Germline p.R181H variant in TP53 in a family exemplifying the genotype-phenotype correlations in Li-Fraumeni syndrome

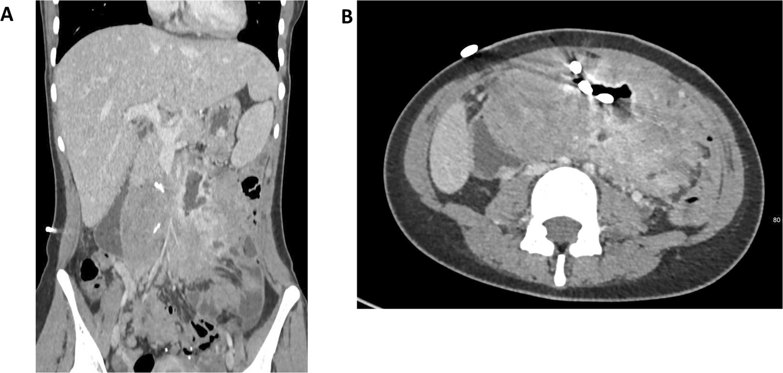
Li-Fraumeni syndrome (LFS) is a cancer predisposition syndrome associated with germline pathogenic/likely pathogenic variants in TP53. Genotype-phenotype correlations are progressively being characterized in LFS with certain TP53 variants associated with attenuated penetrance and phenotypes. We report on a family harboring a TP53 p.R181H variant presenting with a restricted cancer phenotype in adulthood. The proband was a female with breast cancer at the age of 71 years who had three first degree relatives also diagnosed with breast cancer after the age of 40 years (mother, two sisters). Of the nine individuals harboring the variant (6 genetically confirmed, 3 obligate heterozygous), six have not developed malignancies at this time (age range: 36–42). No childhood-onset cancers were reported in this family. A concomitant literature review identified 51 additional individuals harboring the p.R181H variant in TP53, presenting a tumor phenotype dominated by breast cancer. Rare occurrences of other adult-onset cancers (prostate, colorectal and thyroid) and only few childhood onset cancer were documented. These observations are consistent with functional analysis showing that p.R181H retains partial p53 function and suggesting possible reduced cancer penetrance, particularly in the pediatric setting.

Comments (0)

No login
gif