×
Close
Sign Up
Login
Home
SCI Abstract
Library D
Events & Partner
WeMed
MDLA Events Platform
Events
Media Partners
Educational Partner
User Tools
FAQ/USER GUIDE
Language
English
中文/ Chinese
French
Português
Español
Arabic
Russian
Contact Us
×
Close
mdla_1
mdla_2
mdla_3
mdla_4
mdla_5
mdla_6
Categories
Respiratory System
7421
Global Medical University
5141
Allergy
1792
Anatomy & Morphology
1584
Andrology
379
Anesthesia & Intensive Care
1300
Anesthesiology
5399
Audiology & Speech-Language Pathology
347
Behavioral Sciences
105
Biochemical Research Methods
7243
Biochemistry & Molecular Biology
30077
Biodiversity Conservation
330
Biology
8515
Biophysics
8292
Biotechnology & Applied Microbiology
8662
Cardiac & Cardiovascular Systems
31125
Cardiovascular & Respiratory Systems
1413
Cell & Tissue Engineering
704
Cell Biology
11182
Chemistry, Analytical
4301
Chemistry, Applied
10948
Chemistry, Medicinal
8755
Chemistry, Multidisciplinary
18521
Clinical Immunology & Infectious Disease
423
Clinical Medicine
8962
Clinical Neurology
16636
Clinical Psychology & Psychiatry
1294
Critical Care Medicine
3163
Dentistry, Oral Surgery & Medicine
13544
Dermatology
7485
Developmental Biology
6954
Ecology
633
Education, Scientific Disciplines
2050
Emergency Medicine
4117
Endocrinology, Metabolism & Nutrition
24622
Engineering, Biomedical
3729
Entomology
489
Environmental Medicine & Public Health
4669
Evolutionary Biology
276
Gastroenterology & Hepatology
12236
General & Internal Medicine
7013
Genetics & Heredity
15196
Geriatrics & Gerontology
5075
Gerontology
382
Health Care Sciences & Services
16165
Health Policy & Services
604
Hematology
5578
Immunology
24850
Infectious Diseases
14017
Integrative & Complementary Medicine
2943
Medical Ethics
1239
Medical Informatics
2232
Medical Laboratory Technology
419
Medicine, General & Internal
44379
Medicine, Legal
532
Medicine, Research & Experimental
17792
Microbiology
23387
Mycology
0
Nanoscience & Nanotechnology
5388
Neuroimaging
1365
Neurology
4562
Neurosciences
39861
Nursing
9787
Nutrition & Dietetics
7849
Obstetrics & Gynecology
8277
Oncology
52506
Ophthalmology
9749
Optics
4279
Orthopedics
11803
Orthopedics, Rehabilitation & Sports Medicine
1828
Otolaryngology
1583
Otorhinolaryngology
4894
Parasitology
1167
Pathology
5148
Pediatrics
21618
Peripheral Vascular Disease
4767
Pharmacology & Pharmacy
35500
Pharmacology/Toxicology
12212
Physiology
8922
Polymer Science
542
Primary Health Care
837
Psychiatry
19132
Psychology
5240
Psychology, Applied
111
Psychology, Biological
390
Psychology, Clinical
811
Psychology, Developmental
273
Psychology, Educational
164
Psychology, Experimental
171
Psychology, Mathematical
0
Psychology, Multidisciplinary
1694
Psychology, Psychoanalysis
30
Psychology, Social
131
Public Health & Health Care Science
2225
Public, Environmental & Occupational Health
27291
Quantum Science & Technology
0
Radiology, Nuclear Medicine & Imaging
12500
Radiology, Nuclear Medicine & Medical Imaging
8264
Rehabilitation
3074
Remote Sensing
0
Reproductive Biology
2872
Reproductive Medicine
1212
Research/Laboratory Medicine & Medical Technology
4029
Rheumatology
6029
Social Sciences, Biomedical
1178
Substance Abuse
2771
Surgery
33948
Toxicology
4445
Transplantation
938
Tropical Medicine
300
Urology & Nephrology
12890
Veterinary Sciences
35
Virology
2551
Zoology
0
Channels
CURRENT PULMONOLOGY REPORTS
98
Medrxiv - Rehabilitation Medicine And Physical Therapy
412
Medrxiv - Respiratory Medicine
371
AMERICAN JOURNAL OF PHYSIOLOGY-LUNG CELLULAR AND MOLECULAR PHYSIOLOGY
318
CHEST
67
EUROPEAN RESPIRATORY REVIEW
182
INTERNATIONAL JOURNAL OF CHRONIC OBSTRUCTIVE PULMONARY DISEASE
752
JOURNAL OF CYSTIC FIBROSIS
9
LANCET RESPIRATORY MEDICINE
16
RESPIROLOGY
98
THERAPEUTIC ADVANCES IN RESPIRATORY DISEASE
22
THORAX
555
CHRONIC RESPIRATORY DISEASE
35
CLINICAL RESPIRATORY JOURNAL
72
JOURNAL OF ASTHMA AND ALLERGY
436
NPJ PRIMARY CARE RESPIRATORY MEDICINE
140
PULMONARY CIRCULATION
69
RESPIRATION
212
RESPIRATORY CARE
569
PULMONOLOGY
397
SEMINARS IN RESPIRATORY AND CRITICAL CARE MEDICINE
246
TUBERCULOSIS AND RESPIRATORY DISEASES
20
BREATHE
155
CLINICAL MEDICINE INSIGHTS-CIRCULATORY RESPIRATORY AND PULMONARY MEDICINE
15
CURRENT RESPIRATORY MEDICINE REVIEWS
29
EGYPTIAN JOURNAL OF CHEST DISEASES AND TUBERCULOSIS
20
ERJ OPEN RESEARCH
891
EURASIAN JOURNAL OF PULMONOLOGY
20
INDIAN JOURNAL OF RESPIRATORY CARE
100
RESPIROLOGY CASE REPORTS
109
LUNG INDIA
20
MULTIDISCIPLINARY RESPIRATORY MEDICINE
78
PNEUMONIA
52
LUNG
282
SLEEP AND BREATHING
555
SCI Abstract
search
ALL
RECOMMENDED
+
Interstitial Lung Disease in Still’s disease - A Systematic Review
we aim to carry out a systematic review to synthesize and understand the epidemiological, clinical, diagnostic markers and...
Current Pulmonology Reports
comment
0
thumb_up
0
Current Perspectives in Treatment of Obstructive Sleep Apnea with Mandibular Advancement Devices: A Narrative Review
This narrative review intends to provide a thorough analysis of the effectiveness, and comparison of the mono-block vs duo...
Current Pulmonology Reports
comment
0
thumb_up
0
Non-Specific Pleuritis: An Update
Non-Specific Pleuritis (NSP) is a common diagnosis following thoracoscopy and encompasses a broad range of aetiologies wit...
Current Pulmonology Reports
comment
0
thumb_up
0
Cryobiopsies: Update on the Tools, Techniques, and Evidence for Malignancy, Interstitial Lung Diseases, and Lymph Nodes
This review aims to revise the role of cryobiopsy in the diagnosis of interstitial lung diseases, peripheral pulmonary nod...
Current Pulmonology Reports
comment
0
thumb_up
0
Tuberculosis Related Pleural Effusion: An Update
This review provides a concise summary of the pathology, current suggested diagnostic tools, treatment and management of p...
Current Pulmonology Reports
comment
0
thumb_up
0
Allergic Bronchopulmonary Aspergillosis: What's New
Allergic bronchopulmonary aspergillosis (ABPA) is a complex hypersensitivity response to Aspergillus species. This review ...
Current Pulmonology Reports
comment
0
thumb_up
0
Bridge to Lung Transplantation Utilizing Extracorporeal Membrane Oxygenation: Consensus and Controversies
Extracorporeal membrane oxygenation is becoming increasingly employed as a bridge to lung transplantation patients with en...
Current Pulmonology Reports
comment
0
thumb_up
0
Updates in the Etiology and Management of Organizing Pneumonia
Cryptogenic organizing pneumonia has been a known entity for 40 years. However, increasing numbers of secondary causes of ...
Current Pulmonology Reports
comment
0
thumb_up
0
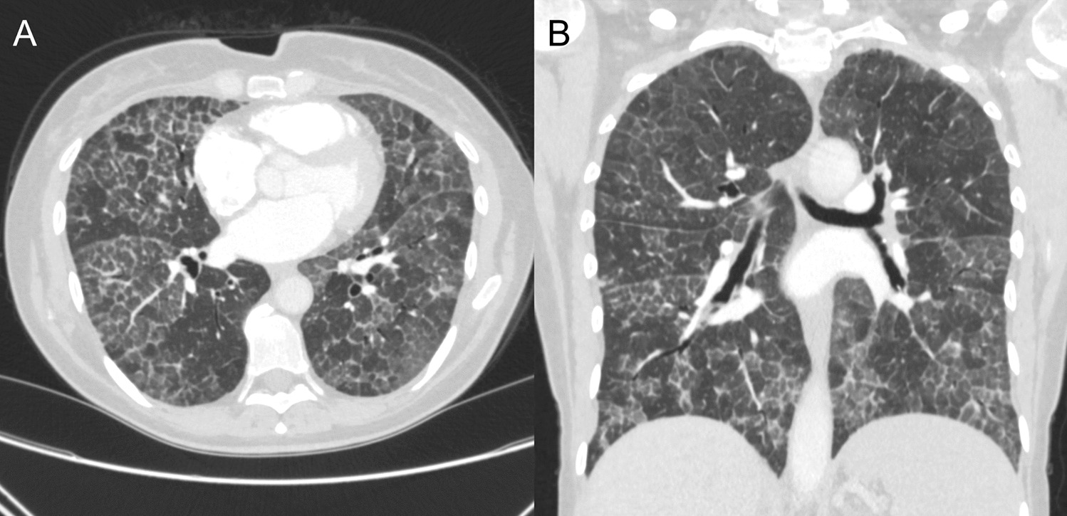
Diffuse Cystic Lung Disease – Updates and Opportunities for Advancement
To provide an updated, comprehensive overview of diffuse cystic lung diseases (DCLDs), highlighting diagnostic and therape...
Current Pulmonology Reports
comment
0
thumb_up
0
Fibrosing Mediastinitis
Fibrosing mediastinitis is an uncommon clinical pathologic syndrome driven by underlying infection and/or inflammation lea...
Current Pulmonology Reports
comment
0
thumb_up
0
Donor Lung Allocation System: Pro-, Cons and Unmet Needs
The demand for donor lungs remains a limiting factor causing extended waitlist time and pre-transplant mortality. In this ...
Current Pulmonology Reports
comment
0
thumb_up
0
Idiopathic Inflammatory Myositis (IIM) Related Interstitial Lung Disease (ILD): Treatment Options
Idiopathic inflammatory myositis (IIM) has been identified as a potential cause of interstitial lung disease (ILD). Lung i...
Current Pulmonology Reports
comment
0
thumb_up
0
Bronchiectasis and Non-Tuberculous Mycobacteria Infection: Who Needs Treatment?
Bronchiectasis and nontuberculous mycobacteria (NTM) are closely interrelated, with NTM capable of being both a cause and ...
Current Pulmonology Reports
comment
0
thumb_up
0
Re-expansion Pulmonary Oedema: Who, What, When and Why, A Review
Re-expansion pulmonary oedema is a rare complication of pleural intervention, but can be associated with high morbidity. W...
Current Pulmonology Reports
comment
0
thumb_up
0
Transbronchial Approach to Peripheral Lung Lesions- How Good are the Robotic and Non-Robotic Approaches Compared with CT Guided Biopsy?
Biopsy of peripheral pulmonary lesions can be performed using transthoracic CT-guided biopsy (CTB) or peripheral bronchosc...
Current Pulmonology Reports
comment
0
thumb_up
0
Elastography in EBUS- Useful Tool or Useless Gadget in 2024
Since 2014, elastography for endobronchial ultrasound has been studied as a tool to predict malignancy and improve the dia...
Current Pulmonology Reports
comment
0
thumb_up
0
Reviews Evidence-Based Approach to Treatment and Prevention of Bronchiectasis
Research in bronchiectasis has undergone a resurgence with rapid advances in understanding of the disease and its treatmen...
Current Pulmonology Reports
comment
0
thumb_up
0
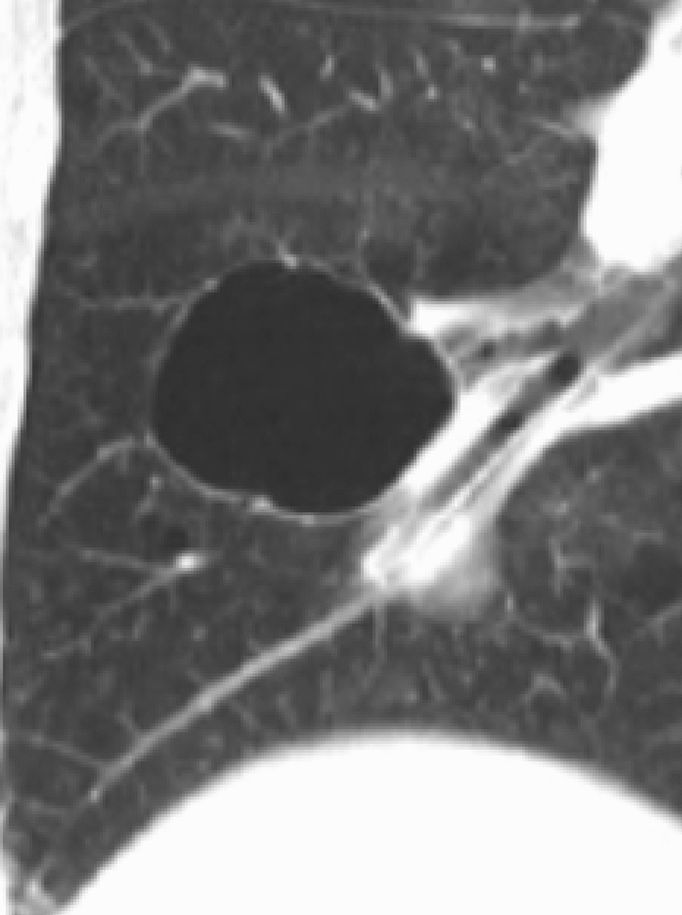
Cystic Lung Diseases: A Radiology Primer
Cystic Lung Diseases (CLD) represent a diverse group of lung diseases characterized by the presence of intraparenchymal cy...
Current Pulmonology Reports
comment
0
thumb_up
0
Artificial Intelligence for Diagnosis of Obstructive Sleep Apnea
This review focuses on the different methodologies and artificial intelligence (AI) technologies being utilized to improve...
Current Pulmonology Reports
comment
0
thumb_up
0
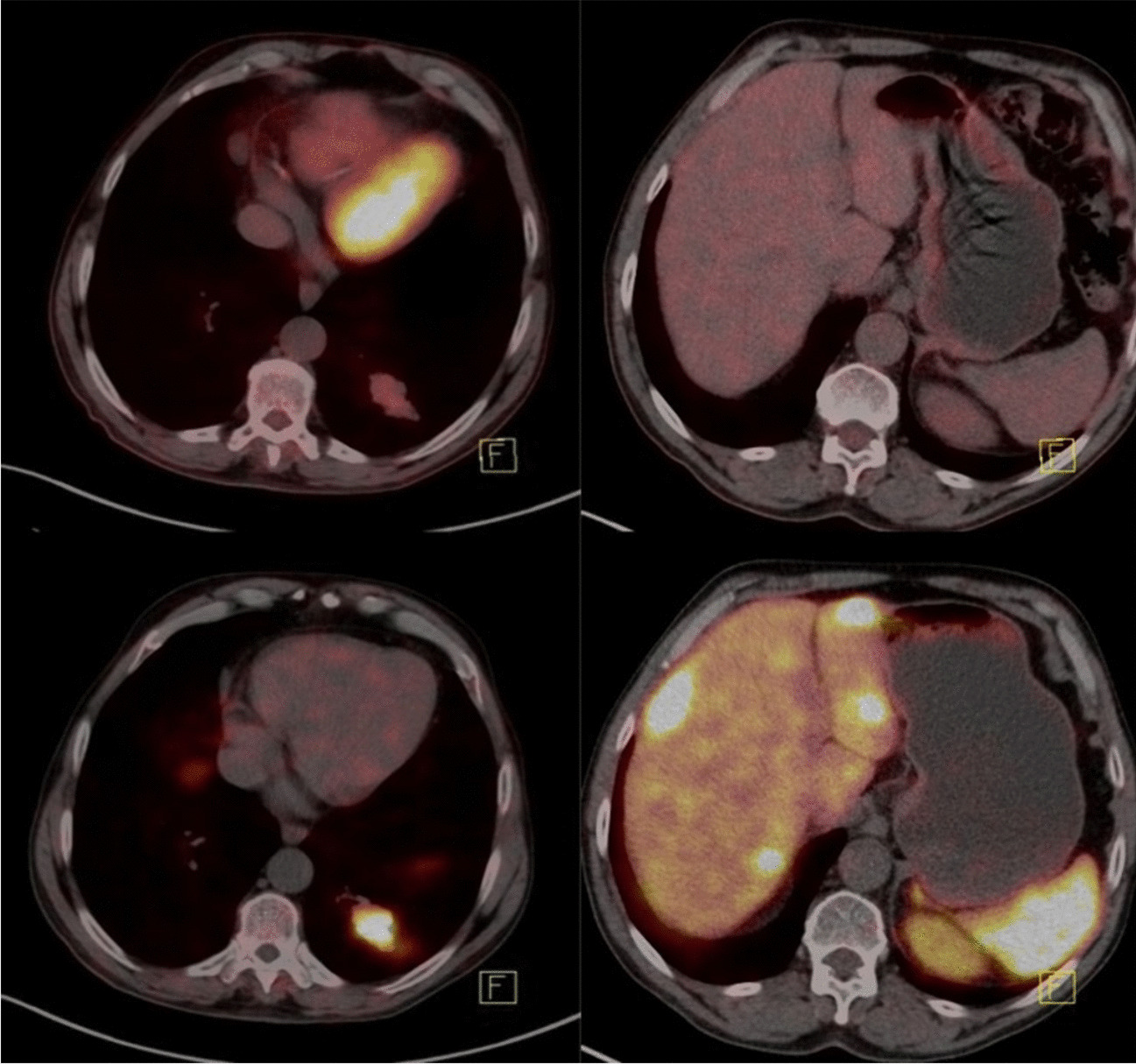
Initial Staging of Lung Cancer with FDG PET/CT
Lung cancer is one of the leading causes of cancer death in industrialized nations, regardless of gender. Accurate staging...
Current Pulmonology Reports
comment
0
thumb_up
0
Advances in Airway Stenting
In this review, we summarize the evolution of airway stents through the decades and address the various existing stent typ...
Current Pulmonology Reports
comment
0
thumb_up
0
Assessing and Managing Surgical Risk in Obstructive Sleep Apnea: A Narrative Review
The aim of this review is to examine the existing data for risks involved and clinical recommendations for patients with o...
Current Pulmonology Reports
comment
0
thumb_up
0
Assessment of Fluid Responsiveness with Critical Care Echocardiography: An Update
To review the tests of fluid responsiveness and volume status with critical care echocardiography, including their uses, p...
Current Pulmonology Reports
comment
0
thumb_up
0
Autoimmune Pulmonary Alveolar Proteinosis: A Review of Pathogenesis and Emerging Therapies
Autoimmune pulmonary alveolar proteinosis is a heterogenous clinical syndrome of disordered surfactant clearance due to a ...
Current Pulmonology Reports
comment
0
thumb_up
0
Standardization of Point-of-Care-Ultrasonography in Critical Care: Enhancing Quality and Efficiency
The integration of point of care ultrasound (POCUS) in the critical care specialty has changed the field's practice. T...
Current Pulmonology Reports
comment
0
thumb_up
0
Recent Advances in Mesothelioma
Pleural mesothelioma (PM) is a rare but fatal cancer of the pleural surface. Most patients have a poor prognosis, despite ...
Current Pulmonology Reports
comment
0
thumb_up
0
Training and Education in Point of Care Ultrasound in Critical Care: An Update
Training and education that culminate in the mastery of Critical Care Ultrasound (CCU) requires a complex systems based ap...
Current Pulmonology Reports
comment
0
thumb_up
0
Novel Strategies for Optimization of the Pre-transplant Donor Lung
While the number of lung transplants continues to increase, there remains an imbalance between potential lung transplant c...
Current Pulmonology Reports
comment
0
thumb_up
0
Interstitial Lung Abnormalities (ILA) and Pulmonary Fibrosis
This review identifies the similarities and differences between interstitial lung abnormalities (ILA) and pulmonary fibros...
Current Pulmonology Reports
comment
0
thumb_up
0
Challenges in Grading the Severity of Right Ventricular Dysfunction via Point-of-Care Echocardiography
This review discusses the current limitations of assessing the right ventricle (RV) using Point-of-Care Ultrasound, explai...
Current Pulmonology Reports
comment
0
thumb_up
0
Load More
Modal title
×
Modal title
×
Share
Login
Global News and Health Forum
Join Now!
Member Login
Remember me
Forgot password?
Or using
Linkedin