×
Close
Sign Up
Login
Home
SCI Abstract
Library D
Events & Partner
WeMed
MDLA Events Platform
Events
Media Partners
Educational Partner
User Tools
FAQ/USER GUIDE
Language
English
中文/ Chinese
French
Português
Español
Arabic
Russian
Contact Us
×
Close
mdla_1
mdla_2
mdla_3
mdla_4
mdla_5
mdla_6
Categories
Virology
2551
Global Medical University
5141
Allergy
1792
Anatomy & Morphology
1584
Andrology
379
Anesthesia & Intensive Care
1300
Anesthesiology
5399
Audiology & Speech-Language Pathology
347
Behavioral Sciences
105
Biochemical Research Methods
7243
Biochemistry & Molecular Biology
30077
Biodiversity Conservation
330
Biology
8515
Biophysics
8292
Biotechnology & Applied Microbiology
8662
Cardiac & Cardiovascular Systems
31125
Cardiovascular & Respiratory Systems
1413
Cell & Tissue Engineering
704
Cell Biology
11182
Chemistry, Analytical
4301
Chemistry, Applied
10948
Chemistry, Medicinal
8755
Chemistry, Multidisciplinary
18521
Clinical Immunology & Infectious Disease
423
Clinical Medicine
8962
Clinical Neurology
16636
Clinical Psychology & Psychiatry
1294
Critical Care Medicine
3163
Dentistry, Oral Surgery & Medicine
13544
Dermatology
7485
Developmental Biology
6954
Ecology
633
Education, Scientific Disciplines
2050
Emergency Medicine
4117
Endocrinology, Metabolism & Nutrition
24622
Engineering, Biomedical
3729
Entomology
489
Environmental Medicine & Public Health
4669
Evolutionary Biology
276
Gastroenterology & Hepatology
12236
General & Internal Medicine
7013
Genetics & Heredity
15196
Geriatrics & Gerontology
5075
Gerontology
382
Health Care Sciences & Services
16165
Health Policy & Services
604
Hematology
5578
Immunology
24850
Infectious Diseases
14017
Integrative & Complementary Medicine
2943
Medical Ethics
1239
Medical Informatics
2232
Medical Laboratory Technology
419
Medicine, General & Internal
44379
Medicine, Legal
532
Medicine, Research & Experimental
17792
Microbiology
23387
Mycology
0
Nanoscience & Nanotechnology
5388
Neuroimaging
1365
Neurology
4562
Neurosciences
39861
Nursing
9787
Nutrition & Dietetics
7849
Obstetrics & Gynecology
8277
Oncology
52506
Ophthalmology
9749
Optics
4279
Orthopedics
11803
Orthopedics, Rehabilitation & Sports Medicine
1828
Otolaryngology
1583
Otorhinolaryngology
4894
Parasitology
1167
Pathology
5148
Pediatrics
21618
Peripheral Vascular Disease
4767
Pharmacology & Pharmacy
35500
Pharmacology/Toxicology
12212
Physiology
8922
Polymer Science
542
Primary Health Care
837
Psychiatry
19132
Psychology
5240
Psychology, Applied
111
Psychology, Biological
390
Psychology, Clinical
811
Psychology, Developmental
273
Psychology, Educational
164
Psychology, Experimental
171
Psychology, Mathematical
0
Psychology, Multidisciplinary
1694
Psychology, Psychoanalysis
30
Psychology, Social
131
Public Health & Health Care Science
2225
Public, Environmental & Occupational Health
27291
Quantum Science & Technology
0
Radiology, Nuclear Medicine & Imaging
12500
Radiology, Nuclear Medicine & Medical Imaging
8264
Rehabilitation
3074
Remote Sensing
0
Reproductive Biology
2872
Reproductive Medicine
1212
Research/Laboratory Medicine & Medical Technology
4029
Respiratory System
7421
Rheumatology
6029
Social Sciences, Biomedical
1178
Substance Abuse
2771
Surgery
33948
Toxicology
4445
Transplantation
938
Tropical Medicine
300
Urology & Nephrology
12890
Veterinary Sciences
35
Zoology
0
Channels
JOURNAL OF NEUROVIROLOGY
260
CURRENT OPINION IN VIROLOGY
199
INTERNATIONAL JOURNAL OF MEDICAL MICROBIOLOGY
124
JOURNAL OF CLINICAL VIROLOGY
428
JOURNAL OF VIROLOGY
110
RETROVIROLOGY
85
REVIEWS IN MEDICAL VIROLOGY
103
FUTURE VIROLOGY
27
JOURNAL OF MEDICAL VIROLOGY
538
VIROLOGY
0
VIROLOGY JOURNAL
591
VIRUS RESEARCH
0
TUMOUR VIRUS RESEARCH
86
SCI Abstract
search
ALL
RECOMMENDED
+
Abstracts of the papers presented in the international conference of Indian Virological Society, VIROCON 2024 on “Emerging viruses: pandemic and biosecurity perspectives” held during 11–13 November, 2024 at Defence Research and Development Establishment (DRDE), DRDO, Ministry of Defence, Gwalior, India
Cite this article Abstracts of the papers presented in the international conference of Indian Virological Society, VIROCON...
Journal Of Neurovirology
comment
0
thumb_up
0
Cooperative interactions between neurotrophin receptors and CXCR4 regulate macrophage phenotype and susceptibility to activation by HIV
Neural damage due to inflammatory activation of macrophages and microglia is a consequence of HIV infection that leads to ...
Journal Of Neurovirology
comment
0
thumb_up
0
Regulation of voltage-gated sodium channels by TNF-α during herpes simplex virus latency establishment
During lytic or latent infection of sensory neurons with herpes simplex virus type 1 (HSV-1) there are significant changes...
Journal Of Neurovirology
comment
0
thumb_up
0
Upregulation of microRNAs correlates with downregulation of HERV-K expression in Parkinson’s disease
Human endogenous retroviruses (HERVs) involvement in neurological diseases has been extensively documented, although the e...
Journal Of Neurovirology
comment
0
thumb_up
0
Atypical disseminated herpes zoster infections in patients with demyelinating disease treated with dimethyl fumarate
We report two patients who developed atypical, disseminated herpes zoster infections while on dimethyl fumarate (DMF) trea...
Journal Of Neurovirology
comment
0
thumb_up
0
A systematic analysis of neurologic manifestations of Long COVID in Nigeria
Long COVID, also called post-acute sequelae of SARS-CoV-2 infection (PASC) affects millions of people in the world. The ne...
Journal Of Neurovirology
comment
0
thumb_up
0
Incidence of tick-borne encephalitis (TBE) in the pediatric population at the University Hospitals of Strasbourg (HUS) and characterization of confirmed cases
Tick-borne encephalitis (TBE) is a vector-borne disease caused by the TBE virus (TBEV). Although TBEV infection in childre...
Journal Of Neurovirology
comment
0
thumb_up
0
The incidence of symptomatic CSF viral escape in patients on antiretroviral therapy in western India: a retrospective cohort study
Antiretroviral treatment (ART) effectively suppresses viral loads in both plasma and cerebrospinal fluid (CSF). Patients w...
Journal Of Neurovirology
comment
0
thumb_up
0
Caffeine upregulates SIRT3 expression to ameliorate astrocytes-mediated HIV-1 Tat neurotoxicity via suppression of EGR1 signaling pathway
Caffeine is one of the most popular consumed psychostimulants that mitigates several neurodegenerative diseases. Neverthel...
Journal Of Neurovirology
comment
0
thumb_up
0
Diagnostic value of anti-VZV IgG in neurological diseases among varicella unvaccinated individuals
Varicella zoster virus (VZV) is a neurotropic alphaherpesvirus that causes neurological manifestations either as a complic...
Journal Of Neurovirology
comment
0
thumb_up
0
Limited HIV-associated neuropathologies and lack of immune activation in sub-saharan African individuals with late-stage subtype C HIV-1 infection
Although previous studies have suggested that subtype B HIV-1 proviruses in the brain are associated with physiological ch...
Journal Of Neurovirology
comment
0
thumb_up
0
Induced expression of rabies glycoprotein in the dorsal hippocampus enhances hippocampal dependent memory in a rat model of Alzheimer’s disease
The Rabies virus is a neurotropic virus that manipulates the natural cell death processes of its host to ensure its own su...
Journal Of Neurovirology
comment
0
thumb_up
0
Role of inflammatory cytokine burst in neuro-invasion of Japanese Encephalitis virus infection: an immunotherapeutic approaches
Japanese Encephalitis remains a significant global health concern, contributing to millions of deaths annually worldwide. ...
Journal Of Neurovirology
comment
0
thumb_up
0
Serum mir-142-3p release in children with viral encephalitis and its relationship with nerve injury and inflammatory response
Background: Viral encephalitis (VE) is a common infectious disease of the central nervous system in children. Children wit...
Journal Of Neurovirology
comment
0
thumb_up
0
Differential expression of cellular prion protein (PrPC) in mouse hepatitis virus induced neuroinflammation
The cellular prion protein (PrPC) is an extracellular cell membrane protein. Due to its diversified roles, a definite role...
Journal Of Neurovirology
comment
0
thumb_up
0
CD4 nadir and neurocognitive trajectories in people living with HIV
Human immunodeficiency virus-associated neurocognitive disorders persist in the combination antiretroviral therapy era. CD...
Journal Of Neurovirology
comment
0
thumb_up
0
Suppression of HIV-TAT and cocaine-induced neurotoxicity and inflammation by cell penetrable itaconate esters
HIV-associated neurological disorder (HAND) is a serious complication of HIV infection marked by neurotoxicity induced by ...
Journal Of Neurovirology
comment
0
thumb_up
0
Evaluation of the effects of the Zika Virus-Immunoglobulin G+ complex on murine microglial cells
After the Zika virus (ZIKV) epidemic in Brazil, ZIKV infections were linked to damage to the central nervous system (CNS) ...
Journal Of Neurovirology
comment
0
thumb_up
0
Assessing the immunogenicity of pre-exposure rabies prophylaxis and interchangeability of booster doses in a cohort of high-risk individuals
To assess the immunogenicity, with a focus on the interchangeability of type and route of anti-rabies vaccine, specificall...
Journal Of Neurovirology
comment
0
thumb_up
0
Substance use moderates relationships between apolipoprotein E genotype, hepatitis C, cognition, and depression in Miami Adult Studies on HIV (MASH) participants
The impact of APOE on HIV and HCV disease course, cognition, and memory has been understudied in minoritized populations. ...
Journal Of Neurovirology
comment
0
thumb_up
0
Unusual demyelinating disease in a patient with HIV infection
Demyelinating central nervous system (CNS) disorders are a diverse group of conditions characterised by damage to the myel...
Journal Of Neurovirology
comment
0
thumb_up
0
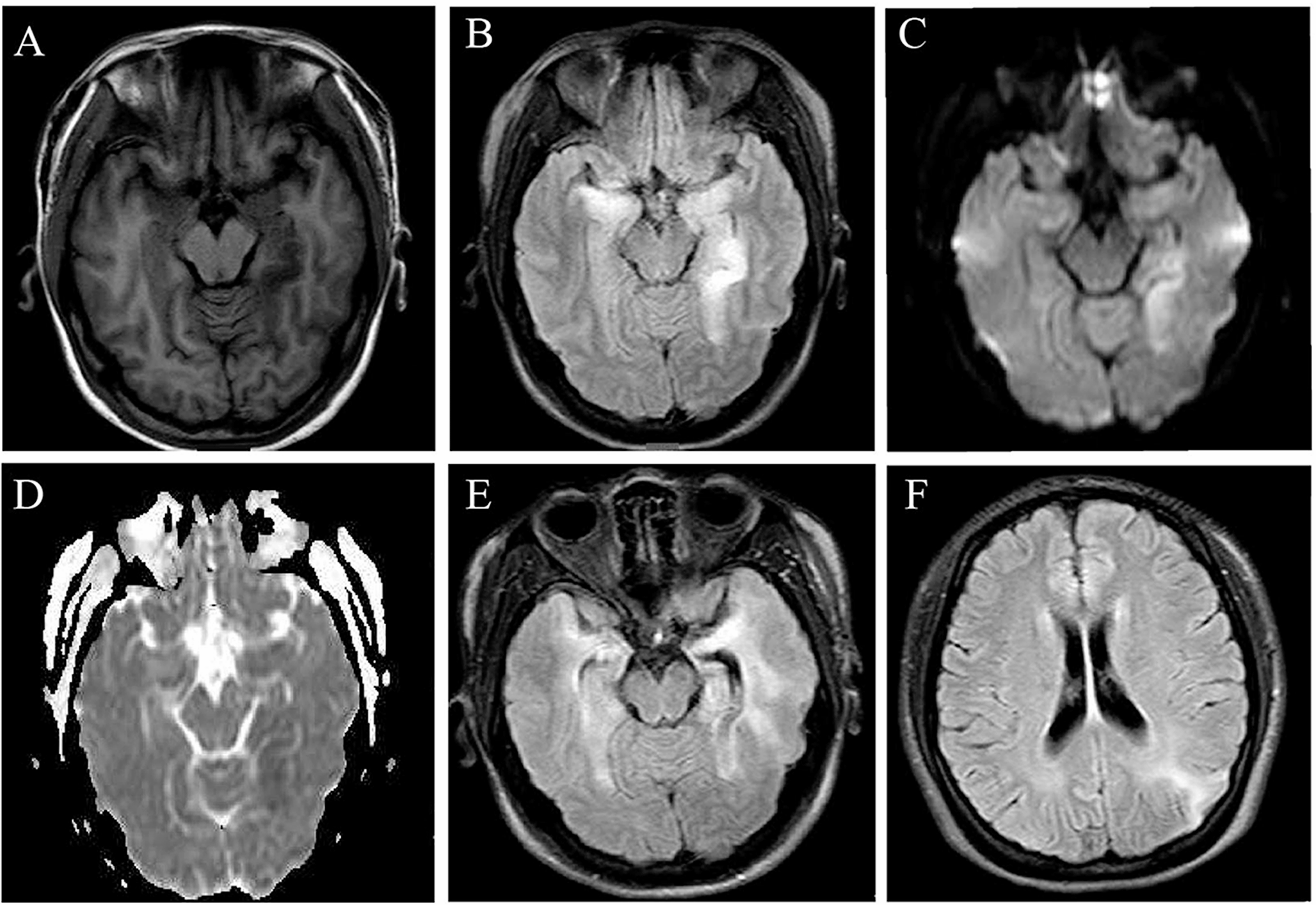
Progressive multifocal leukoencephalopathy in sarcoidosis successfully treated with pembrolizumab
Progressive multifocal leukoencephalopathy (PML) is a severe, demyelinating disease of the central nervous system caused b...
Journal Of Neurovirology
comment
0
thumb_up
0
Type 2 herpes simplex virus-induced anti-N-methyl-d-aspartate receptor encephalitis responsive to immunoglobulin monotherapy
Herpes simplex virus-2 encephalitis (HSV2E) in immunocompetent adults is exceptionally rare, and the subsequent onset of a...
Journal Of Neurovirology
comment
0
thumb_up
0
Correction: GP120 and tenofovir alafenamide alter cannabinoid receptor 1 expression in hippocampus of mice
Open Access This article is licensed under a Creative Commons Attribution 4.0 International License, whi...
Journal Of Neurovirology
comment
0
thumb_up
0
The synergistic effect of insomnia and depression on risk of herpes zoster
Sleep problems was associated with increased risk for herpes zoster (HZ). This study examined subjects with insomnia or a ...
Journal Of Neurovirology
comment
0
thumb_up
0
Tryptophan-kynurenine metabolic pathway and daytime dysfunction in women with HIV
Sleep disturbances are prevalent in women with HIV (WWH). Tryptophan-kynurenine (T-K) pathway metabolites are associated w...
Journal Of Neurovirology
comment
0
thumb_up
0
Cerebrospinal Fluid Biomarkers of Symptomatic Neurosyphilis in People With HIV Compared with Uninfected Individuals
We evaluated the diagnostic clinical performance characteristics (DCPC) of cerebrospinal fluid (CSF) total protein (TP), w...
Journal Of Neurovirology
comment
0
thumb_up
0
RNA-Seq time-course analysis of neural precursor cell transcriptome in response to herpes simplex Virus-1 infection
The neurogenic niches within the central nervous system serve as essential reservoirs for neural precursor cells (NPCs), p...
Journal Of Neurovirology
comment
0
thumb_up
0
Progressive multifocal leukoencephalopathy associated with systemic lupus erythematosus: longitudinal observation of lymphocytes, JC virus in cerebrospinal fluid, and brain magnetic resonance imaging
Progressive multifocal leukoencephalopathy (PML) rarely occurs in patients with systemic lupus erythematosus (SLE). This r...
Journal Of Neurovirology
comment
0
thumb_up
0
Implications of vascular depression for successful cognitive aging in HIV Disease
Although older adults with HIV are at high risk for mild neurocognitive disorders, a subset experience successful cognitiv...
Journal Of Neurovirology
comment
0
thumb_up
0
Load More
Modal title
×
Modal title
×
Share
Login
Global News and Health Forum
Join Now!
Member Login
Remember me
Forgot password?
Or using
Linkedin