate intergenerational differences in miniscrew placement accuracy in the palatine vault using dyn...
Oral And Maxillofacial Surgery-heidelberg
comment
0
thumb_up
0
Conservative management of pediatric mandibular fractures with cap splints- A systematic review
Mandible is the second most common bone involved among pediatric facial fractures, and the open reduction and internal fix...
Oral And Maxillofacial Surgery-heidelberg
comment
0
thumb_up
0
Pain control and adverse effects of parecoxib after wisdom teeth surgery: a quantitative systematic review
The objective of this systematic review was to determine the analgesic efficacy and safety profile of parecoxib in oral su...
Oral And Maxillofacial Surgery-heidelberg
comment
0
thumb_up
0
Does Kinesio taping and/or transdermal diclofenac patch reduce postoperative pain and swelling after open reduction and internal fixation of mandibular angle fractures?
Postoperative pain and facial swelling are frequent complications following open reduction and internal fixation (ORIF) of...
Oral And Maxillofacial Surgery-heidelberg
comment
0
thumb_up
0
Risk factors for delayed-onset infection after lower third molar surgery: a retrospective case-control study
Delayed-onset infection (DOI) is an uncommon postoperative complication of lower third molar surgery, typically occurring ...
Oral And Maxillofacial Surgery-heidelberg
comment
0
thumb_up
0
Evaluation of local and systemic photobiomodulation in only single-implant insertion: a randomized clinical trial
To evaluate the effects of local and systemic photobiomodulation (PBM-T) after dental surgery for single-tooth implant pla...
Oral And Maxillofacial Surgery-heidelberg
comment
0
thumb_up
0
Adjunctive use of posaconazole, hyperbaric oxygen therapy, and methylene blue for COVID-19-associated mucormycosis
The study aimed to assess the cumulative role of oral posaconazole, post-debridement Hyperbaric Oxygen (HBO) therapy, alon...
Oral And Maxillofacial Surgery-heidelberg
comment
0
thumb_up
0
Finite element analysis of stress distribution in sagittal split Ramus osteotomy: the influence of impacted third molars
This study aims to evaluate the effect of impacted third molars in different positions on stress distribution in the proxi...
Oral And Maxillofacial Surgery-heidelberg
comment
0
thumb_up
0
Utilising remote imaging consultation for the early detection of oral cancer: a case series and pilot study
We have been offering ‘remote imaging consultations’ to local dental clinics via a mail-form service as diagno...
Oral And Maxillofacial Surgery-heidelberg
comment
0
thumb_up
0
Global trends in the microbial profile of odontogenic infections and its practical implications: A 70-year narrative review
Odontogenic infections represent a significant clinical challenge in maxillofacial surgery due to their potential for rapi...
Oral And Maxillofacial Surgery-heidelberg
comment
0
thumb_up
0
Advancing precision in bilateral sagittal split osteotomy: a pioneering perspective on minimizing inferior alveolar nerve injury through endoscopic visualization
Minimal invasive surgical procedures are popularized in various surgical fields, the utilization of endoscopic assisted te...
Oral And Maxillofacial Surgery-heidelberg
comment
0
thumb_up
0
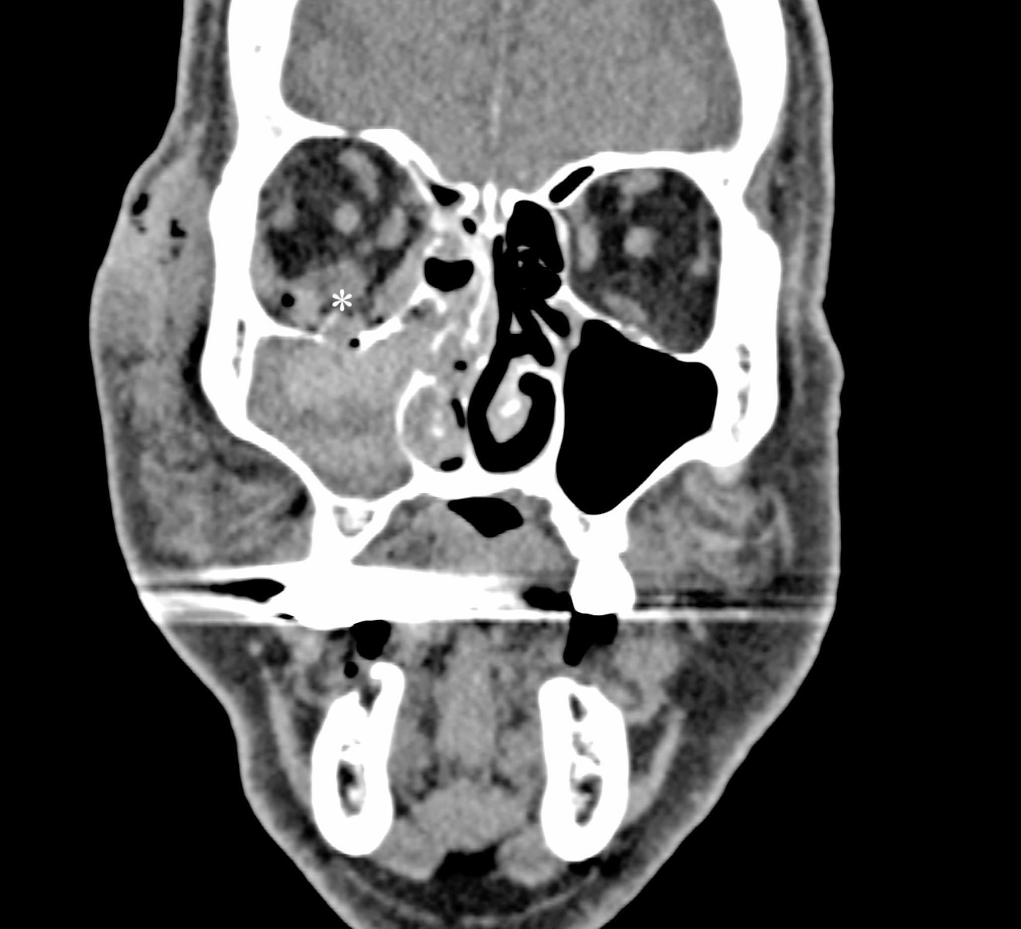
Occurrence and outcomes of retrobulbar haematoma in 2149 orbital fracture patients
We identified the occurrence of acute retrobulbar haematoma (RBH) across a complete range of orbital fractures and determi...
Oral And Maxillofacial Surgery-heidelberg
comment
0
thumb_up
0
Fractal analysis of the mandibular ramus in class II and III patients undergoing orthognathic surgery: retrospective study trough cone-beam computed tomography
One of the challenges of orthognathic surgery (OS) is maintaining condylar position during osteosynthesis. It is believed ...
Oral And Maxillofacial Surgery-heidelberg
comment
0
thumb_up
0
The Tumor Risk Score (TRS) – next level risk prediction in head and neck tumor surgery
Head and neck cancer surgery often requires postoperative monitoring in an intensive care unit (ICU) or intermediate care ...
Oral And Maxillofacial Surgery-heidelberg
comment
0
thumb_up
0
Peripherally induced movement disorders in the stomatognathic system after oral surgical or dental procedures
Peripherally induced movement disorders (PIMD) are hyperkinetic movement disorders that can occur after injury to a part o...
Oral And Maxillofacial Surgery-heidelberg
comment
0
thumb_up
0
Analysis of Gillies Temporal Approach vs Towel Clip Method for Reduction of Zygoma Fractures
The purpose of this study was to analyse Gillies Temporal approach Vs Towel Clip method for reduction of zygoma fractures....
Oral And Maxillofacial Surgery-heidelberg
comment
0
thumb_up
0
Clinical results of two different three-dimensional plate types for the treatment of mandibular angle fractures: a retrospective analysis
The purpose of this study was to compare two different designs of three-dimensional osteosynthesis plates for their suitab...
Oral And Maxillofacial Surgery-heidelberg
comment
0
thumb_up
0
Analysing inflammatory responses after mandibular third molar extraction: a comparison of suture-less and multiple suture techniques
This study aims to compare the outcomes of suture-less and multiple suture closure methods on postoperative pain, swelling...
Oral And Maxillofacial Surgery-heidelberg
comment
0
thumb_up
0
Obturator prostheses with intramucosal retention system in patients with maxillectomy
To evaluate the intramucosal retention system in patients' masticatory efficiency and quality of life in this case ser...
Oral And Maxillofacial Surgery-heidelberg
comment
0
thumb_up
0
Prevalence of accessory mental foramen and lateral lingual foramen using cone beam computed tomography: A single-center cross-sectional study
This study aimed to assess the prevalence, dimensions, and positions of accessory mental foramen (AMF) and lateral lingual...
Oral And Maxillofacial Surgery-heidelberg
comment
0
thumb_up
0
Management and recurrence of the odontogenic keratocyst: an overview of systematic reviews
An extensive literature search among six eletronic databases and Grey Literature was used to identify systematic reviews (...
Oral And Maxillofacial Surgery-heidelberg
comment
0
thumb_up
0
Concordance of clinician, Chat-GPT4, and ORAD diagnoses against histopathology in Odontogenic Keratocysts and tumours: a 15-Year New Zealand retrospective study
This research aimed to investigate the concordance between clinical impressions and histopathologic diagnoses made by clin...
Oral And Maxillofacial Surgery-heidelberg
comment
0
thumb_up
0
The adjunctive use of Leukocyte-Platelet Rich Fibrin (L-PRF) in the management of Medication Related Osteonecrosis of the Jaw (MRONJ): a retrospective observational study
Medication related osteonecrosis of the jaw (MRONJ) is a risk for patients taking anti-resorptive or anti-angiogenic medic...
Oral And Maxillofacial Surgery-heidelberg
comment
0
thumb_up
0
Comparison of the effect of dexamethasone, ketoprofen and cold compress on postoperative quality of life following impacted lower third molar surgery: a randomized clinical trial
To evaluate and compare the effect of dexamethasone, ketoprofen and cold compress on the quality of life (QoL) following s...
Oral And Maxillofacial Surgery-heidelberg
comment
0
thumb_up
0
Sublingual varices as predictor of factors associated with cardiovascular diseases: A systematic review with meta-analysis
Sublingual varicose veins are variations of normality that appear more prominent during aging. The systematic review aim t...
Oral And Maxillofacial Surgery-heidelberg
comment
0
thumb_up
0
Socket preservation following tooth extraction: an experimental study comparing β-Tricalcium phosphate and F18 bioglass in rats
To evaluate the efficacy of two third-generation resorbable biomaterials—F18 bioglass and β-tricalcium phosphat...
Oral And Maxillofacial Surgery-heidelberg
comment
0
thumb_up
0
Load More
Modal title
×
Modal title
×
Share
Login
Global News and Health Forum
Join Now!
Member Login
Remember me
Forgot password?
Or using
Linkedin