×
Close
Sign Up
Login
Home
SCI Abstract
Library D
Events & Partner
WeMed
MDLA Events Platform
Events
Media Partners
Educational Partner
User Tools
FAQ/USER GUIDE
Language
English
中文/ Chinese
French
Português
Español
Arabic
Russian
Contact Us
×
Close
mdla_1
mdla_2
mdla_3
mdla_4
mdla_5
mdla_6
Categories
Orthopedics
11803
Global Medical University
5141
Allergy
1792
Anatomy & Morphology
1584
Andrology
379
Anesthesia & Intensive Care
1300
Anesthesiology
5399
Audiology & Speech-Language Pathology
347
Behavioral Sciences
105
Biochemical Research Methods
7243
Biochemistry & Molecular Biology
30077
Biodiversity Conservation
330
Biology
8515
Biophysics
8292
Biotechnology & Applied Microbiology
8662
Cardiac & Cardiovascular Systems
31125
Cardiovascular & Respiratory Systems
1413
Cell & Tissue Engineering
704
Cell Biology
11182
Chemistry, Analytical
4301
Chemistry, Applied
10948
Chemistry, Medicinal
8755
Chemistry, Multidisciplinary
18521
Clinical Immunology & Infectious Disease
423
Clinical Medicine
8962
Clinical Neurology
16636
Clinical Psychology & Psychiatry
1294
Critical Care Medicine
3163
Dentistry, Oral Surgery & Medicine
13544
Dermatology
7485
Developmental Biology
6954
Ecology
633
Education, Scientific Disciplines
2050
Emergency Medicine
4117
Endocrinology, Metabolism & Nutrition
24622
Engineering, Biomedical
3729
Entomology
489
Environmental Medicine & Public Health
4669
Evolutionary Biology
276
Gastroenterology & Hepatology
12236
General & Internal Medicine
7013
Genetics & Heredity
15196
Geriatrics & Gerontology
5075
Gerontology
382
Health Care Sciences & Services
16165
Health Policy & Services
604
Hematology
5578
Immunology
24850
Infectious Diseases
14017
Integrative & Complementary Medicine
2943
Medical Ethics
1239
Medical Informatics
2232
Medical Laboratory Technology
419
Medicine, General & Internal
44379
Medicine, Legal
532
Medicine, Research & Experimental
17792
Microbiology
23387
Mycology
0
Nanoscience & Nanotechnology
5388
Neuroimaging
1365
Neurology
4562
Neurosciences
39861
Nursing
9787
Nutrition & Dietetics
7849
Obstetrics & Gynecology
8277
Oncology
52506
Ophthalmology
9749
Optics
4279
Orthopedics, Rehabilitation & Sports Medicine
1828
Otolaryngology
1583
Otorhinolaryngology
4894
Parasitology
1167
Pathology
5148
Pediatrics
21618
Peripheral Vascular Disease
4767
Pharmacology & Pharmacy
35500
Pharmacology/Toxicology
12212
Physiology
8922
Polymer Science
542
Primary Health Care
837
Psychiatry
19132
Psychology
5240
Psychology, Applied
111
Psychology, Biological
390
Psychology, Clinical
811
Psychology, Developmental
273
Psychology, Educational
164
Psychology, Experimental
171
Psychology, Mathematical
0
Psychology, Multidisciplinary
1694
Psychology, Psychoanalysis
30
Psychology, Social
131
Public Health & Health Care Science
2225
Public, Environmental & Occupational Health
27291
Quantum Science & Technology
0
Radiology, Nuclear Medicine & Imaging
12500
Radiology, Nuclear Medicine & Medical Imaging
8264
Rehabilitation
3074
Remote Sensing
0
Reproductive Biology
2872
Reproductive Medicine
1212
Research/Laboratory Medicine & Medical Technology
4029
Respiratory System
7421
Rheumatology
6029
Social Sciences, Biomedical
1178
Substance Abuse
2771
Surgery
33948
Toxicology
4445
Transplantation
938
Tropical Medicine
300
Urology & Nephrology
12890
Veterinary Sciences
35
Virology
2551
Zoology
0
Channels
CURRENT REVIEWS IN MUSCULOSKELETAL MEDICINE
212
Medrxiv - Orthopedics
177
AMERICAN JOURNAL OF SPORTS MEDICINE
296
BRITISH JOURNAL OF SPORTS MEDICINE
712
JOURNAL OF ARTHROPLASTY
42
JOURNAL OF ORTHOPAEDIC RESEARCH
285
JOURNAL OF ORTHOPAEDIC TRANSLATION
274
SCANDINAVIAN JOURNAL OF MEDICINE & SCIENCE IN SPORTS
146
ACTA ORTOPEDICA BRASILEIRA
0
CLINICAL BIOMECHANICS
30
FOOT & ANKLE INTERNATIONAL
119
GLOBAL SPINE JOURNAL
141
JOURNAL OF APPLIED BIOMECHANICS
188
JOURNAL OF FOOT AND ANKLE RESEARCH
209
JOURNAL OF HAND SURGERY-EUROPEAN VOLUME
148
JOURNAL OF HIP PRESERVATION SURGERY
27
JOURNAL OF ORTHOPAEDIC SCIENCE
739
JOURNAL OF ORTHOPAEDIC SURGERY AND RESEARCH
1119
JOURNAL OF ORTHOPAEDIC TRAUMA
571
JOURNAL OF ORTHOPAEDICS AND TRAUMATOLOGY
164
JOURNAL OF PEDIATRIC ORTHOPAEDICS-PART B
37
ORTHOPAEDIC JOURNAL OF SPORTS MEDICINE
402
ORTHOPAEDIC SURGERY
174
PROSTHETICS AND ORTHOTICS INTERNATIONAL
24
SPORTVERLETZUNG-SPORTSCHADEN
56
INDIAN JOURNAL OF ORTHOPAEDICS
585
JOURNAL OF CHILDRENS ORTHOPAEDICS
39
JOURNAL OF KNEE SURGERY
362
JOURNAL OF THE AMERICAN ACADEMY OF ORTHOPAEDIC SURGEONS
733
ORTHOPEDIC CLINICS OF NORTH AMERICA
56
TECHNIQUES IN SHOULDER AND ELBOW SURGERY
11
TECHNIQUES IN ORTHOPAEDICS
135
TECHNIQUES IN FOOT AND ANKLE SURGERY
101
ARCHIVES OF TRAUMA RESEARCH
80
ARTHROSCOPY TECHNIQUES
34
ASIAN JOURNAL OF ENDOSCOPIC SURGERY
106
ASIAN SPINE JOURNAL
20
CLINICAL MEDICINE INSIGHTS-ARTHRITIS AND MUSCULOSKELETAL DISORDERS
10
CURRENT ORTHOPAEDIC PRACTICE
212
JOURNAL OF THE AMERICAN ACADEMY OF ORTHOPAEDIC SURGEONS GLOBAL RESEARCH AND REVIEWS
419
JOURNAL OF WRIST SURGERY
343
MLTJ-MUSCLES LIGAMENTS AND TENDONS JOURNAL
141
OBERE EXTREMITAET-SCHULTER-ELLENBOGEN-HAND-UPPER EXTREMITY-SHOULDER ELBOW HAND
170
ORTHOPEDIC REVIEWS
18
INTERNATIONAL ORTHOPAEDICS
815
SKELETAL RADIOLOGY
562
SPORTS MEDICINE
559
SCI Abstract
search
ALL
RECOMMENDED
+
Failure of Split Posterior Tibial Tendon Transfer in Cerebral Palsy Complex Foot Deformities: A Review of Failure Definitions and Risk Factors for Failure
This review examines variability in failure and recurrence rates following split posterior tibial tendon transfer (SPOTT) ...
Current Reviews In Musculoskeletal Medicine
comment
0
thumb_up
0
Arthroscopic and Open Postoperative Hip Capsular Deficiency Management Strategies – A Scoping Review
This scoping review aimed to identify the indications, techniques, outcomes, and knowledge gaps related to managing postop...
Current Reviews In Musculoskeletal Medicine
comment
0
thumb_up
0
Evaluation and Management of Rotator Cuff Tears Following Shoulder Dislocation
This review aims to summarize the epidemiology, associated pathology, and treatment options for rotator cuff tears followi...
Current Reviews In Musculoskeletal Medicine
comment
0
thumb_up
0
Virtual Reality Simulation in Orthopedic Surgery Education Improves Immediate Procedural Skill and Knowledge Acquisition, But Evidence on Cost-Effectiveness and Skill Retention Remains Lacking
Virtual reality (VR) simulation in orthopedic education has gained recent interest in the literature. VR simulation provid...
Current Reviews In Musculoskeletal Medicine
comment
0
thumb_up
0
Current Rehabilitation Principles Following Meniscus Repairs
The purpose of this review is to synthesize current science on meniscus anatomy and biomechanics and repair techniques to ...
Current Reviews In Musculoskeletal Medicine
comment
0
thumb_up
0
Sports Injuries in Female and Non-Binary Athletes: A Systematic Review
The main purpose of this review was to summarize the current evidence on treatment and outcomes of sports injuries requiri...
Current Reviews In Musculoskeletal Medicine
comment
0
thumb_up
0
Surgical Management of the Discoid Lateral Meniscus: a Systematic Review of Outcomes
The discoid lateral meniscus is an abnormal variant that can lead to pain and mechanical symptoms. This review aims to sum...
Current Reviews In Musculoskeletal Medicine
comment
0
thumb_up
0
Outcomes after Surgical Management of Large Joint Manifestations in Ehlers Danlos Syndrome and Hypermobility Conditions in Sports Medicine: a Systematic Review
Joint hypermobility can increase complications in surgical management of musculoskeletal conditions. The purpose of this r...
Current Reviews In Musculoskeletal Medicine
comment
0
thumb_up
0
The Emergence of Applied Artificial Intelligence in the Realm of Value Based Musculoskeletal Care
To establish the state-of-the-art in applied artificial intelligence (A.I) related to value-based musculoskeletal health c...
Current Reviews In Musculoskeletal Medicine
comment
0
thumb_up
0
Frugal Innovations in Orthopaedics
Frugal innovations prioritize low-cost interventions, while keeping in mind efficacy, accessibility and scalability. Despi...
Current Reviews In Musculoskeletal Medicine
comment
0
thumb_up
0
Indications, Technique, and Outcomes of Patient Specific Instrumentation for Osteotomy About the Knee
Osteotomies around the knee are well-established techniques used to correct lower-extremity malalignment. While osteotomie...
Current Reviews In Musculoskeletal Medicine
comment
0
thumb_up
0
Return To Sport Following ACL Reconstruction
Outcomes after anterior cruciate ligament reconstruction (ACLR) are generally favorable, yet the timing and extent of retu...
Current Reviews In Musculoskeletal Medicine
comment
0
thumb_up
0
Sex-Based Differences Femoroacetabular Impingement and Hip Arthroscopy
Hip arthroscopy is an effective surgical procedure to treat intra-articular hip pathology including femoroacetabular impin...
Current Reviews In Musculoskeletal Medicine
comment
0
thumb_up
0
Regeneration or Risk? A Narrative Review of BPC-157 for Musculoskeletal Healing
This scoping review aims to evaluate the molecular mechanisms, therapeutic potential, and safety concerns of Body Protecti...
Current Reviews In Musculoskeletal Medicine
comment
0
thumb_up
0
Current Concepts on the Management of Shoulder Instability in Throwing Athletes
The management of shoulder instability in throwing athletes remains a challenge given the delicate balance between physiol...
Current Reviews In Musculoskeletal Medicine
comment
0
thumb_up
0
Amateur Athletic Union (AAU) Accessibility: An Area Deprivation Index (ADI) Analysis of National Basketball Association (NBA) Players' Profiles
Youth sports are increasingly shifting towards a “pay to play” model which has introduced financial barriers t...
Current Reviews In Musculoskeletal Medicine
comment
0
thumb_up
0
Single Position Prone Lateral Lumbar Interbody Fusion: A Review of the Current Literature
Spinal fusion, vital for treating various spinal disorders, has evolved since the introduction of the minimally invasive L...
Current Reviews In Musculoskeletal Medicine
comment
0
thumb_up
0
Management of Proximal Hamstring Injuries: Non-operative and Operative Treatment
To evaluate the current evidence and literature on treatment options for proximal hamstring injuries. Patients with 3-tend...
Current Reviews In Musculoskeletal Medicine
comment
0
thumb_up
0
Long-Term Clinical and Radiographic Outcomes of Meniscus Allograft Transplant
To reduce pain, improve function and possibly mitigate the risk for development of osteoarthritis in patients with functio...
Current Reviews In Musculoskeletal Medicine
comment
0
thumb_up
0
Global Health Inequities in Orthopaedic Care: Perspectives Beyond the US
The burden of musculoskeletal disease is increasing globally and disproportionately affecting people in low and middle inc...
Current Reviews In Musculoskeletal Medicine
comment
0
thumb_up
0
Osteoporosis Management for Shoulder Surgeons
The aim of this review is to aggregate currently available literature as it pertains to treating surgical shoulder patholo...
Current Reviews In Musculoskeletal Medicine
comment
0
thumb_up
0
Disparities in Musculoskeletal Oncology
Disparities within the healthcare system serve as barriers to care that lead to poor outcomes for patients. These healthca...
Current Reviews In Musculoskeletal Medicine
comment
0
thumb_up
0
The Effect of Platelet Dose on Outcomes after Platelet Rich Plasma Injections for Musculoskeletal Conditions: A Systematic Review and Meta-Analysis
This study aims to systematically review platelet dosage in platelet rich plasma (PRP) injections for common musculoskelet...
Current Reviews In Musculoskeletal Medicine
comment
0
thumb_up
0
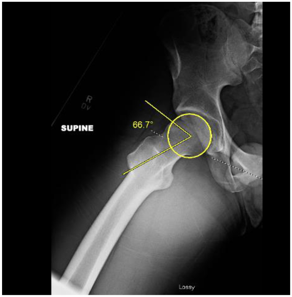
Borderline Hip Dysplasia - Best Treated with Hip Arthroscopy or Periacetabular Osteotomy?
As the field of hip preservation evolves, the diagnosis of borderline dysplasia (defined as a lateral center edge angle be...
Current Reviews In Musculoskeletal Medicine
comment
0
thumb_up
0
Platelet-Rich Plasma for Knee and Hip Osteoarthritis Pain: A Scoping Review
Platelet-rich plasma (PRP) is an emerging biological intervention for osteoarthritis (OA), yet the outcomes remain uncerta...
Current Reviews In Musculoskeletal Medicine
comment
0
thumb_up
0
Primary Care Considerations for the Adolescent Wrestler
Adolescent wrestlers undergo intense physical combat. While guidelines are effective in keeping the sport safer, concerns ...
Current Reviews In Musculoskeletal Medicine
comment
0
thumb_up
0
Reverse Shoulder Arthroplasty for Proximal Humerus Fractures: A Review of Current Evidence
The aim of this review is to summarize information published in the recent peer-reviewed literature on reverse shoulder ar...
Current Reviews In Musculoskeletal Medicine
comment
0
thumb_up
0
Hip Sideline Emergencies and Hip Injuries in Elite Athletes
Hip injuries in elite athletes are an increasingly recognized problem and range from chronic overuse injuries, such as add...
Current Reviews In Musculoskeletal Medicine
comment
0
thumb_up
0
Return to Play Criteria After Adult Lumbar Spinal Fractures: A Review of Current Literature and Expert Recommendations
Understanding the management of lumbar spinal fractures and return to play (RTP) criteria is an essential component of car...
Current Reviews In Musculoskeletal Medicine
comment
0
thumb_up
0
Current Trends and Outcomes for Open vs. Arthroscopic Latarjet
This paper aims to analyze and compare the existing research on open and arthroscopic Latarjet procedures for treating ant...
Current Reviews In Musculoskeletal Medicine
comment
0
thumb_up
0
Load More
Modal title
×
Modal title
×
Share
Login
Global News and Health Forum
Join Now!
Member Login
Remember me
Forgot password?
Or using
Linkedin