×
Close
Sign Up
Login
Home
SCI Abstract
Library D
Events & Partner
WeMed
MDLA Events Platform
Events
Media Partners
Educational Partner
User Tools
FAQ/USER GUIDE
Language
English
中文/ Chinese
French
Português
Español
Arabic
Russian
Contact Us
×
Close
mdla_1
mdla_2
mdla_3
mdla_4
mdla_5
mdla_6
Categories
Gastroenterology & Hepatology
12236
Global Medical University
5141
Allergy
1792
Anatomy & Morphology
1584
Andrology
379
Anesthesia & Intensive Care
1300
Anesthesiology
5399
Audiology & Speech-Language Pathology
347
Behavioral Sciences
105
Biochemical Research Methods
7243
Biochemistry & Molecular Biology
30077
Biodiversity Conservation
330
Biology
8515
Biophysics
8292
Biotechnology & Applied Microbiology
8662
Cardiac & Cardiovascular Systems
31125
Cardiovascular & Respiratory Systems
1413
Cell & Tissue Engineering
704
Cell Biology
11182
Chemistry, Analytical
4301
Chemistry, Applied
10948
Chemistry, Medicinal
8755
Chemistry, Multidisciplinary
18521
Clinical Immunology & Infectious Disease
423
Clinical Medicine
8962
Clinical Neurology
16636
Clinical Psychology & Psychiatry
1294
Critical Care Medicine
3163
Dentistry, Oral Surgery & Medicine
13544
Dermatology
7485
Developmental Biology
6954
Ecology
633
Education, Scientific Disciplines
2050
Emergency Medicine
4117
Endocrinology, Metabolism & Nutrition
24622
Engineering, Biomedical
3729
Entomology
489
Environmental Medicine & Public Health
4669
Evolutionary Biology
276
General & Internal Medicine
7013
Genetics & Heredity
15196
Geriatrics & Gerontology
5075
Gerontology
382
Health Care Sciences & Services
16165
Health Policy & Services
604
Hematology
5578
Immunology
24850
Infectious Diseases
14017
Integrative & Complementary Medicine
2943
Medical Ethics
1239
Medical Informatics
2232
Medical Laboratory Technology
419
Medicine, General & Internal
44379
Medicine, Legal
532
Medicine, Research & Experimental
17792
Microbiology
23387
Mycology
0
Nanoscience & Nanotechnology
5388
Neuroimaging
1365
Neurology
4562
Neurosciences
39861
Nursing
9787
Nutrition & Dietetics
7849
Obstetrics & Gynecology
8277
Oncology
52506
Ophthalmology
9749
Optics
4279
Orthopedics
11803
Orthopedics, Rehabilitation & Sports Medicine
1828
Otolaryngology
1583
Otorhinolaryngology
4894
Parasitology
1167
Pathology
5148
Pediatrics
21618
Peripheral Vascular Disease
4767
Pharmacology & Pharmacy
35500
Pharmacology/Toxicology
12212
Physiology
8922
Polymer Science
542
Primary Health Care
837
Psychiatry
19132
Psychology
5240
Psychology, Applied
111
Psychology, Biological
390
Psychology, Clinical
811
Psychology, Developmental
273
Psychology, Educational
164
Psychology, Experimental
171
Psychology, Mathematical
0
Psychology, Multidisciplinary
1694
Psychology, Psychoanalysis
30
Psychology, Social
131
Public Health & Health Care Science
2225
Public, Environmental & Occupational Health
27291
Quantum Science & Technology
0
Radiology, Nuclear Medicine & Imaging
12500
Radiology, Nuclear Medicine & Medical Imaging
8264
Rehabilitation
3074
Remote Sensing
0
Reproductive Biology
2872
Reproductive Medicine
1212
Research/Laboratory Medicine & Medical Technology
4029
Respiratory System
7421
Rheumatology
6029
Social Sciences, Biomedical
1178
Substance Abuse
2771
Surgery
33948
Toxicology
4445
Transplantation
938
Tropical Medicine
300
Urology & Nephrology
12890
Veterinary Sciences
35
Virology
2551
Zoology
0
Channels
CLINICAL JOURNAL OF GASTROENTEROLOGY
463
Hepatology Research
72
NEJM Gastroenterology
5
Medrxiv - Gastroenterolog
387
AMERICAN JOURNAL OF GASTROENTEROLOGY
482
BEST PRACTICE & RESEARCH CLINICAL GASTROENTEROLOGY
161
CLINICAL AND TRANSLATIONAL GASTROENTEROLOGY
282
DIGESTION
104
ENDOSCOPY
1136
GASTRIC CANCER
298
GASTROENTEROLOGY
33
GASTROINTESTINAL ENDOSCOPY
25
GUT
611
HEPATOLOGY
518
HEPATOLOGY INTERNATIONAL
434
INFLAMMATORY BOWEL DISEASES
20
JOURNAL OF GASTROENTEROLOGY
283
JOURNAL OF GASTROENTEROLOGY AND HEPATOLOGY
295
JOURNAL OF PEDIATRIC GASTROENTEROLOGY AND NUTRITION
554
JOURNAL OF VIRAL HEPATITIS
105
LANCET GASTROENTEROLOGY & HEPATOLOGY
19
LIVER INTERNATIONAL
230
NATURE REVIEWS GASTROENTEROLOGY & HEPATOLOGY
435
UNITED EUROPEAN GASTROENTEROLOGY JOURNAL
19
ARAB JOURNAL OF GASTROENTEROLOGY
208
CURRENT OPINION IN GASTROENTEROLOGY
90
DIGESTIVE DISEASES
150
DISEASES OF THE ESOPHAGUS
30
EUROPEAN JOURNAL OF GASTROENTEROLOGY & HEPATOLOGY
251
GASTROENTEROLOGIA Y HEPATOLOGIA
386
JOURNAL OF DIGESTIVE DISEASES
76
SAUDI JOURNAL OF GASTROENTEROLOGY
118
THERAPEUTIC ADVANCES IN GASTROENTEROLOGY
87
VISCERAL MEDICINE
80
HEPATOBILIARY SURGERY AND NUTRITION
77
JOURNAL OF GASTROINTESTINAL AND LIVER DISEASES
274
REVISTA ESPANOLA DE ENFERMEDADES DIGESTIVAS
18
ACG CASE REPORTS JOURNAL
496
ANNALS OF GASTROENTEROLOGY
271
CLINICAL ENDOSCOPY
266
ENDOSCOPY INTERNATIONAL OPEN
560
FRONTLINE GASTROENTEROLOGY
300
GASTROENTEROLOGY INSIGHTS
50
GASTROINTESTINAL TUMORS
19
GE PORTUGUESE JOURNAL OF GASTROENTEROLOGY
135
INDIAN JOURNAL OF GASTROENTEROLOGY
333
INTESTINAL RESEARCH
20
DIGESTIVE DISEASES AND SCIENCES
970
SCI Abstract
search
ALL
RECOMMENDED
+
Hormone replacement therapy for steatotic liver management after surgical menopause
Although steatotic liver onset after natural menopause has been reported, evidence on the clinical course and treatment op...
Clinical Journal Of Gastroenterology
comment
0
thumb_up
0
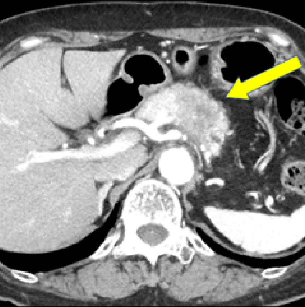
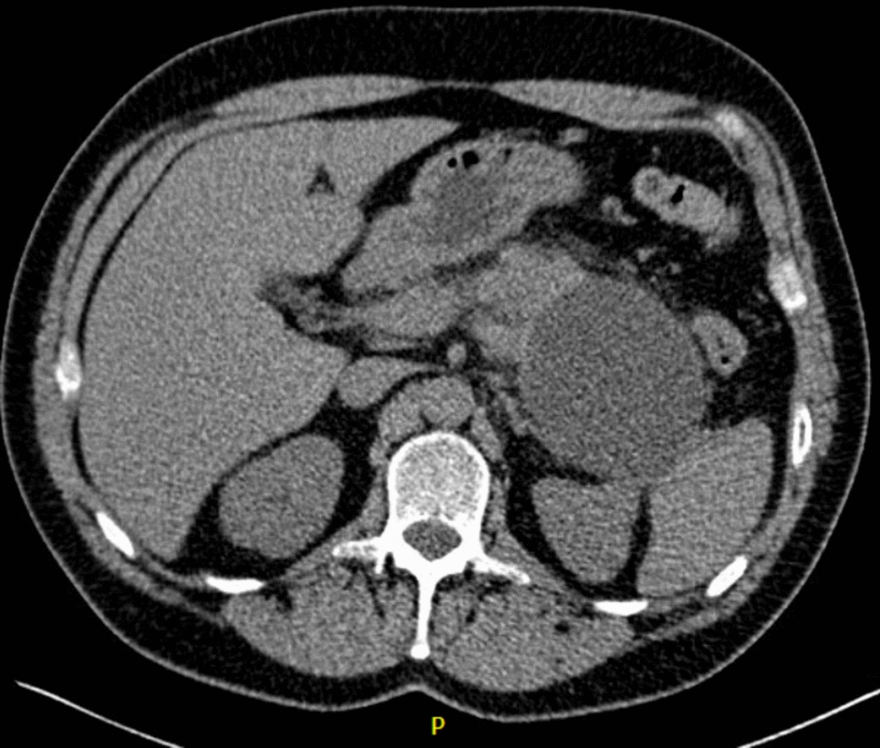
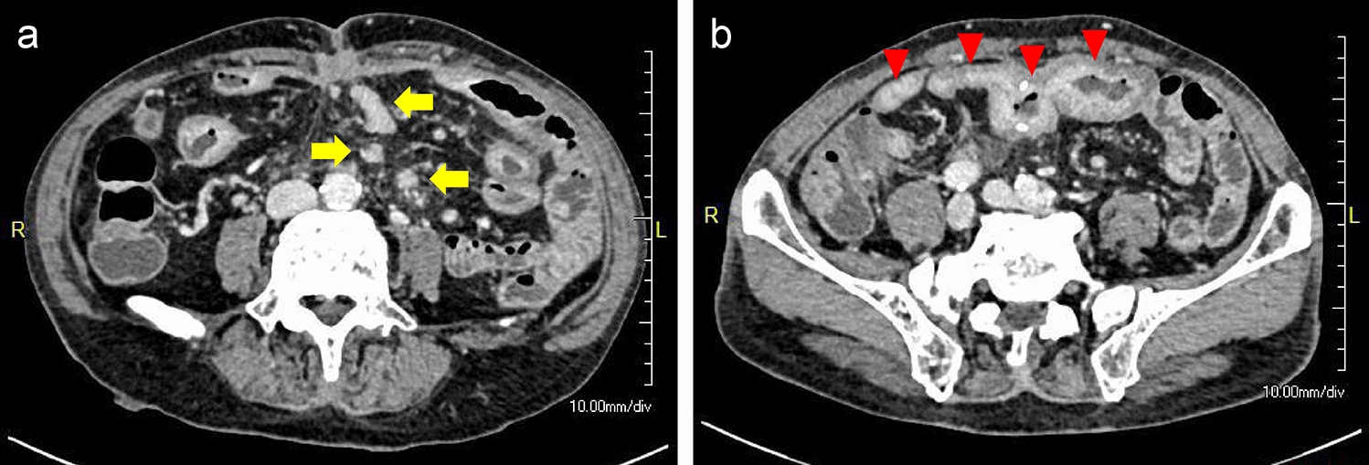
Diagnostic challenge: pancreatic cancer masked by peripancreatic fluid collection after acute pancreatitis
Pancreatic cancer (PC) manifests as a highly aggressive neoplastic growth, ranking as the fourth major contributor to canc...
Clinical Journal Of Gastroenterology
comment
0
thumb_up
0
Familial Mediterranean fever with sigmoid colon stricture
We describe a case of familial Mediterranean fever (FMF) with sigmoid colon stricture. The patient, a woman in her 30&...
Clinical Journal Of Gastroenterology
comment
0
thumb_up
0
Localized light chain amyloidosis of the stomach that regressed after eradication of over 15 years of follow-up: a case report and new hypothesis
Localized light chain amyloidosis is considered to be a plasmacytic B-cell lymphoproliferative disorder caused by antigeni...
Clinical Journal Of Gastroenterology
comment
0
thumb_up
0
Mixed neuroendocrine-non-neuroendocrine neoplasm of the colon treated with laparoscopic resection and adjuvant chemotherapy: a case report
Mixed neuroendocrine–non-neuroendocrine neoplasm (MiNEN) of the colon is rare with a poor prognosis. Since the first...
Clinical Journal Of Gastroenterology
comment
0
thumb_up
0
Enhanced activity of autoimmune gastritis following eradication therapy
The relationship between autoimmune gastritis (AIG) and Helicobacter pylori (H. pylori) gastritis remains unclear, particu...
Clinical Journal Of Gastroenterology
comment
0
thumb_up
0
Successful staged surgery for advanced esophageal cancer after conversion pancreatoduodenectomy with pancreaticogastrostomy
Complex surgery during initial cancer treatment can limit surgical options when planning management of a secondary maligna...
Clinical Journal Of Gastroenterology
comment
0
thumb_up
0
A case of pancreatic ductal adenocarcinoma growing within the pancreatic duct mimicking an intraductal tubulopapillary neoplasm
We herein report a case of pancreatic ductal adenocarcinoma (PDAC) that developed within the pancreatic duct and was initi...
Clinical Journal Of Gastroenterology
comment
0
thumb_up
0
A case of deep endometriosis with cyst formation as a differential diagnosis of rectal duplication cyst in the presacral space
Cysts occurring in the presacral space may become malignant and therefore require surgical removal. A wide variety of cyst...
Clinical Journal Of Gastroenterology
comment
0
thumb_up
0
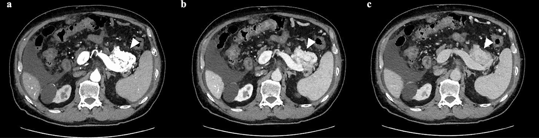
Ascending colon perforation by a migrated pancreatic spontaneous dislodgment stent: a case report
Here, we report a case of a 74-year-old woman treated for acute cholecystitis. She initially underwent percutaneous transh...
Clinical Journal Of Gastroenterology
comment
0
thumb_up
0
Case series of small bowel adenocarcinoma associated with Crohn’s disease
Long-standing Crohn’s disease (CD) is well known to be associated with gastrointestinal malignancies. Patients with ...
Clinical Journal Of Gastroenterology
comment
0
thumb_up
0
A case of chronic hepatitis B complicated by systemic sarcoidosis that regressed following nucleos(t)ide analog therapy
Herein, we report the case of a 75-year-old woman with systemic sarcoidosis complicated by chronic hepatitis B. She presen...
Clinical Journal Of Gastroenterology
comment
0
thumb_up
0
A case of relapsed pan-colonic ulcerative colitis accompanied with gastroduodenal lesions immediately after COVID-19
Some patients with ulcerative colitis (UC) suffer from complicated UC-associated upper gastrointestinal lesions. However, ...
Clinical Journal Of Gastroenterology
comment
0
thumb_up
0
A case of multiple advanced colon cancers with spontaneous regression of only one lesion after biopsy a case report and literature review
A 90-year-old man underwent a colonoscopy due to abdominal distension, revealing half-circumferential Type 2 advanced canc...
Clinical Journal Of Gastroenterology
comment
0
thumb_up
0
A case of pancreatic arteriovenous malformation diagnosed after the onset of abdominal symptoms
Pancreatic arteriovenous malformation (P-AVM) is an extremely rare vascular anomaly characterized by abnormal connections ...
Clinical Journal Of Gastroenterology
comment
0
thumb_up
0
Microsatellite-high intrahepatic cholangiocarcinoma with favorable treatment outcome using pembrolizumab
Intrahepatic cholangiocarcinoma has a poor prognosis. In unresectable cases, the survival period is short despite combinat...
Clinical Journal Of Gastroenterology
comment
0
thumb_up
0
Pancreatic cancer secondary to biliary tract cancer associated with pancreaticobiliary maljunction: intraductal dissemination through the common channel
Patients with pancreaticobiliary maljunction (PBM) have a high risk of biliary tract cancer (BTC). The risk of pancreatic ...
Clinical Journal Of Gastroenterology
comment
0
thumb_up
0
Diaphragmatic and pericardial reconstruction using a Gore-Tex® patch in a patient with an invasive liver malignancy
The Gore-Tex® polytetrafluoroethylene patch is one of the most used prostheses for diaphragm, vessel, and pericardial...
Clinical Journal Of Gastroenterology
comment
0
thumb_up
0
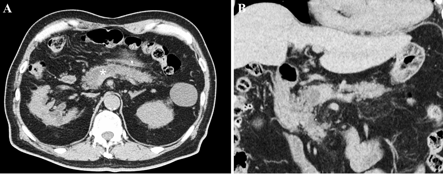
Relapsing sclerosing mesenteritis with multiple strictures of the small intestine
Sclerosing mesenteritis (SM) is a rare disorder that involves the mesenteric adipose tissue with chronic fibrosing inflamm...
Clinical Journal Of Gastroenterology
comment
0
thumb_up
0
Gastric band removal: mind the arterial anastomoses!
Bariatric surgery may sometimes be challenging and may lead to severe complications. Surgical re-intervention in such case...
Clinical Journal Of Gastroenterology
comment
0
thumb_up
0
A case of immune checkpoint inhibitor-associated hemophagocytosis after initiation of atezolizumab plus bevacizumab therapy for advanced hepatocellular carcinoma
A woman in the 70s with a decreased appetite and weight loss (4 kg) in the last 3 months was referred to...
Clinical Journal Of Gastroenterology
comment
0
thumb_up
0
Tubular adenoma at the hepatico-jejunal anastomosis in familial adenomatous polyposis (FAP) following pancreaticoduodenectomy: challenges in adenoma surveillance and management
Upper gastrointestinal tumors, including ampullary adenomas, occur frequently in patients with familial adenomatous polypo...
Clinical Journal Of Gastroenterology
comment
0
thumb_up
0
Arsenic and young liver: a case report of hepatic steatosis due to arsenic toxicity
Arsenic toxicity is rare in developed countries. It may be difficult to diagnose due to its heterogenous symptom presentat...
Clinical Journal Of Gastroenterology
comment
0
thumb_up
0
A case of situs inversus totalis with hemosuccus pancreaticus due to intrapancreatic pseudocyst perforation of the common hepatic artery treated with a vascular stent graft
Hemosuccus pancreaticus (HP) is characterized by gastrointestinal bleeding from the papilla of Vater via the pancreatic du...
Clinical Journal Of Gastroenterology
comment
0
thumb_up
0
Thrombotic complications following bariatric surgery: how medical tourism poses challenges to comprehensive care in obesity medicine
The global prevalence of obesity has more than tripled since 1975. Unfortunately, bariatric surgery waiting lists can last...
Clinical Journal Of Gastroenterology
comment
0
thumb_up
0
A case of MSI-high pancreatic body-tail cancer successfully treated with radical resection after pembrolizumab
A 72-year-old woman was diagnosed with unresectable pancreatic body-tail cancer (cT4N1M1, cStage IV) with para-aortic lymp...
Clinical Journal Of Gastroenterology
comment
0
thumb_up
0
Endoscopic ultrasound-guided drainage for mediastinal abscess: first report of bridge to surgery for esophageal cancer
Perforated esophageal cancer rarely results in the formation of mediastinal abscess. Endoscopic ultrasound (EUS)-guided ab...
Clinical Journal Of Gastroenterology
comment
0
thumb_up
0
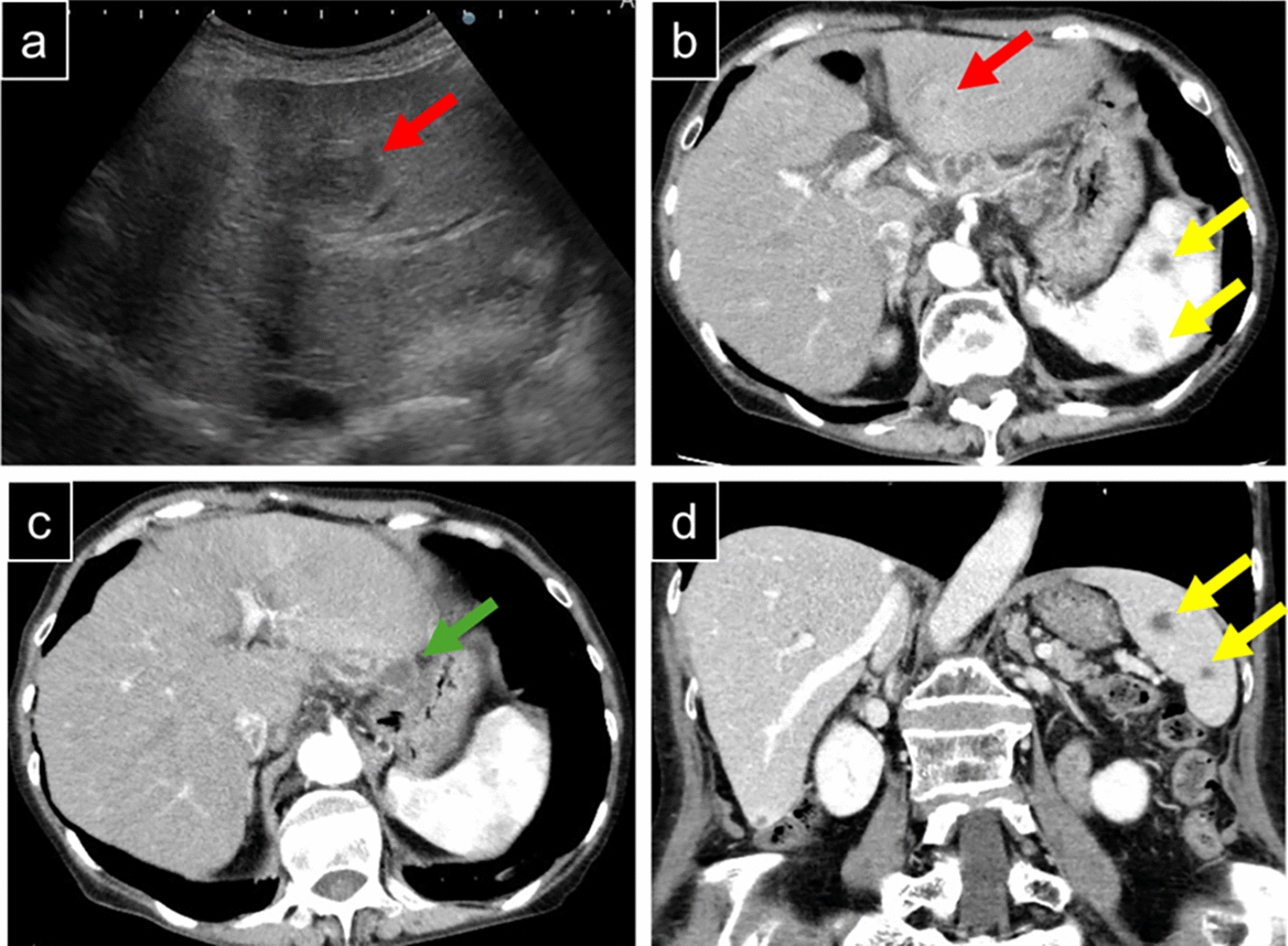
A case of non-occlusive mesenteric ischemia following hepatocellular carcinoma rupture
Hepatocellular carcinoma (HCC) rupture is a severe complication, yet there is limited literature on cases complicated by s...
Clinical Journal Of Gastroenterology
comment
0
thumb_up
0
A case of esophageal squamous cell carcinoma with epidermization showing a unique morphology
An 80-year-old woman with a history of endoscopic balloon dilation for esophageal stricture caused by accidental ingestion...
Clinical Journal Of Gastroenterology
comment
0
thumb_up
0
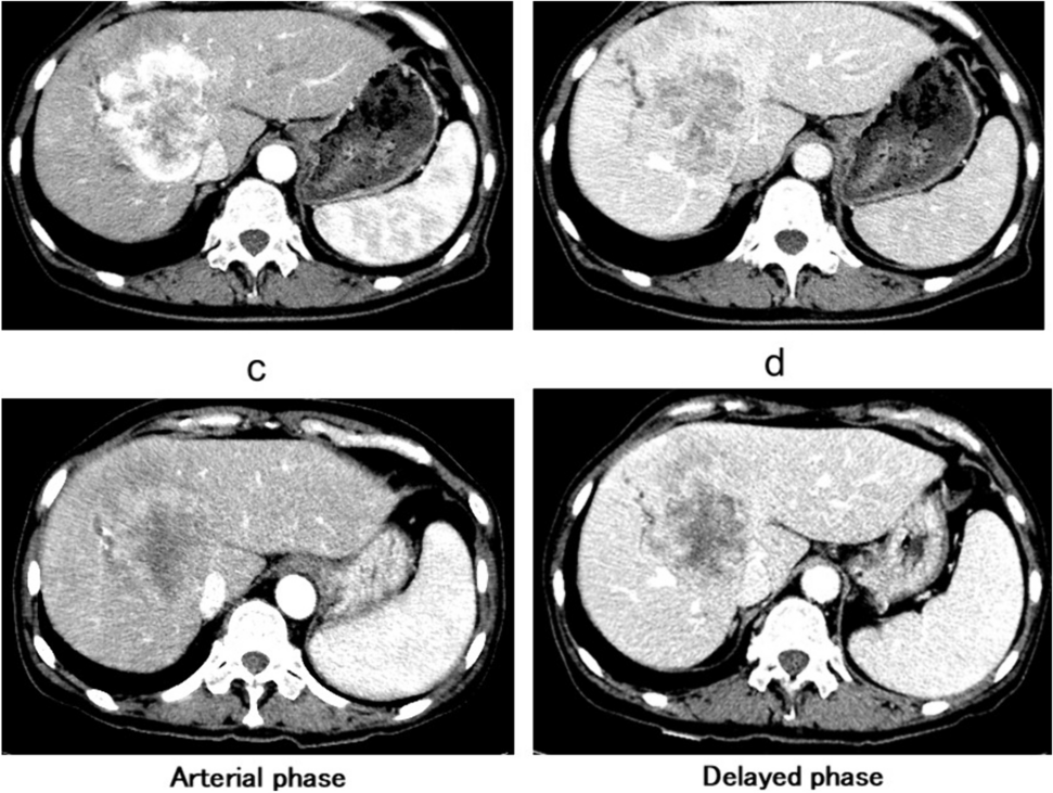
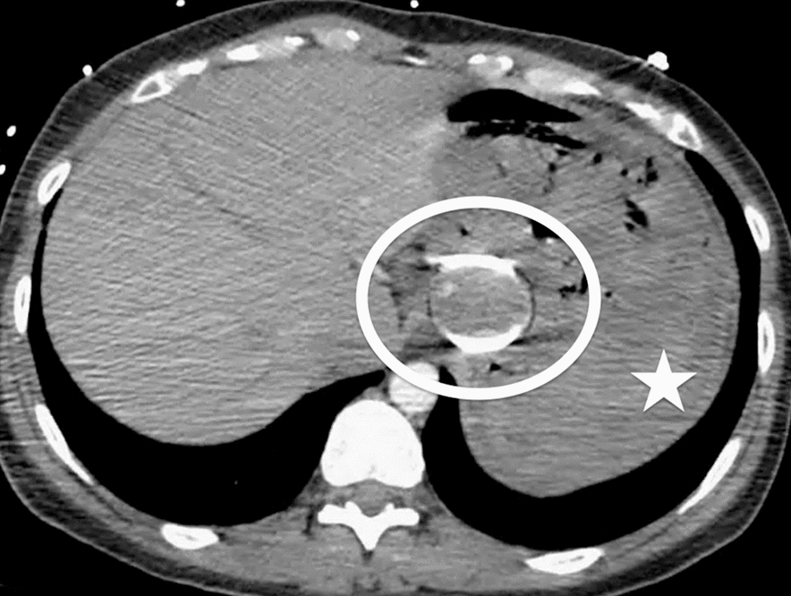
Autopsy diagnosis of diffuse intrahepatic cholangiocarcinoma
Intrahepatic cholangiocarcinoma (ICC), a severe liver cancer, makes up to 20% of all hepatic malignancies and is difficult...
Clinical Journal Of Gastroenterology
comment
0
thumb_up
0
Load More
Modal title
×
Modal title
×
Share
Login
Global News and Health Forum
Join Now!
Member Login
Remember me
Forgot password?
Or using
Linkedin